









以下是引用luochengyi在2007-10-5 22:39:00的发言:[br]脑膜瘤
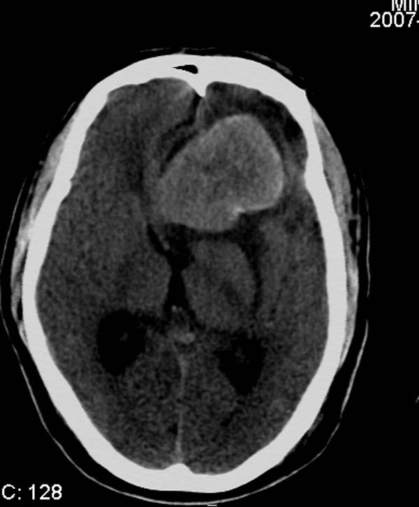
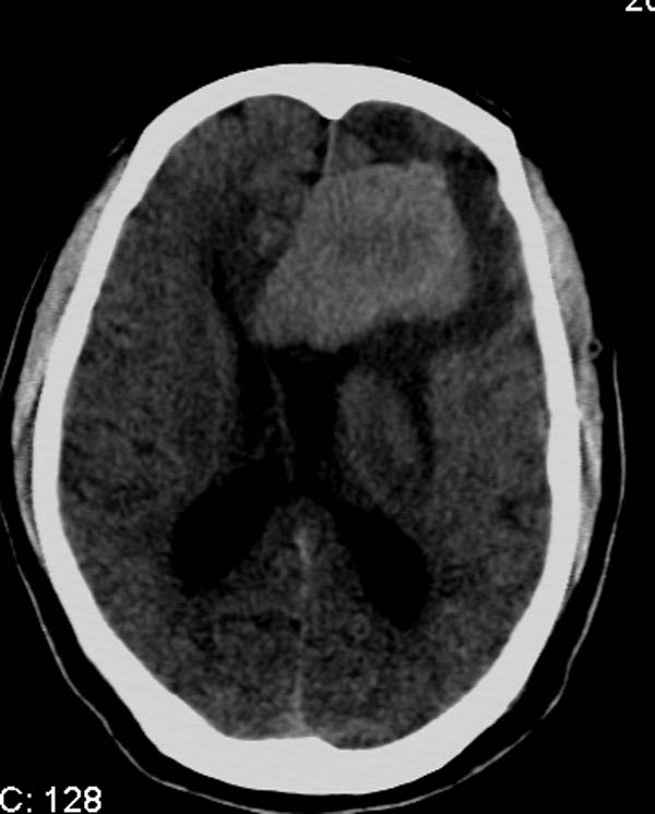
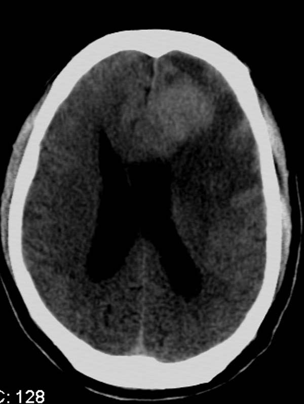
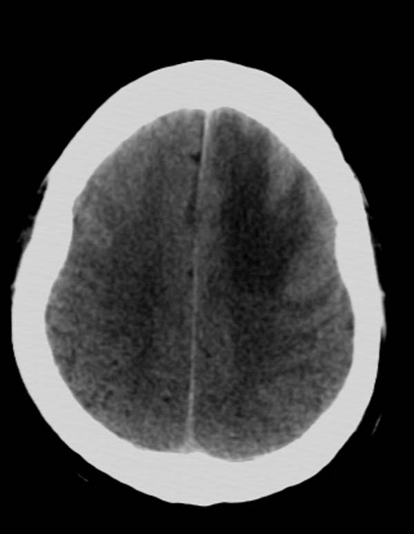
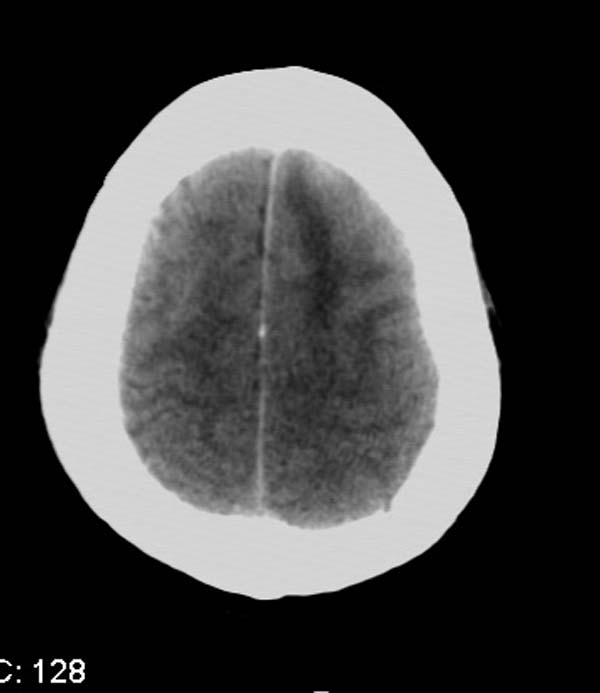
以下是引用拾荒者在2007-10-5 19:31:00的发言:[br]左额叶镰旁不规则形高密度影,中间见钙化灶及略低密度影,占位征象明显,周围有低密度水肿带环绕,首先考虑脑膜瘤。
以下是引用拾荒者在2007-10-5 19:31:00的发言:[br]左额叶镰旁不规则形高密度影,中间见钙化灶及略低密度影,占位征象明显,周围有低密度水肿带环绕,首先考虑脑膜瘤。
| 欢迎光临 医影在线 (http://bbs.radida.com/bbs/) | Powered by Discuz! X3.2 |