









以下是引用zjzjr在2007-9-20 19:15:00的发言:[br]慢性胆囊炎伴炎性息肉可能性大.腹水.
以下是引用zjzjr在2007-9-20 19:15:00的发言:[br]慢性胆囊炎伴炎性息肉可能性大.腹水.
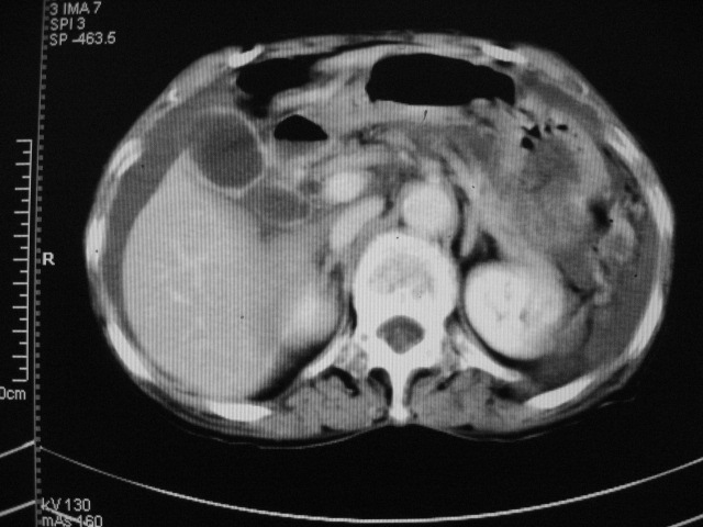
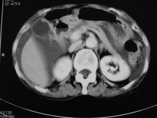
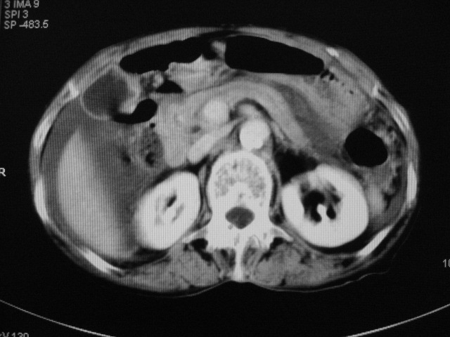
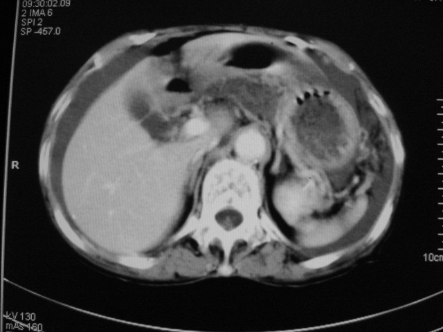
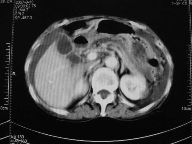
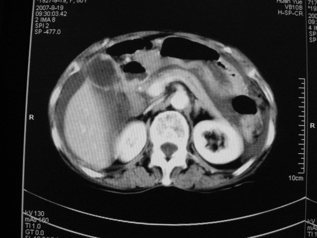
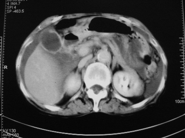
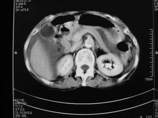
以下是引用默契在2007-9-20 17:29:00的发言:[br][br] [br] 考虑:1、胆囊占位性病变(以癌可能性大);[br] 2、中量腹水。 [br] [br]
以下是引用快乐男生在2007-9-20 15:32:00的发言:[br]图像质量不好:[br]胆囊增大,囊壁增厚,[br]可见结节突出囊腔内,[br]增强后与囊壁相仿.[br]考虑多为胆囊慢性炎症伴有胆囊体部的息肉
| 欢迎光临 医影在线 (http://bbs.radida.com/bbs/) | Powered by Discuz! X3.2 |