








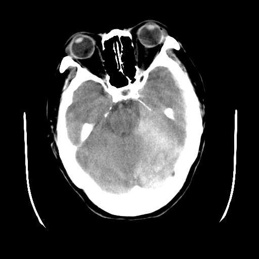
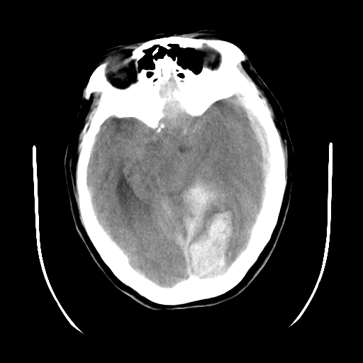
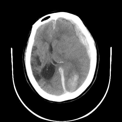
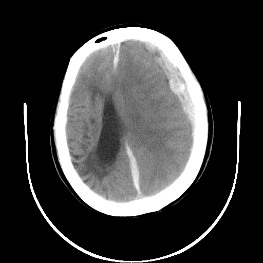
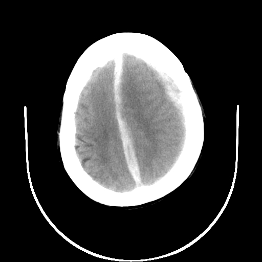
以下是引用gaoshengjiang在2007-10-7 9:18:00的发言:[br]左枕叶脑出血,左额颞顶部及纵裂硬膜下血肿,蛛网膜下腔出血,右颞叶脑梗塞。出血原因:患者年龄较大可能为动脉硬化或血管畸形?建议进一步临床检查。
以下是引用卜一在2007-10-7 9:40:00的发言:[br]左枕叶脑出血,左额颞顶部及纵裂硬膜下血肿,蛛网膜下腔出血,右颞叶脑梗塞。出血原因:患者年龄较大可能为动脉硬化或血管畸形?建议进一步临床检查。 [br] [br]支持!
以下是引用卜一在2007-10-7 9:40:00的发言:[br]左枕叶脑出血,左额颞顶部及纵裂硬膜下血肿,蛛网膜下腔出血,右颞叶脑梗塞。出血原因:患者年龄较大可能为动脉硬化或血管畸形?建议进一步临床检查。 [br] [br]支持!
以下是引用gaoshengjiang在2007-10-7 9:18:00的发言:[br]左枕叶脑出血,左额颞顶部及纵裂硬膜下血肿,蛛网膜下腔出血,右颞叶脑梗塞。出血原因:患者年龄较大可能为动脉硬化或血管畸形?建议进一步临床检查。
| 欢迎光临 医影在线 (http://bbs.radida.com/bbs/) | Powered by Discuz! X3.2 |