医影在线

标题: PED0378:女孩9岁,癫痫,看能否停药 [打印本页]

作者: 丝路花雨    时间: 2007-9-25 02:50
标题: PED0378:女孩9岁,癫痫,看能否停药
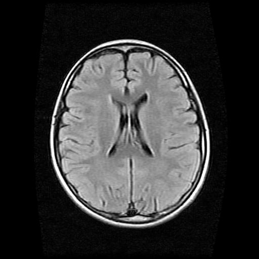
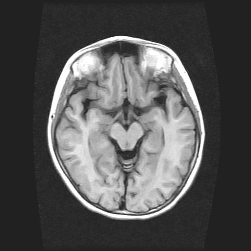
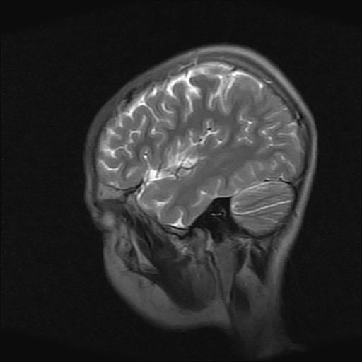
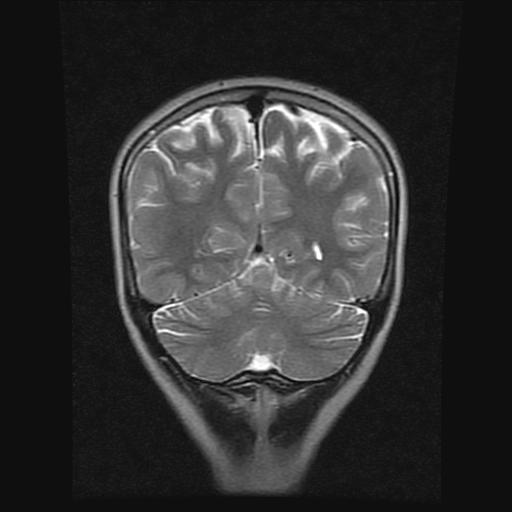
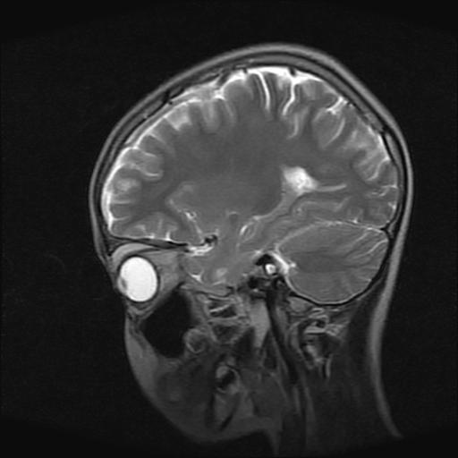
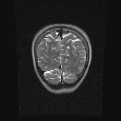
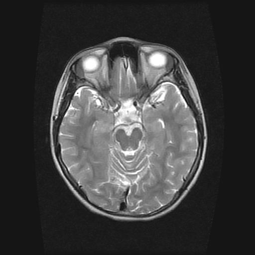
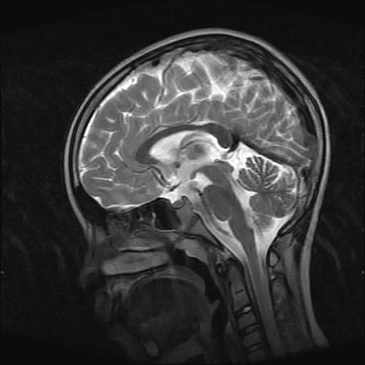
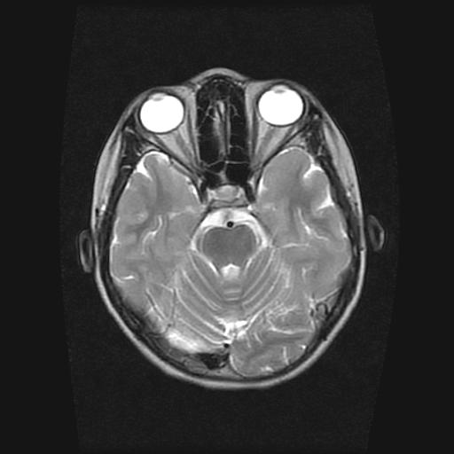
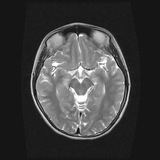
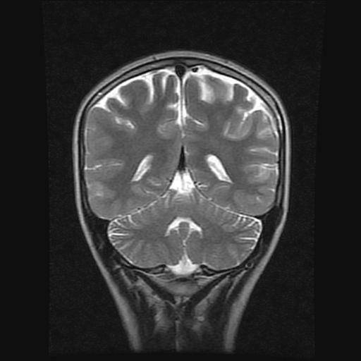
