








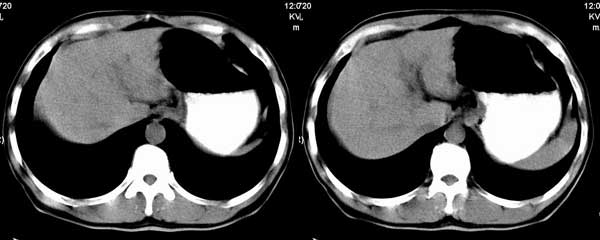
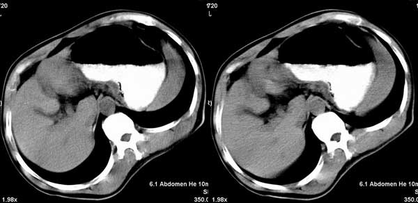
以下是引用听蝉观竹在2005-2-15 23:30:28的发言:[br]胃窦癌。[br]建议做胃镜检查并活检。
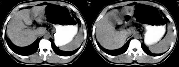
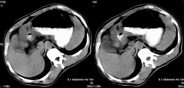
以下是引用听蝉观竹在2005-2-15 23:30:28的发言:[br]胃窦癌。[br]建议做胃镜检查并活检。
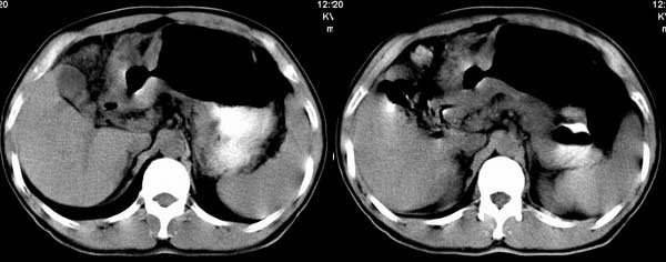
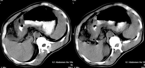
以下是引用大鹏在2005-2-16 16:14:44的发言:[br]我院用俯卧位显示胃窦部效果很好.[em4][emb26]
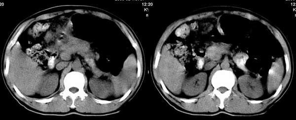
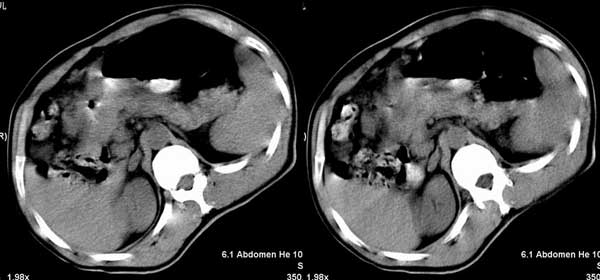
以下是引用听蝉观竹在2005-2-15 23:30:28的发言:[br]胃窦癌。[br]建议做胃镜检查并活检。
| 欢迎光临 医影在线 (http://bbs.radida.com/bbs/) | Powered by Discuz! X3.2 |