医影在线

标题: MRI1265:男性40岁,右膝关节 [打印本页]

作者: 丝路花雨    时间: 2007-10-8 23:58
标题: MRI1265:男性40岁,右膝关节
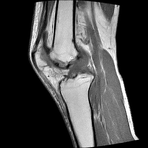
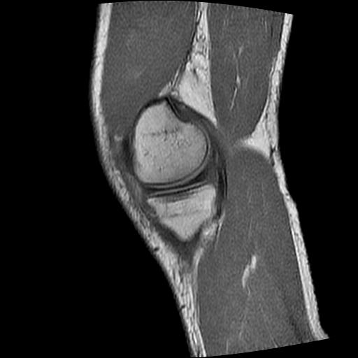
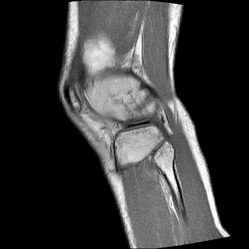
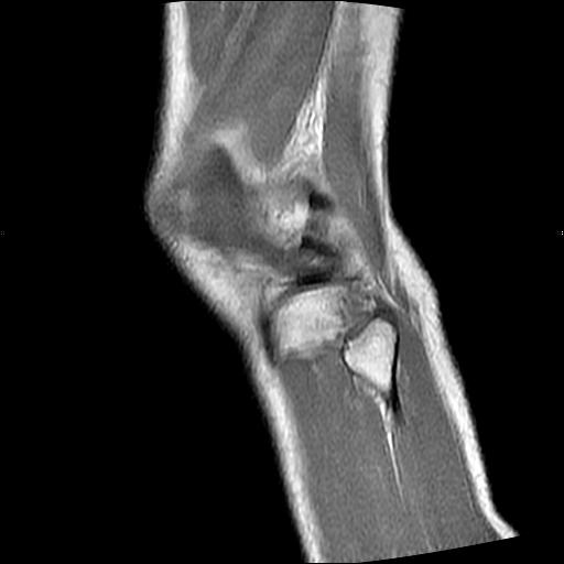
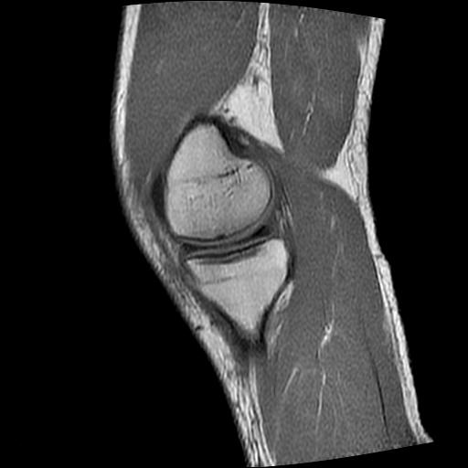
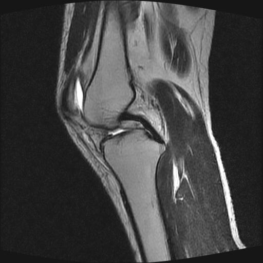
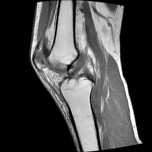
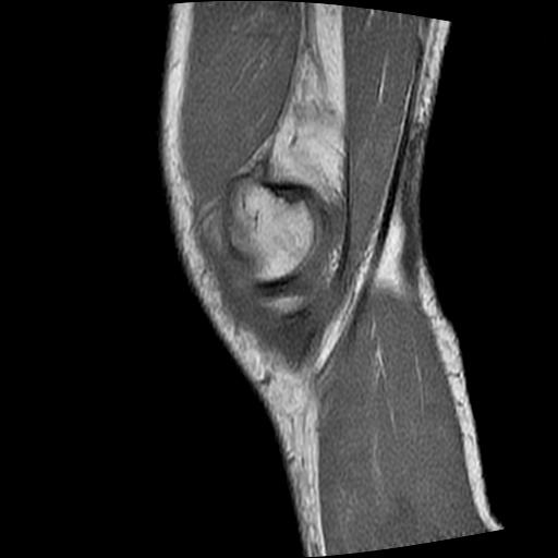
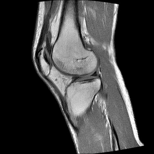
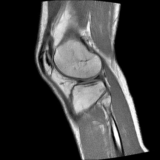
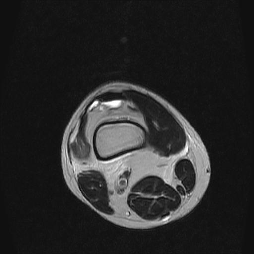
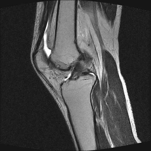
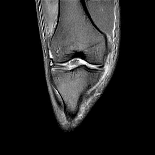
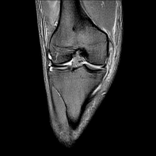
40岁男性,右膝关节外伤,x光平片示,髁间隆突撕脱骨折。




















































