医影在线

标题: CT9945:男性 病人 请大家看看出血的部位究竟在哪里? [打印本页]

作者: syfszcw    时间: 2007-10-4 05:06
标题: CT9945:男性 病人 请大家看看出血的部位究竟在哪里?
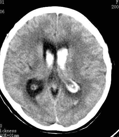
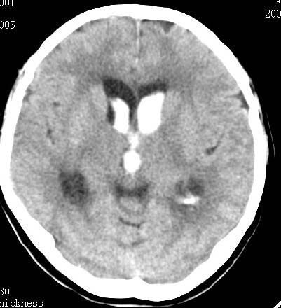
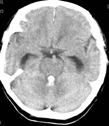
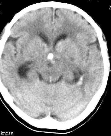
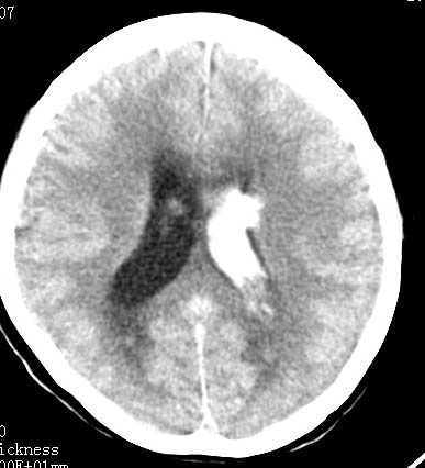
男性 病人 请大家看看出血的部位究竟在哪里?










[本贴已被 jiajie 于 2007-10-8 19:12:30 修改过]

作者: 难民    时间: 2007-10-4 05:19
是不是脑室系统出血啊! 伴轻度脑积水! 请老师指教!!
作者: 0668qiugh    时间: 2007-10-4 05:23
原发性脑室出血!
作者: 袁张锋    时间: 2007-10-4 05:23
脑室系统出血,并脑积水.
作者: 逸风    时间: 2007-10-4 05:27
我觉得是左侧侧脑室体旁出血,破入脑室系统.理由:除了左侧脑室体部外缘不规则之外,还有就是左侧脑室里面出血量较右侧多!
作者: zsl6918    时间: 2007-10-4 05:32
支持脑室内出血。属原发性的,比较少见的。
作者: qian    时间: 2007-10-4 05:45
应该是左侧侧脑室内的出血导致其他脑室内的积血。
作者: slc0002slc    时间: 2007-10-4 05:45
支持5楼意见
作者: 龙刚    时间: 2007-10-4 05:48
应该是尾状核出血破入侧脑室.
作者: wy232326    时间: 2007-10-4 06:25
原发性脑室出血
作者: txyywkm    时间: 2007-10-4 06:44
1、原发脑室出血,出血部位应该是左侧侧脑室;
2、左侧基底节区腔隙性脑梗塞;
   (不考虑脑积水,脑室急性出血期脑室系统会轻度扩张)
作者: nanjing    时间: 2007-10-4 07:13
脑室内出血
作者: ssmmxx    时间: 2007-10-4 07:15
原发脑室出血
作者: genius141    时间: 2007-10-4 11:02
真是难得一见
脑室系统出血,第三脑室,侧脑室都有
作者: psh    时间: 2007-10-4 16:38
出血点在左侧脑室旁。
作者: 卜一    时间: 2007-10-4 16:39
原发性脑室出血!
作者: 沙漠骆驼    时间: 2007-10-4 16:40
支持脑室内出血
作者: zjzjr    时间: 2007-10-4 16:59
左侧尾状核体部出血破入脑室系统.
作者: jiangjing    时间: 2007-10-4 17:25
最重要的是要讲明以脑室内积血为主,脑积水
作者: xulianj    时间: 2007-10-5 01:18
原发性脑室出血!支持
作者: 憨哥    时间: 2007-10-6 22:02
左侧尾状核体部出血破入脑室系统.
作者: zyx168    时间: 2007-10-7 08:12
原发性脑室出血
作者: zyyzzy    时间: 2007-10-7 08:27
支持尾状核体部出血破入侧脑室
作者: 宝天曼    时间: 2007-10-8 15:14
原发性脑室出血
作者: dr.yang    时间: 2011-3-28 12:46
原发性脑室出血!支持




欢迎光临 医影在线 (http://bbs.radida.com/bbs/) Powered by Discuz! X3.2