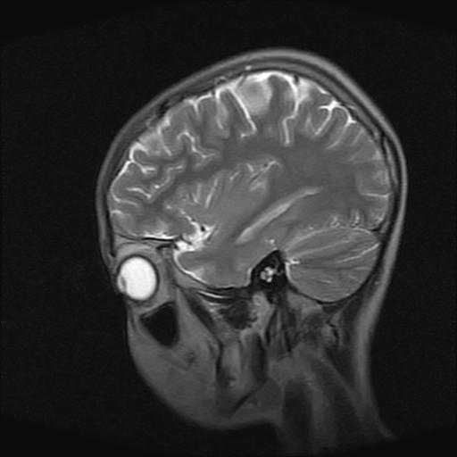
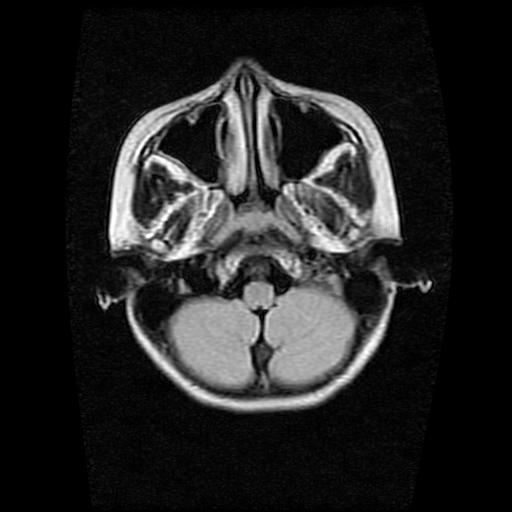
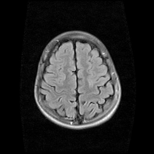
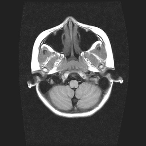
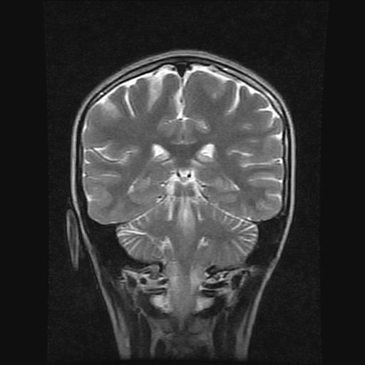
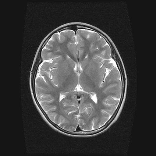
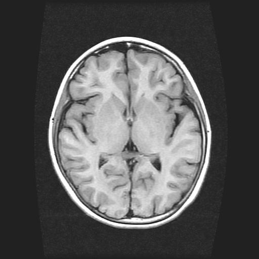
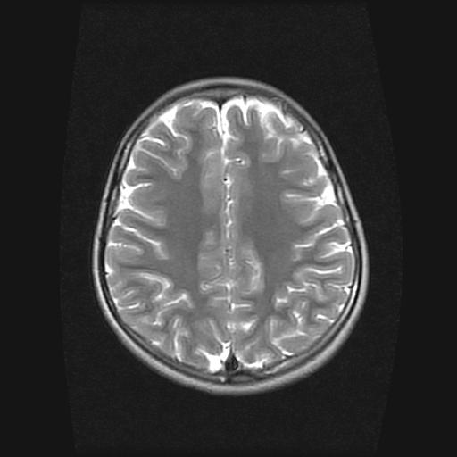
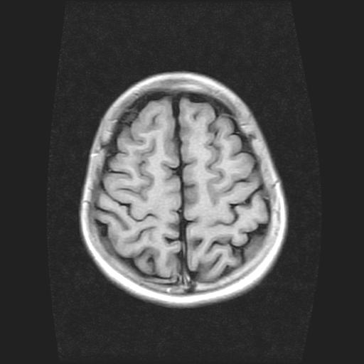
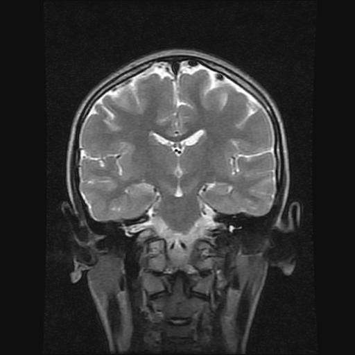
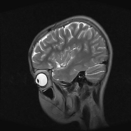
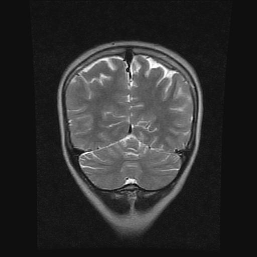
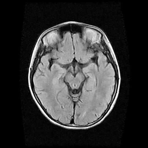