[本贴已被 jiajie 于 2007-10-8 18:47:18 修改过]

作者: lihua860    时间: 2007-10-9 00:43
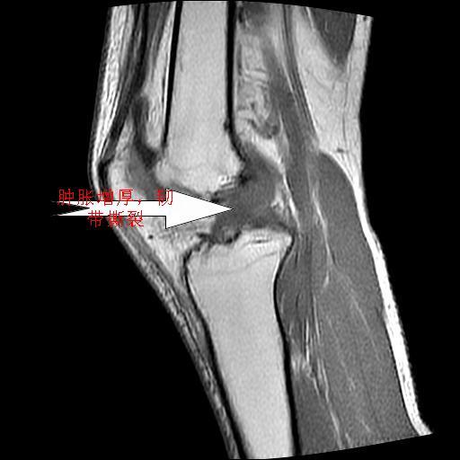
1、前交叉韧带撕裂;
2、外侧半月板后角撕裂;
3、关节腔积液。
作者: 王光光    时间: 2007-10-9 01:00
前交叉韧带撕裂,关节腔积液.
作者: yangwq    时间: 2007-10-9 02:15
半月板1-2级损伤   前交叉韧带撕裂伤   关节腔少量积液  诸骨未见新鲜外伤性改变
作者: zxd95    时间: 2007-10-9 02:54
还有:
髁间隆突撕脱骨折;内侧副韧带损伤。
作者: 卜一    时间: 2007-10-9 04:19
前交叉韧带撕裂,关节腔积液,支持!
作者: xulianj    时间: 2007-10-9 07:07
半月板1-2级损伤   前交叉韧带撕裂伤   关节腔少量积液
作者: 代课学生    时间: 2007-10-9 17:26
学习了
作者: 晓杰    时间: 2007-10-9 18:44
标题: 回复:mri1265:男性40岁,右膝关节
[quote]以下是引用丝路花雨在2007-10-8 15:58:00的发言:[br]40岁男性,右膝关节外伤,x光平片示,髁间隆突撕脱骨折。[br


作者: yzq202    时间: 2007-10-10 04:57
1、内侧副韧带撕裂;
2、前交叉韧带撕裂;
3、滑膜炎伴关节腔积液。
作者: 大海深蓝    时间: 2007-10-10 18:52
内侧副韧带撕裂及关节腔积液是肯定的,但是前交叉撕裂确定吗?会不会有容积效应的因素,因为前一张前交叉显示清楚,连续性良好,且较光滑。请问楼主有关节镜支持吗?我们医院也经常有这样的患者,但苦于没有关节镜,而无法对照、证实(除非完全断裂),出现了不同的诊断结果只能毫无意义的争论。
作者: lihua860    时间: 2007-10-11 16:22
1、前交叉韧、内侧副韧带撕裂;
2、外侧半月板后角撕裂;
3、关节腔积液。4、髁间脊撕脱骨折。
作者: 克山    时间: 2007-10-12 04:44
除了关节积液外并无韧带撕裂,acl胫侧附着点有2束,正常情况下脂肪信号。此病例应加做压脂像以便观察是否有骨损伤。
作者: zyx168    时间: 2007-10-31 01:58
1、内侧副韧带撕裂;
2、前交叉韧带撕裂;
3、滑膜炎伴关节腔积液。
作者: fengtao678    时间: 2007-11-1 06:12
晓杰  鲜花  掌声
作者: 琥珀人    时间: 2007-11-29 17:10
、内侧副韧带撕裂;
2、前交叉韧带撕裂




欢迎光临 医影在线 (http://bbs.radida.com/bbs/) Powered by Discuz! X3.2