
























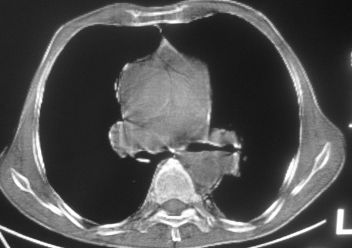
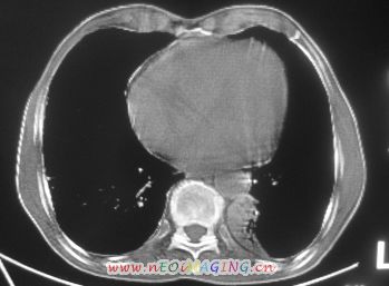
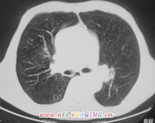
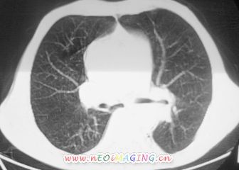
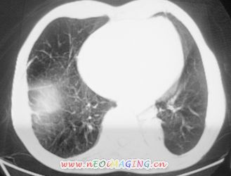
以下是引用南沙在2007-10-7 10:44:00的发言:[br]左下肺不张.[br]肺癌可能性大?
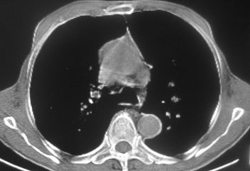
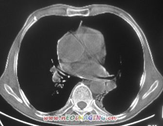
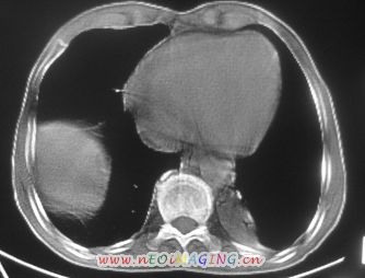
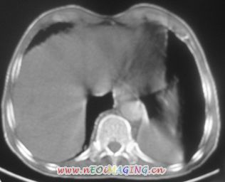
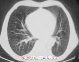
以下是引用卜一在2007-10-7 9:38:00的发言:[br]左下肺胸膜下团片影,内见含气支气管像,临近胸膜未见增厚。多考虑:1 左下肺炎症,建议消炎后复查!2 不除外肺隔离症合并感染!
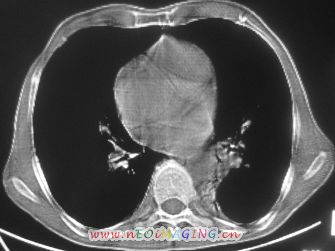
以下是引用卜一在2007-10-7 9:38:00的发言:[br]左下肺胸膜下团片影,内见含气支气管像,临近胸膜未见增厚。多考虑:1 左下肺炎症,建议消炎后复查!2 不除外肺隔离症合并感染!
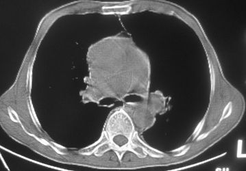
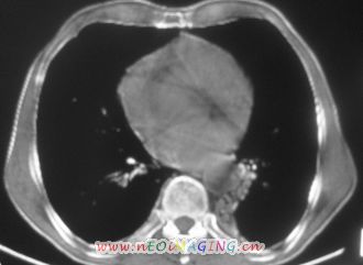
以下是引用卜一在2007-10-7 9:38:00的发言:[br]左下肺胸膜下团片影,内见含气支气管像,临近胸膜未见增厚。多考虑:1 左下肺炎症,建议消炎后复查!2 不除外肺隔离症合并感染!
| 欢迎光临 医影在线 (http://bbs.radida.com/bbs/) | Powered by Discuz! X3.2 |