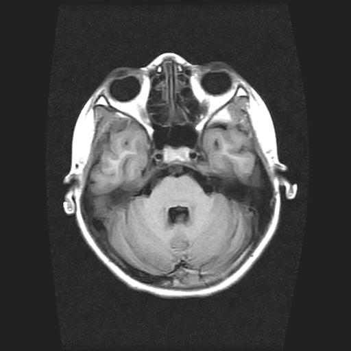
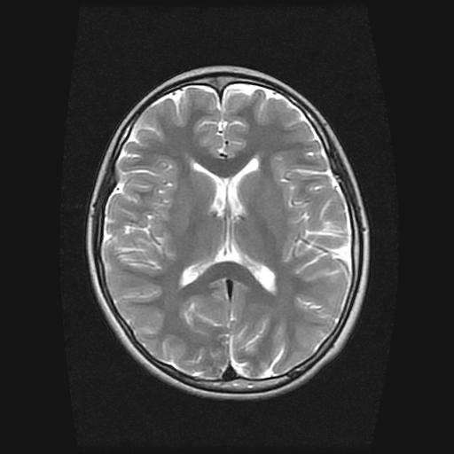
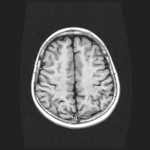
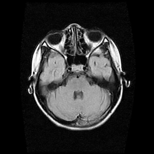
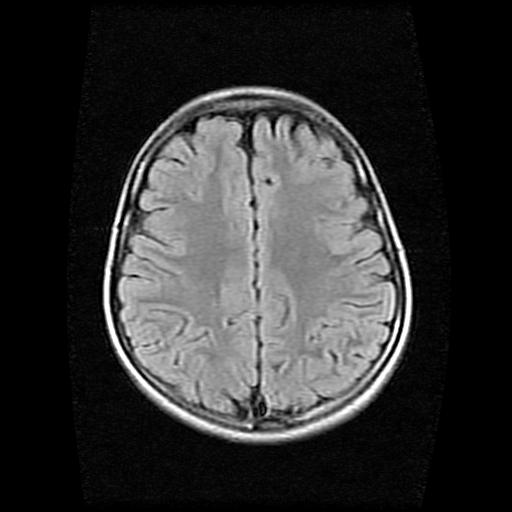
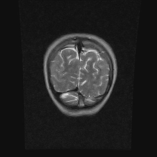
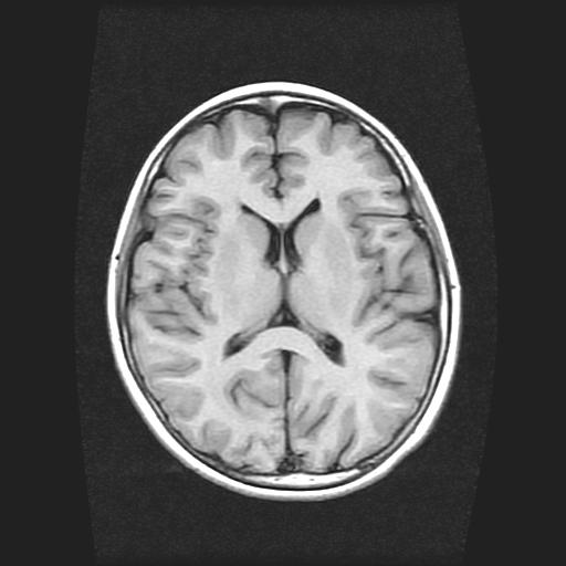
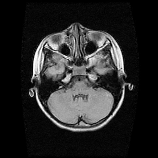
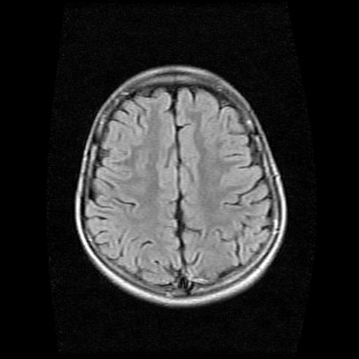
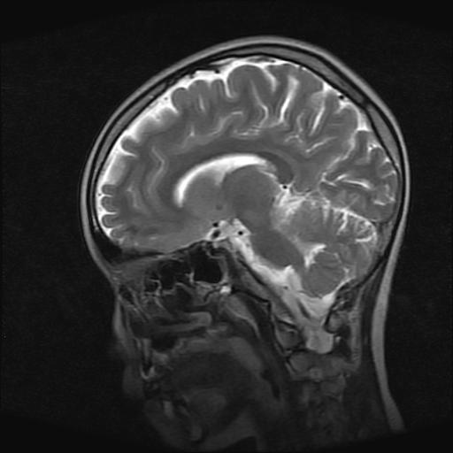
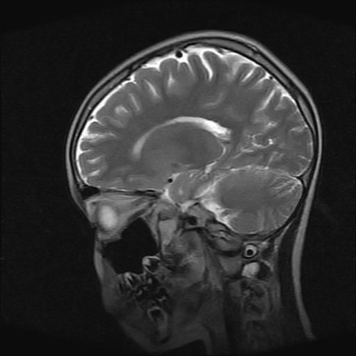
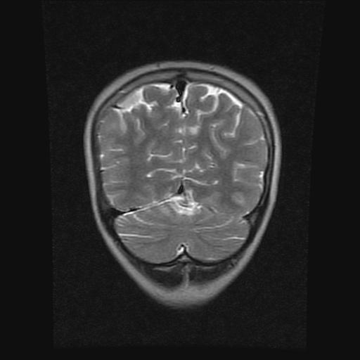
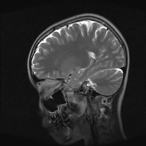
