医影在线

标题: CT9931:气体何来? [打印本页]

作者: lxl    时间: 2007-10-2 04:38
标题: CT9931:气体何来?
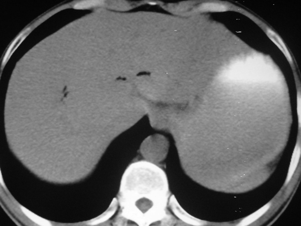
m/52y,右上腹疼痛一天,体温39度,wbc一万多。黄疸。










[本贴已被 翁志蓬 于 2007-10-1 22:36:31 修改过]

作者: liangshusheng    时间: 2007-10-2 04:48
胆道感染产气
作者: liaizhi    时间: 2007-10-2 05:12
急性胆囊炎。胆道感染所致。
作者: guzhongliangddd    时间: 2007-10-2 05:33
标题: 回复:气体何来?
[quote]以下是引用liaizhi在2007-10-1 21:12:00的发言:[br]急性胆囊炎。胆道感染所致。[/quo
作者: jyzyy    时间: 2007-10-2 05:34
急性胆系感染所致,胆囊增大.
作者: 难民    时间: 2007-10-2 05:56
胆囊体积略大,其壁增厚. 考虑为胆囊炎所致
作者: zjzjr    时间: 2007-10-2 06:05
急性胆系感染所致,胆囊增大.
作者: guzhongliangddd    时间: 2007-10-2 06:18
胆囊周围的气体是肠道内的。
作者: chenglinhunan    时间: 2007-10-2 06:54
胆道系统感染产气
作者: ljp123    时间: 2007-10-2 06:58
胆道系统感染产气
作者: 黑白光影    时间: 2007-10-2 07:03
急性胆系感染所致,胆囊增大.
作者: 守望可可    时间: 2007-10-2 07:15
标题: 回复:ct9931:气体何来?
以下是引用guzhongliangddd在2007-10-1 22:18:00的发言:[br]胆囊周围的气体是肠道内的。

支持辜兄,是胆囊炎、胆系感染。
作者: 卜一    时间: 2007-10-2 14:18
急性胆系感染所致,胆囊增大!
作者: zsl6918    时间: 2007-10-2 16:31
又有临床又有影像胆道产气菌感染诊断明确。
作者: sdw662    时间: 2007-10-2 16:52
急性胆系感染所致,胆囊增大
作者: shuhuang2007    时间: 2007-10-2 17:11
急性胆管炎,胆囊炎。
作者: shiqingfa    时间: 2007-10-2 17:39
急性胆系感染所致,胆囊增大
作者: 柯长存    时间: 2007-10-2 18:21
支持胆囊感染产气,也可能是肠道气体逆行进入胆道内
作者: 代课学生    时间: 2007-10-2 19:03
胆道的气体
作者: 南沙    时间: 2007-10-2 19:40
胆道感染产气
作者: cal362    时间: 2007-10-2 20:59
肝内外胆管内积气扩张,密度不均匀,结合病史及血像所见考虑为化脓性胆管炎(产气杆菌所致).
作者: ydx_74    时间: 2007-10-2 21:09
急性胆道系统感染产气
作者: 旭阳    时间: 2007-10-2 22:42
标题: 回复:ct9931:气体何来?
以下是引用南沙在2007-10-2 11:40:00的发言:[br]胆道感染产气

胆管炎引起积气也不是太少见,支持!
作者: 小宝er    时间: 2007-10-3 00:23
排除下有无手术史,若无,考虑胆道感染
作者: zyyzzy    时间: 2007-10-3 07:09
急性胆系感染所致,胆囊增大
作者: xulianj    时间: 2007-10-4 04:06
急性胆囊炎。胆道感染所致。
作者: nanjing    时间: 2007-10-6 19:06
标题: 回复:ct9931:气体何来?
以下是引用jyzyy在2007-10-1 21:34:00的发言:[br]急性胆系感染所致,胆囊增大.

作者: 39117262    时间: 2007-10-7 02:56
考虑胆系感染所致
作者: dale19810537    时间: 2007-10-7 03:28
胆道感染产气
作者: wei98ying    时间: 2007-10-7 06:25
胆道系统感染后致产气
作者: zyx168    时间: 2007-10-7 07:19
急性胆系感染所致,胆囊增大.胆囊炎.
作者: 宝天曼    时间: 2007-10-8 15:22
胆道系统感染产气




欢迎光临 医影在线 (http://bbs.radida.com/bbs/) Powered by Discuz! X3.2