











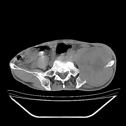
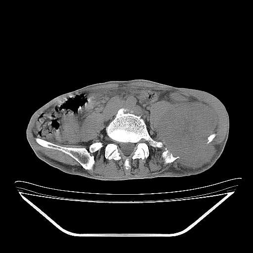
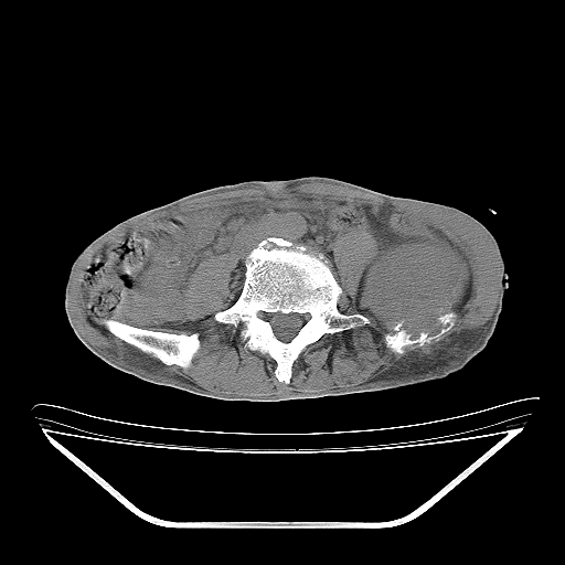
以下是引用天南地北在2007-10-4 18:01:00的发言:[br][br]考虑左髂部恶性肿瘤(溶骨性骨质破坏+软组织肿块影+残留骨质);以滑膜肉瘤可能性大。[br]建议穿刺活检
以下是引用liuyue在2007-10-4 23:38:00的发言:[br]左髂部恶性肿瘤,建议穿刺活检,或先做肺部检查,除外肺癌转移之可能。
以下是引用天南地北在2007-10-4 18:01:00的发言:[br][br]考虑左髂部恶性肿瘤(溶骨性骨质破坏+软组织肿块影+残留骨质);以滑膜肉瘤可能性大。[br]建议穿刺活检
| 欢迎光临 医影在线 (http://bbs.radida.com/bbs/) | Powered by Discuz! X3.2 |