

















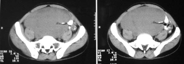
以下是引用老林在2007-9-27 22:11:00的发言:[br]肠系膜间质瘤可能大,建议增强

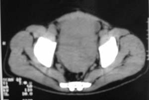
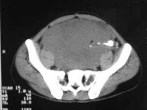
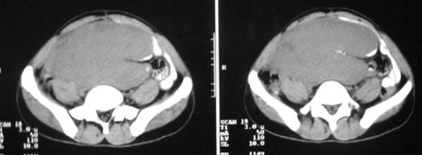
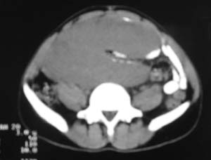
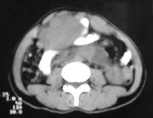
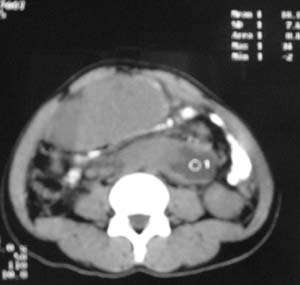
以下是引用zjzjr在2007-9-27 22:20:00的发言:[br]肠腔受推移,未见明显扩张及液平,所以考虑是肠外病灶, 间叶源性肿瘤?脂肪瘤?建议增强。
以下是引用guzhongliangddd在2007-9-27 23:21:00的发言:[br][br]与肠内高密度相同,病灶应该没有钙化,我认为首先考虑是间叶组织的良性肿瘤。建议楼主做后重建观察。中线区域大血管旁未见确切增大淋巴结。病灶对肠道只是推移关系。
以下是引用zjzjr在2007-9-27 22:20:00的发言:[br]肠腔受推移,未见明显扩张及液平,所以考虑是肠外病灶, 间叶源性肿瘤?脂肪瘤?建议增强。
以下是引用余辉在2007-9-27 22:24:00的发言:[br]暂考虑肠道间质来源肿瘤如小肠平滑肌肉瘤/瘤可能,应该增强
以下是引用余辉在2007-9-27 22:24:00的发言:[br]暂考虑肠道间质来源肿瘤如小肠平滑肌肉瘤/瘤可能,应该增强
以下是引用zjzjr在2007-9-27 22:20:00的发言:[br]肠腔受推移,未见明显扩张及液平,所以考虑是肠外病灶, 间叶源性肿瘤?脂肪瘤?建议增强。
| 欢迎光临 医影在线 (http://bbs.radida.com/bbs/) | Powered by Discuz! X3.2 |