医影在线
标题: X2755:胫骨结节 男 14岁 [打印本页]
作者: 眼睛 时间: 2007-9-24 04:31
标题: X2755:胫骨结节 男 14岁
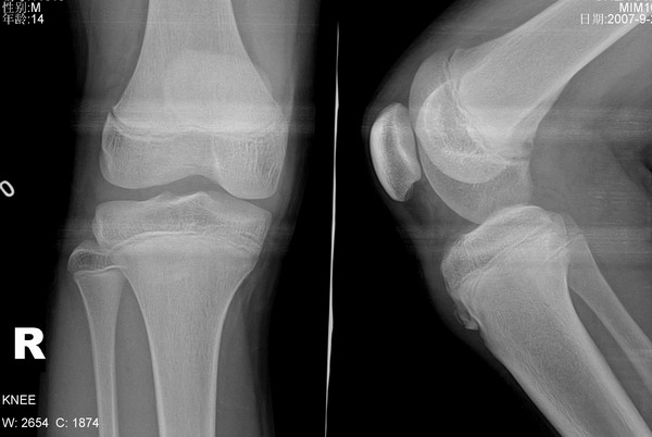
胫骨结节 男 14岁 平时常参加体育活动 右侧胫骨结节处按压或活动时疼痛.


[quote]以下是引用zhangzhongshou在2007-9-23 22:02:00的发言:[br]本病1、发病年龄[br]2、膑韧带下端增厚肿胀[br]3、胫骨结节骨骺前缘见骨质缺损[br]4、胫骨结节前方断续钙化[br]5、局部疼痛 [br]6、非滑膜部位[br]均支持胫骨结节骨软骨病(奥许氏病)以上为个人意见,仅供参考
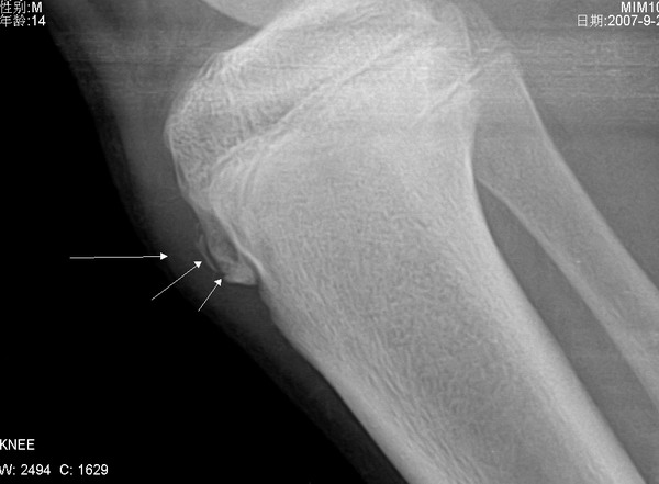
353、胫骨结节前方钙化见于哪些情况?
在日常x线诊断工作中有时于胫骨结节前方可见钙化或骨化阴影,其性质可能是髌韧带钙化,胫骨结节碎裂或胫骨前滑囊炎钙化,这些改变均可能和外伤有关。应如何鉴别者三种情况呢?我们认为需注意三点:
(1)钙化或骨化阴影的位置:首先要注意阴影和髌韧带的关系。髌韧带钙化多在髌韧带走行靠近胫骨结节处,髌韧带前方或后方钙化均可能为滑囊炎钙化,但比较少见。
(2)分析胫骨结节的变化:骨性关节炎或软组织外伤引起的髌韧带钙化多无胫骨结节变化;胫骨结节无菌坏死可有胫骨结节密度增高、碎裂,在胫骨结节无菌坏死恢复期,胫骨结节可以正常或畸形。
(3)有无附近软组织肿胀:胫骨结节发生无菌坏死时,其附近滑囊发炎,这是胫骨结节前软组织肿胀的原因,也是引起疼痛的原因。由此可见诊断无菌坏死时除注意胫骨结节的改变外,还应重视胫骨限局性软组织肿胀这一x线表现。
应提醒注意的是经验少的同志看到胫骨结节附近有小斑状骨性阴影往往怀疑撕脱骨折,而实际上此处不易
谢谢了!
