医影在线

标题: CT9943:男72岁突然昏迷10小时,既往有脑梗塞病史10余年。左 [打印本页]

作者: wmsyy    时间: 2007-10-4 00:38
标题: CT9943:男72岁突然昏迷10小时,既往有脑梗塞病史10余年。左
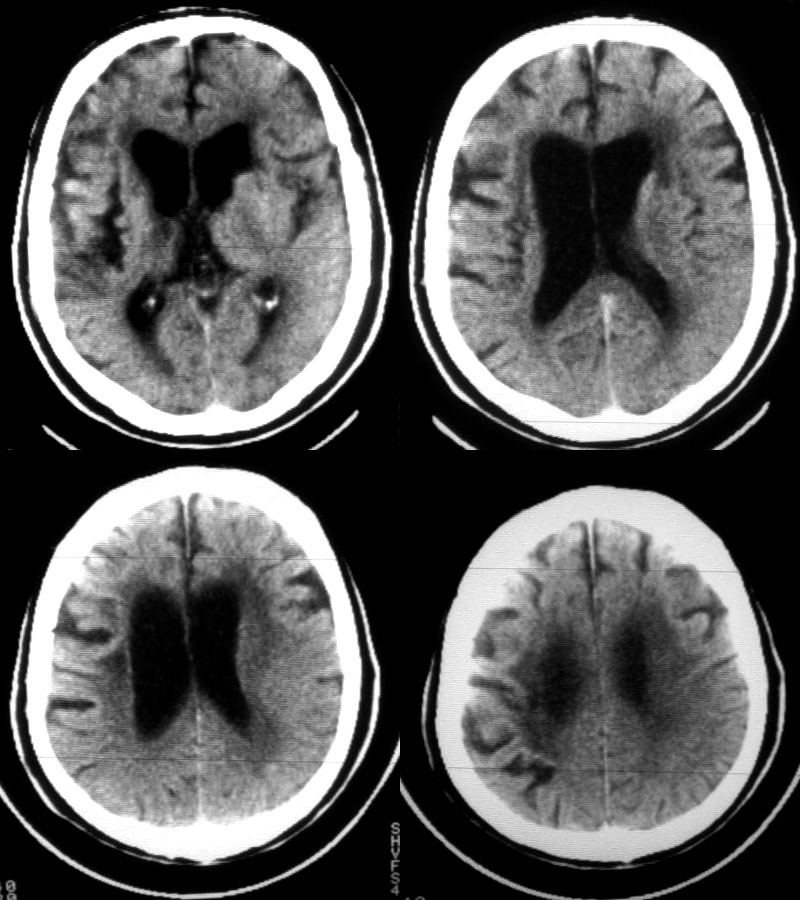
男72岁突然昏迷10小时,既往有脑梗塞病史10余年。左侧大脑梗塞?





[本贴已被 jiajie 于 2007-10-8 19:12:10 修改过]

作者: 代课学生    时间: 2007-10-4 01:00
动脉硬化性脑白质病
作者: 天南地北    时间: 2007-10-4 01:03
1:右基底节区腔隙性脑梗塞
2:皮层下动脉硬化性脑病、脑萎缩(髓质型)。
作者: 卜一    时间: 2007-10-4 01:28
老年性三联症(多发腔隙性脑梗塞 脱髓鞘变性 脑萎缩)。
作者: 旭阳    时间: 2007-10-4 02:30
基底节区腔隙性脑梗塞
作者: 求知若渴    时间: 2007-10-4 02:54
皮层下动脉硬化性脑病
作者: xulianj    时间: 2007-10-4 03:25
有脑梗塞
作者: 同    时间: 2007-10-4 03:50
皮层下动脉硬化性脑病
作者: luoyanmin    时间: 2007-10-4 03:51
标题: 回复:ct9918:男72岁突然昏迷10小时,既往有脑梗塞病史10余
以下是引用卜一在2007-10-3 17:28:00的发言:[br]老年性三联症(多发腔隙性脑梗塞 脱髓鞘变性 脑萎缩)。

作者: 随缘的人    时间: 2007-10-4 04:08
皮层下动脉硬化性脑病
作者: liuqiang    时间: 2007-10-4 04:10
1)老年性三联症(多发腔隙性脑梗塞 脱髓鞘变性 脑萎缩)。
2)除此之外,发现左侧大脑半球密度略低于右侧,脑回脑沟略变细变浅,轻度占位性改变,同侧侧脑室较对侧略窄,再者结合病人病逝,昏迷10小,我觉得24小时后复查ct以出外左侧大脑中动脉脑梗塞。
作者: 余辉    时间: 2007-10-4 04:13
皮层下动脉硬化性脑病
作者: zjzjr    时间: 2007-10-4 04:29
老年性三联症(多发腔隙性脑梗塞 脱髓鞘变性 脑萎缩)。
作者: 啊萧    时间: 2007-10-4 04:35
老年性三联症(多发腔隙性脑梗塞 脱髓鞘变性 脑萎缩
作者: 宝天曼    时间: 2007-10-4 04:39
基底节区腔隙性脑梗塞
作者: ydx_74    时间: 2007-10-4 04:50
皮脑
作者: ranchao    时间: 2007-10-4 05:09
1.双侧基底节区脑梗塞/脑软化灶;
2.动脉硬化性脑白质病。
作者: wangdch2008    时间: 2007-10-4 05:10
皮层下动脉硬化性脑病
作者: 袁张锋    时间: 2007-10-4 05:25
大脑皮层下动脉硬化性脑白质病并脑萎缩.
作者: zsl6918    时间: 2007-10-4 05:42
老年脑,软化灶,左侧 新鲜梗塞。(密度低,周边模糊)
作者: 0668qiugh    时间: 2007-10-4 05:43
标题: 回复:ct9918:男72岁突然昏迷10小时,既往有脑梗塞病史10余
以下是引用余辉在2007-10-3 20:13:00的发言:[br]皮层下动脉硬化性脑病

作者: liaizhi    时间: 2007-10-4 06:14
标题: 回复:ct9918:男72岁突然昏迷10小时,既往有脑梗塞病史10余
以下是引用zjzjr在2007-10-3 20:29:00的发言:[br]老年性三联症(多发腔隙性脑梗塞 脱髓鞘变性 脑萎缩)。

作者: ljp123    时间: 2007-10-4 06:18
以下是引用zjzjr在2007-10-3 20:29:00的发言:
老年性三联症(多发腔隙性脑梗塞 脱髓鞘变性 脑萎缩)。
作者: 狙击手    时间: 2007-10-4 06:22
左侧似乎未见明确新鲜梗塞灶
作者: wy232326    时间: 2007-10-4 06:30
老年性三联症(多发腔隙性脑梗塞 脱髓鞘变性 脑萎缩)。
作者: ssmmxx    时间: 2007-10-4 07:21
1:右基底节区腔隙性脑梗塞
2:皮层下动脉硬化性脑病、脑萎缩(髓质型)。
作者: 青莲居士    时间: 2007-10-5 17:31
1:右基底节区腔隙性脑梗塞
2;sae
作者: nanjing    时间: 2007-10-6 18:49
1:右基底节区腔隙性脑梗塞
2:皮层下动脉硬化性脑病、脑萎缩(髓质型)。
作者: dr.yang    时间: 2011-3-28 13:01
老年性三联症(多发腔隙性脑梗塞 脱髓鞘变性 脑萎缩)。




欢迎光临 医影在线 (http://bbs.radida.com/bbs/) Powered by Discuz! X3.2