医影在线
标题: CT9947:女,20岁,妊娠9个月,突然癫痫症状 [打印本页]
作者: 水晶之恋 时间: 2007-10-4 16:20
标题: CT9947:女,20岁,妊娠9个月,突然癫痫症状













[本贴已被 jiajie 于 2007-10-4 9:58:42 修改过]
[本贴已被 jiajie 于 2007-10-8 19:12:55 修改过]
作者: 卜一 时间: 2007-10-4 16:36
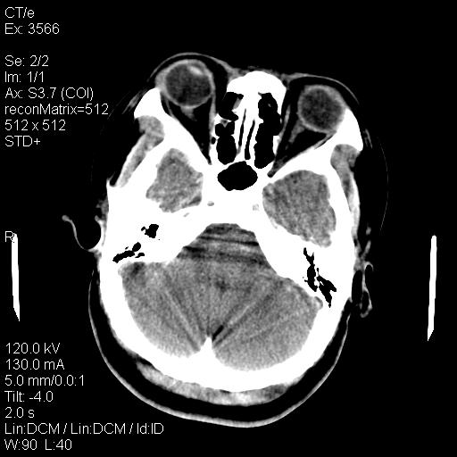
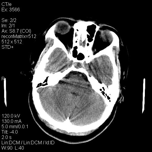
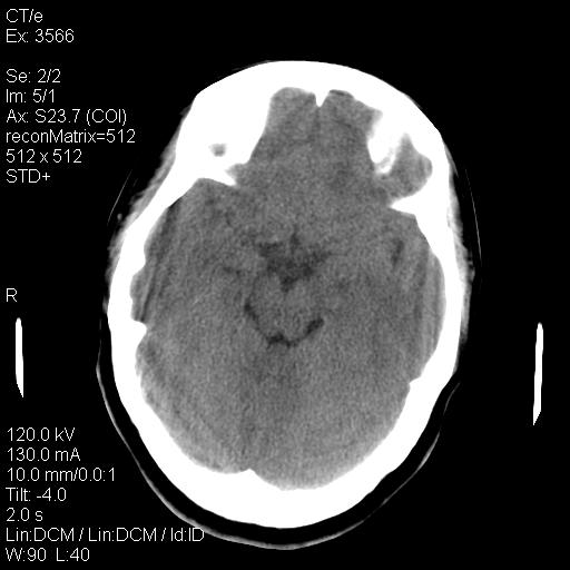
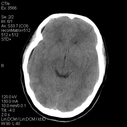
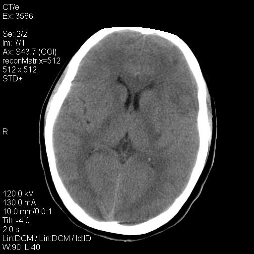
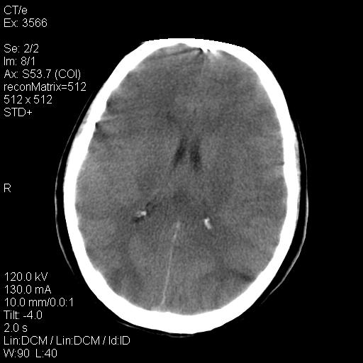
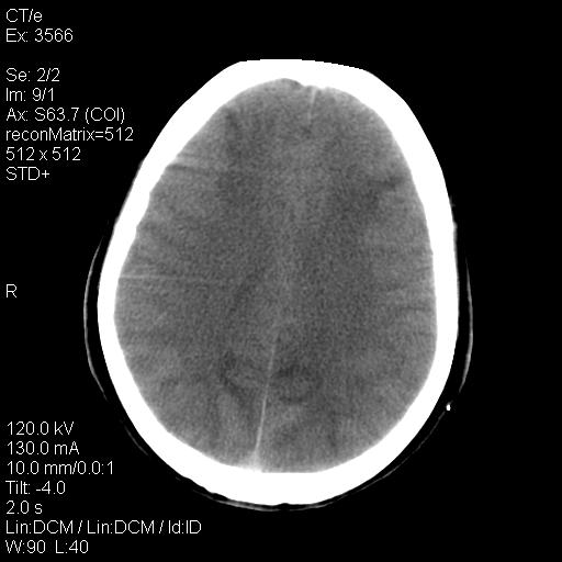
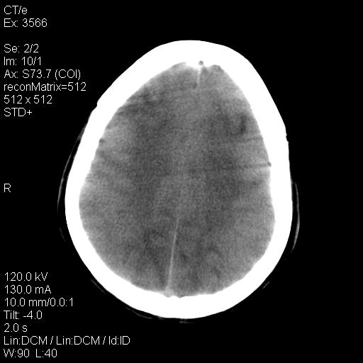
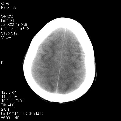
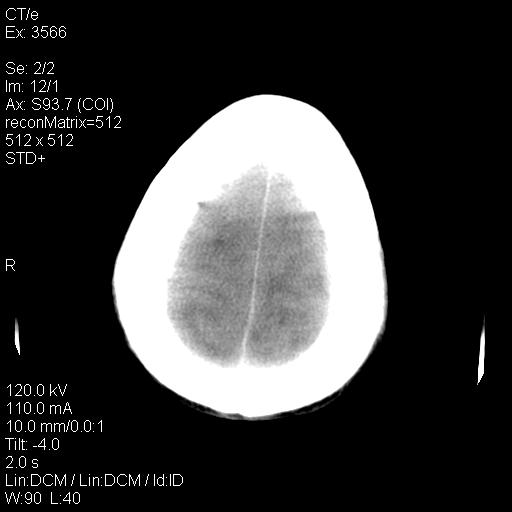
双侧脑白质缺血缺氧性改变,并高度可疑“蛛网膜下腔出血”。
作者: wangzhanshuang 时间: 2007-10-4 16:52
后可复性脑病,
作者: jiangjing 时间: 2007-10-4 17:12
考虑 妊娠子痫或妊高征
作者: mzh123 时间: 2007-10-4 17:13
标题: 回复:患者,女,20岁,妊娠9个月,突然癫痫症状
