医影在线

标题: CT9955:男,41岁,请教各位,看看是什么 [打印本页]

作者: ree66    时间: 2007-10-5 15:56
标题: CT9955:男,41岁,请教各位,看看是什么
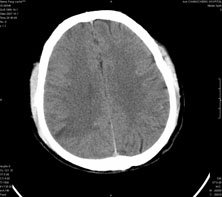
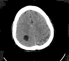
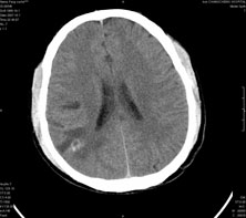
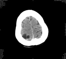
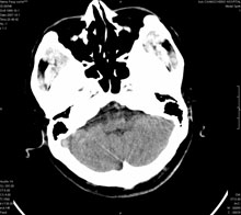
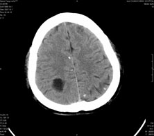
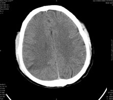
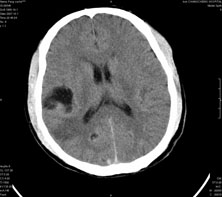
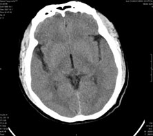
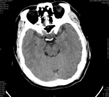
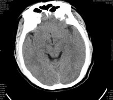
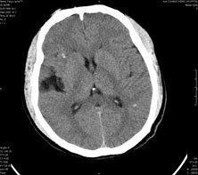
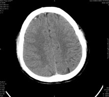
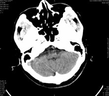
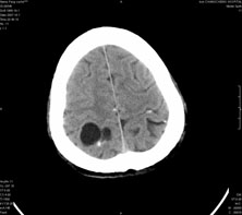
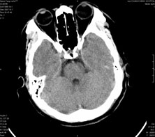
男,41岁,间断抽搐1小时,失神5分钟,bp130/90mmhg。低密度区ct值约16hu。


















[本贴已被 jiajie 于 2007-10-8 19:16:24 修改过]

作者: kbzyycm    时间: 2007-10-5 16:12
脑囊虫
作者: wangzhanshuang    时间: 2007-10-5 16:40
脑囊虫
作者: 卜一    时间: 2007-10-5 16:48
多发脑囊虫—混合型!
作者: 沙漠骆驼    时间: 2007-10-5 16:52
诊断没啥问题,脑囊虫.
作者: zjzjr    时间: 2007-10-5 17:17
多发脑囊虫—混合型!
作者: shuhuang2007    时间: 2007-10-5 17:57
脑实质见多发散在的钙化点,左顶叶见一囊变灶,多考虑脑囊虫。
作者: nanjing    时间: 2007-10-5 18:04
脑囊虫
作者: gaoshengjiang    时间: 2007-10-5 18:36
脑囊虫,部分囊内见头节。
作者: 王仕学    时间: 2007-10-5 18:37
脑实质见多发散在的钙化点,右颞、顶叶见囊性灶,考虑脑囊虫。
作者: wshhuang    时间: 2007-10-5 18:59
现在还有这样的病例出现,真是的!向各位老师学习了!
作者: 旭阳    时间: 2007-10-5 19:58
标题: 回复:ct9930:男,41岁,请教各位,看看是什么
以下是引用nanjing在2007-10-5 10:04:00的发言:[br]脑囊虫

作者: 天南地北    时间: 2007-10-5 20:29
标题: 回复:ct9930:男,41岁,请教各位,看看是什么
以下是引用zjzjr在2007-10-5 9:17:00的发言:[br]多发脑囊虫—混合型!

作者: wansheng    时间: 2007-10-5 20:42
多发脑囊虫—混合型!
作者: hhcckk    时间: 2007-10-5 22:12
多发的囊泡(多发囊型)+多发的钙化(慢性钙化型)=混合型
支持战友们的诊断!
作者: 晓杰    时间: 2007-10-5 23:02
脑实质见多发散在的钙化点,右颞、顶叶见囊性灶,考虑脑囊虫。
支持
作者: qiuleiyu    时间: 2007-10-5 23:31
支持;混合型脑囊虫病.请结合病史及补体结合试验.
作者: pingdongying    时间: 2007-10-5 23:40
学习了,谢谢
作者: 同    时间: 2007-10-6 00:39
支持脑囊虫病
作者: qiushi    时间: 2007-10-6 00:50
脑囊虫,建议结合病史
作者: luochengyi    时间: 2007-10-6 01:53
脑囊虫
作者: 求知若渴    时间: 2007-10-6 01:54
多发脑囊虫—混合型!
作者: 眼睛    时间: 2007-10-6 02:50
标题: 回复:ct9930:男,41岁,请教各位,看看是什么
以下是引用hhcckk在2007-10-5 14:12:00的发言:[br]多发的囊泡(多发囊型)+多发的钙化(慢性钙化型)=混合型[br]支持战友们的诊断!

作者: 拾荒者    时间: 2007-10-6 03:03
典型的脑囊虫病。
作者: ailuanfei    时间: 2007-10-6 03:41
支持脑囊虫病!
作者: 52yingxiang    时间: 2007-10-6 04:42
多发脑囊虫—混合型!活动期
作者: xulianj    时间: 2007-10-6 05:01
脑实质见多发散在的钙化点,左顶叶见一囊变灶,多考虑脑囊虫。
作者: ree66    时间: 2007-10-6 16:38
顶叶最大的囊直径2.2cm,如果考虑囊虫的话,囊是不是有点儿太大了?
作者: 憨哥    时间: 2007-10-6 21:59
以下是引用hhcckk在2007-10-5 14:12:00的发言:
多发的囊泡(多发囊型)+多发的钙化(慢性钙化型)=混合型
支持战友们的诊断!
作者: zyx168    时间: 2007-10-7 07:21
混合型脑囊虫病
作者: zyyzzy    时间: 2007-10-7 07:25
典型脑囊虫病
作者: 李世军    时间: 2007-10-14 01:57
脑实质见多发散在的钙化点,右颞、顶叶见囊性灶,考虑脑囊虫。
作者: 花村村长    时间: 2007-10-15 04:04
应该为脑囊虫病
作者: dr.yang    时间: 2011-3-28 13:00
典型的脑囊虫病




欢迎光临 医影在线 (http://bbs.radida.com/bbs/) Powered by Discuz! X3.2