医影在线

标题: PED0377: 6岁小儿,左侧视神经瘤术后 [打印本页]

作者: 丝路花雨    时间: 2007-9-25 01:22
标题: PED0377: 6岁小儿,左侧视神经瘤术后
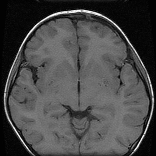
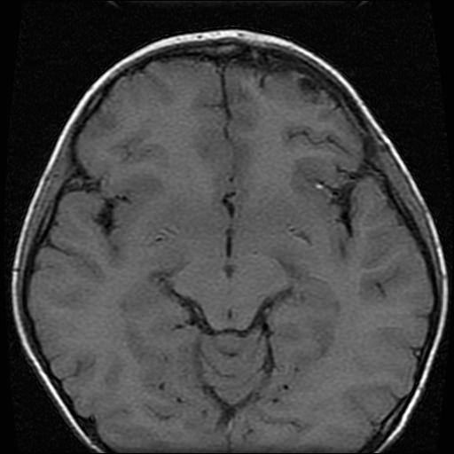
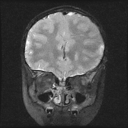
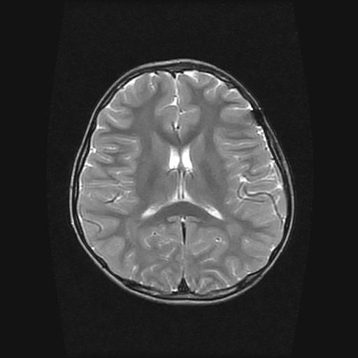
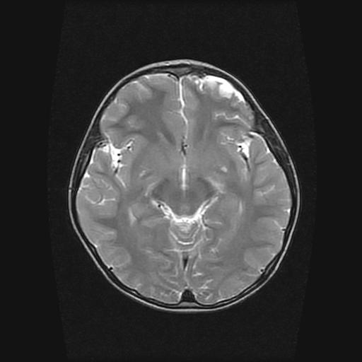
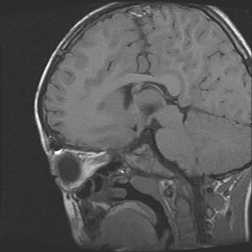
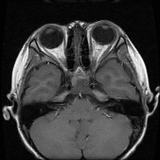
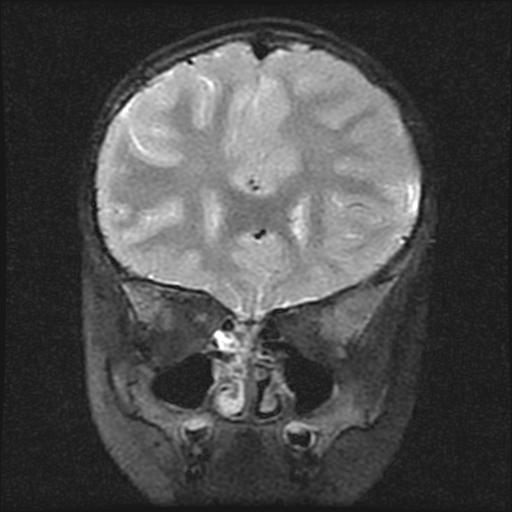
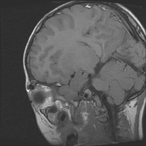
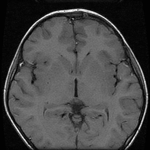
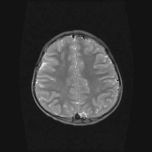