以下是引用wangzhanshuang在2007-10-4 8:52:00的发言:[br]后可复性脑病,
能给解释一下吗?
作者: 旭阳 时间: 2007-10-4 17:15
双侧脑白质缺血缺氧性改变.
作者: zjzjr 时间: 2007-10-4 17:18
考虑先兆子痫\\子痫致he,建议mri除外有无合并静脉窦血栓形成.
作者: 天南地北 时间: 2007-10-4 21:24
标题: 回复:ct9922:女,20岁,妊娠9个月,突然癫痫症状
考虑pres
请参照本站的讲座http://www.radida.com/radinet/read.php?tid=23425
作者: liangshusheng 时间: 2007-10-4 22:08
脑组织肿胀改变
作者: 水晶之恋 时间: 2007-10-6 06:44
谢谢各位同仁学习了!该患者未见本院隹,所以无法追踪!
作者: 守望可可 时间: 2007-10-6 07:52
的确应该考虑可逆性后部脑病综合症--pres。感谢天南地北老师的指引,又学了一招儿,开心,呵呵!
作者: nanjing 时间: 2007-10-6 18:38
标题: 回复:ct9922:女,20岁,妊娠9个月,突然癫痫症状
以下是引用守望可可西里在2007-10-5 23:52:00的发言:[br]的确应该考虑可逆性后部脑病综合症--pres。感谢天南地北老师的指引,又学了一招儿,开心,呵呵![br]
作者: zyx168 时间: 2007-10-7 08:00
考虑可逆性后部脑病综合症
作者: zyyzzy 时间: 2007-10-7 08:35
支持pres
作者: 宝天曼 时间: 2007-10-8 15:07
双侧脑白质缺血缺氧性改变.
作者: dr.yang 时间: 2011-3-28 12:54
学习了
| 欢迎光临 医影在线 (http://bbs.radida.com/bbs/) |
Powered by Discuz! X3.2 |