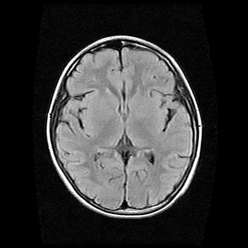
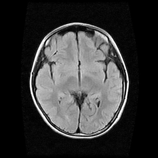
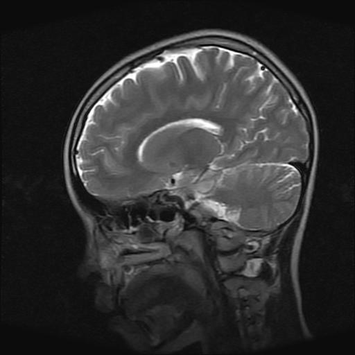
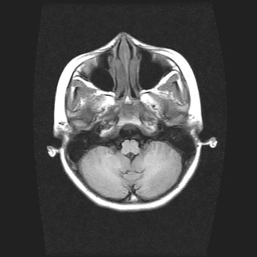
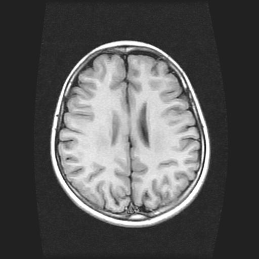
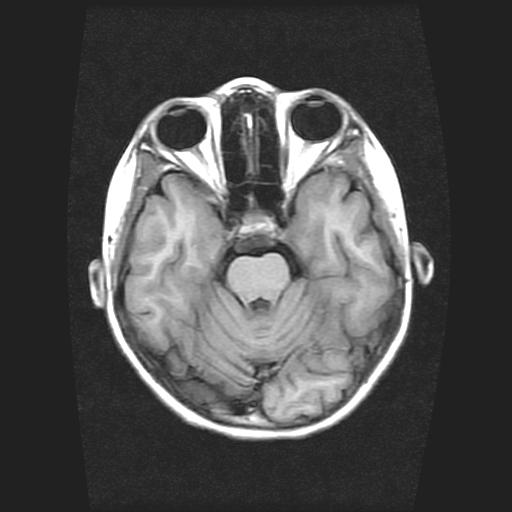
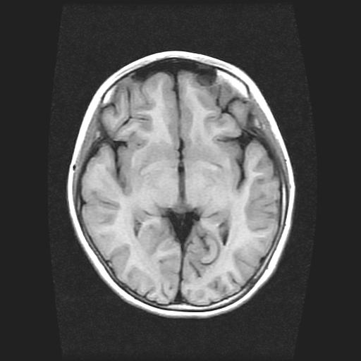
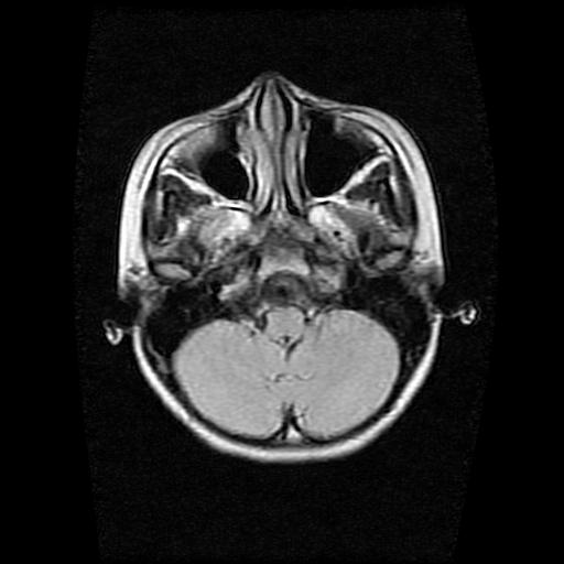
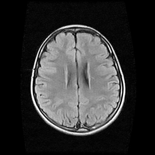
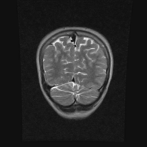
9岁女孩,三岁时诊断为癫痫,一直服丙戊酸钠,现患者一般情况良好,家长复查核磁片,看能否停药..







































































[本贴已被 jiajie 于 2007-9-24 20:29:44 修改过]

作者: 联众之王    时间: 2007-9-25 03:22
巨脑回
作者: 王光光    时间: 2007-9-25 04:51
未见异常信号灶.
作者: 代课学生    时间: 2007-9-25 17:58
未发现异常信号。
作者: dyqct    时间: 2007-9-25 22:16
停药要结合临床,如无发作可以停。
作者: 22222222    时间: 2007-9-26 05:53
未发现异常信号。
作者: 卜一    时间: 2007-9-26 12:41
未发现异常信号!
作者: weijing    时间: 2007-9-27 22:03
停药要结合临床,如无发作可以停
作者: zyx168    时间: 2007-9-29 19:27
未发现异常信号。  停药要结合临床
作者: jinguoji    时间: 2007-12-10 22:34
未发现异常信号。
作者: yuhongjun    时间: 2010-5-3 14:10
未发现异常信号!




欢迎光临 医影在线 (http://bbs.radida.com/bbs/) Powered by Discuz! X3.2