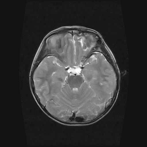
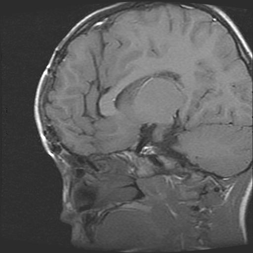
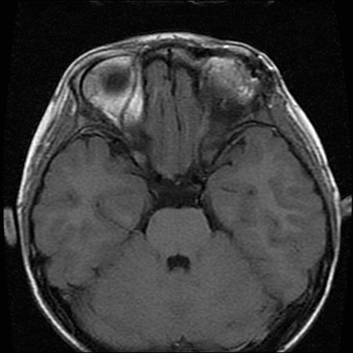
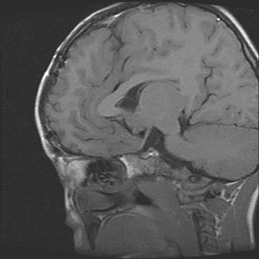
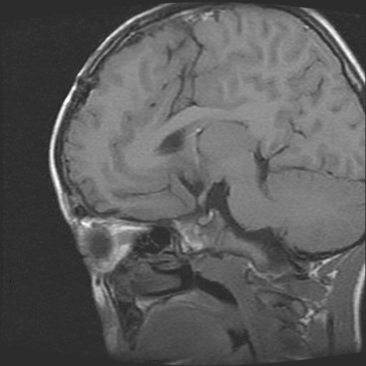
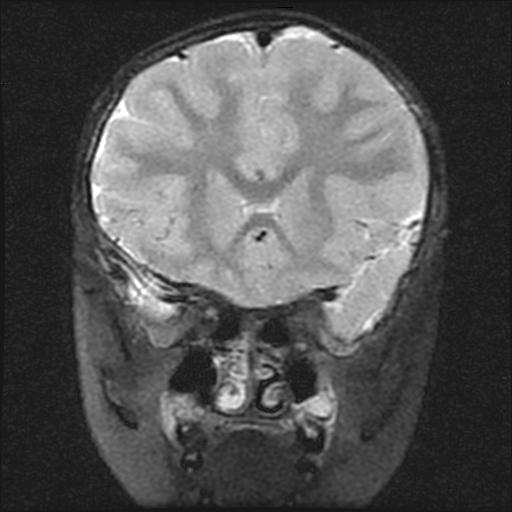
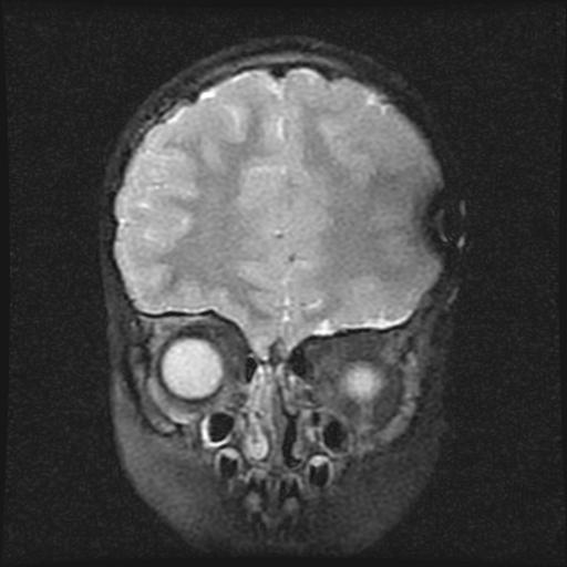
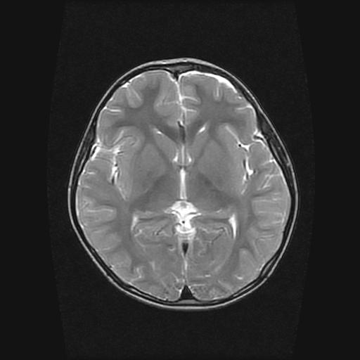
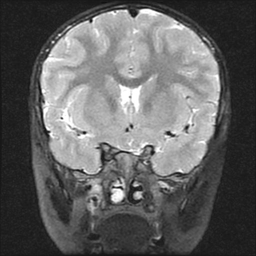
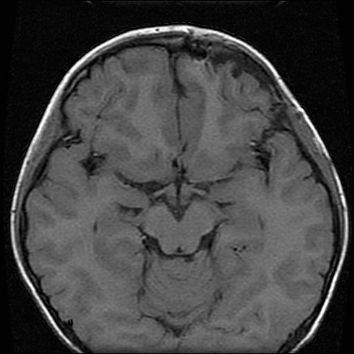
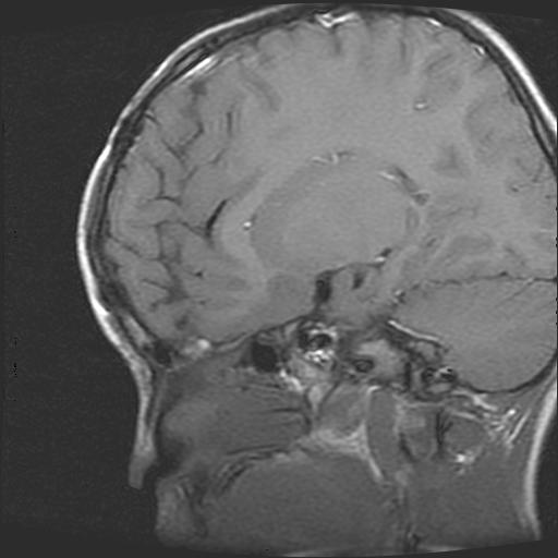
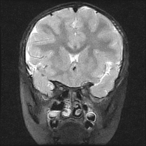
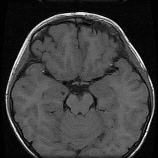