[本贴已被 眼睛 于 2007-9-25 8:51:39 修改过]
[本贴已被 眼睛 于 2007-9-25 8:52:59 修改过]
作者: 一如我在 时间: 2007-9-24 04:37
胫骨结节炎
作者: 小常 时间: 2007-9-24 04:44
胫骨结节骨骺炎
作者: 胡志兴 时间: 2007-9-24 05:00
胫骨结节骨软骨病
作者: 有你不寂寞 时间: 2007-9-24 05:10
胫 骨骺炎性增生
作者: 吴文利 时间: 2007-9-24 05:15
胫骨结节骨软骨病
作者: 王光光 时间: 2007-9-24 05:20
胫骨结节骨软骨炎.
作者: wangdch2008 时间: 2007-9-24 05:36
胫骨结节骨软骨炎
作者: 小红帽 时间: 2007-9-24 05:38
胫骨结节骨软骨病
作者: ZHANGZHONGSHOU 时间: 2007-9-24 05:44
标题: 回复:x2755:胫骨结节 男 14岁
以下是引用小红帽在2007-9-23 21:38:00的发言:[br]胫骨结节骨软骨病
作者: ZHANGZHONGSHOU 时间: 2007-9-24 06:02
标题: 回复楼主站内短信,
本病1、发病年龄
2、膑韧带下端增厚肿胀
3、胫骨结节骨骺前缘见骨质缺损
4、胫骨结节前方断续钙化
5、局部疼痛
6、非滑膜部位
均支持胫骨结节骨软骨病(奥许氏病)以上为个人意见,仅供参考。
[本贴已被 zhangzhongshou 于 2007-9-23 22:03:20 修改过]
作者: zjzjr 时间: 2007-9-24 06:48
胫骨结节骨软骨病
作者: liuyue 时间: 2007-9-24 06:54
胫骨结节骨软骨炎.
作者: zxczxc 时间: 2007-9-24 07:02
胫骨结节骨软骨病。
作者: hexue 时间: 2007-9-24 07:11
根据年龄,爱好,影像表现,诊断为右胫骨骨软骨炎
作者: zhangxiangjun 时间: 2007-9-24 08:04
本病1、发病年龄
2、膑韧带下端增厚肿胀
3、胫骨结节骨骺前缘见骨质缺损
4、胫骨结节前方断续钙化
5、局部疼痛
6、非滑膜部位
均支持胫骨结节骨软骨病(奥许氏病)
学习了!
作者: 尹定尧 时间: 2007-9-24 09:07
胫骨结节骨软骨病
作者: yuhongjun 时间: 2007-9-24 13:20
胫骨结节骨软骨病
作者: 老后 时间: 2007-9-24 16:11
胫骨结节骨软骨病与胫骨结节骨软骨炎是否有区别.
作者: sdw662 时间: 2007-9-24 17:20
胫骨结节骨软骨炎.
作者: 黑白光影 时间: 2007-9-25 01:20
胫骨结节骨软骨炎
作者: js63461800 时间: 2007-9-25 05:15
胫骨结节骨软骨炎.
作者: jinguoji 时间: 2007-9-25 16:15
胫骨结节骨软骨病.
作者: 王仕学 时间: 2007-9-25 16:38
胫骨结节骨软骨炎
作者: zhangkai 时间: 2007-9-25 17:10
胫骨结节骨软骨炎。
治疗:无特殊,以限制剧烈活动为主,可以考虑石膏固定。
作者: 代课学生 时间: 2007-9-25 18:46
胫骨结节骨软骨炎
作者: dyqct 时间: 2007-9-25 22:08
支持楼主意见。
作者: 清清楚楚 时间: 2007-9-25 23:07
胫骨结节骨软骨炎.
作者: shiqingfa 时间: 2007-9-26 00:58
支持胫骨结节骨软骨病(奥许氏病)
作者: jiangjing 时间: 2007-9-26 02:34
支持胫骨结节骨软骨病(奥许氏病)
作者: wy232326 时间: 2007-9-26 03:57
右侧胫骨结节缺血坏死(奥许氏病)
作者: zhangkening 时间: 2007-9-27 03:22
胫骨结节骨软骨炎.
作者: shibing 时间: 2013-5-14 07:47
胫骨结节骨软骨炎.
| 欢迎光临 医影在线 (http://bbs.radida.com/bbs/) |
Powered by Discuz! X3.2 |