








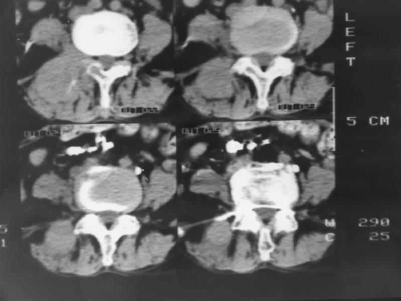
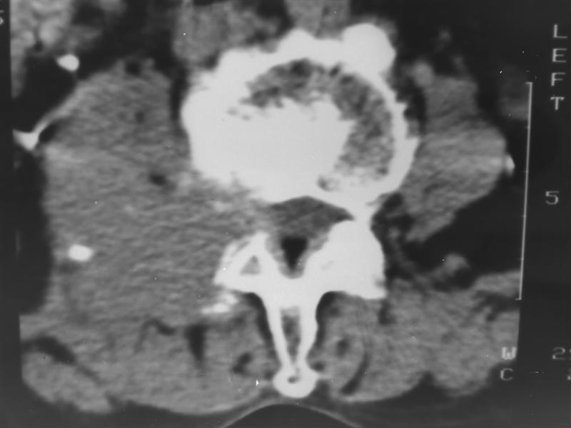
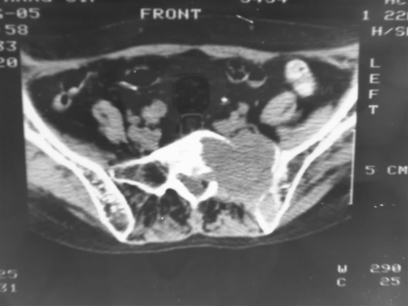
以下是引用guzhongliangddd在2007-9-27 13:42:00的发言:[br]首先考虑是转移性肿瘤.
以下是引用老爱克斯新网客在2007-9-27 17:59:00的发言:[br]多个椎体及椎弓跟骨质破坏,并见软组织肿块,符合转移瘤改变,
以下是引用wqs571018在2007-9-27 16:48:00的发言:[br]支持:多发病变,骨质破坏伴软组织块影,符合转移.
| 欢迎光临 医影在线 (http://bbs.radida.com/bbs/) | Powered by Discuz! X3.2 |