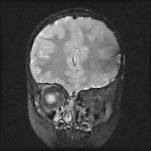
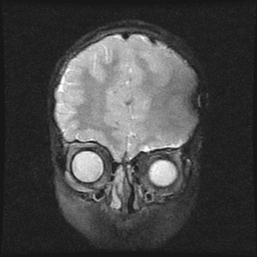
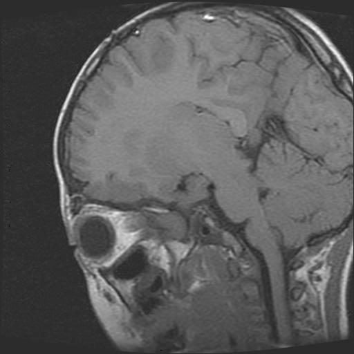
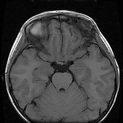
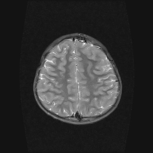
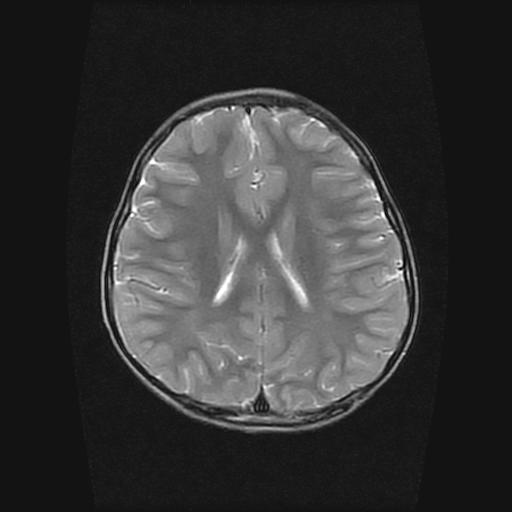
6岁小儿,左侧视神经瘤术后。现左侧视力减退。
















































[本贴已被 jiajie 于 2007-9-24 20:22:07 修改过]

作者: 丝路花雨    时间: 2007-9-26 09:04
怎么没一个回帖呀.
作者: zyx168    时间: 2007-9-29 19:51
没有术前片比较,不好说!




欢迎光临 医影在线 (http://bbs.radida.com/bbs/) Powered by Discuz! X3.2