












以下是引用zhangzhongshou在2007-10-8 19:16:00的发言:[br]大脑大静脉瘤[br]
以下是引用zhangzhongshou在2007-10-8 19:16:00的发言:[br]大脑大静脉瘤[br]
以下是引用余辉在2007-10-8 20:01:00的发言:[br][quote]以下是引用zhangzhongshou在2007-10-8 19:16:00的发言:[br]大脑大静脉瘤[br]
以下是引用zhangzhongshou在2007-10-8 19:16:00的发言:[br]大脑大静脉瘤[br]
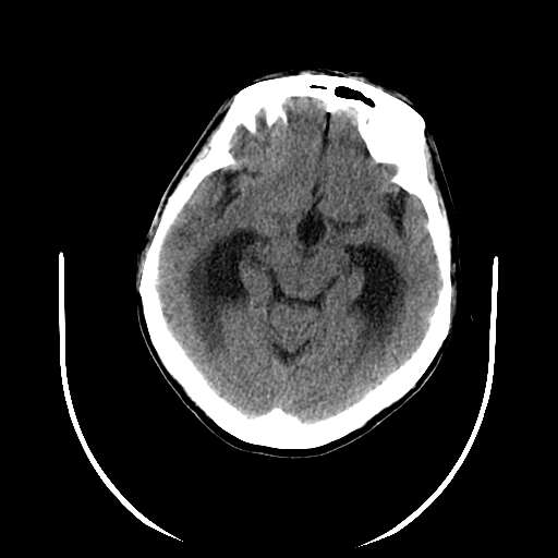
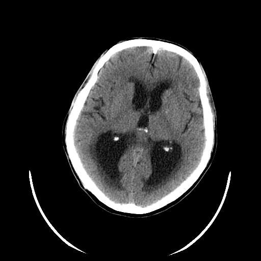
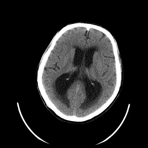
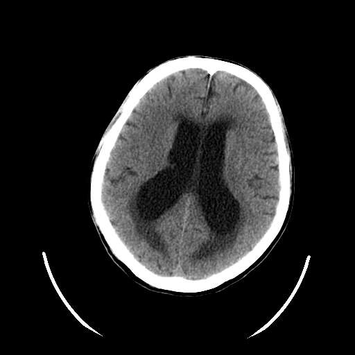
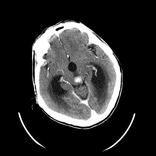
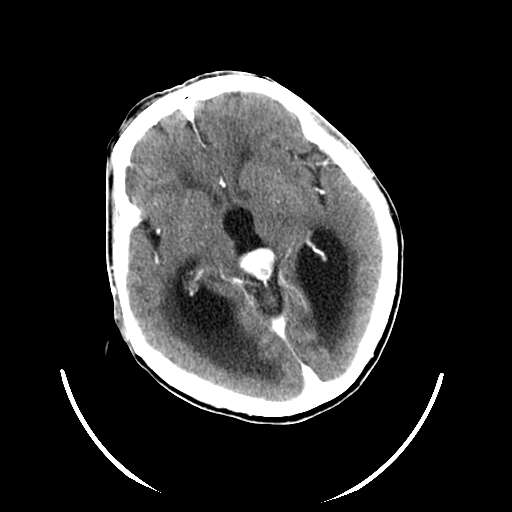
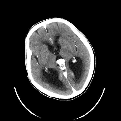
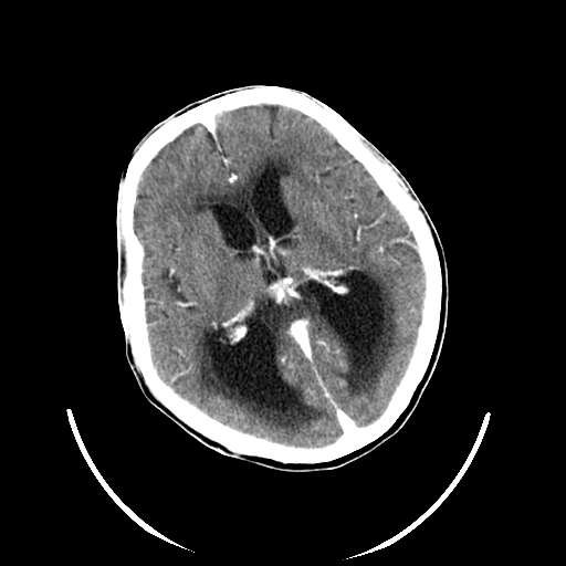
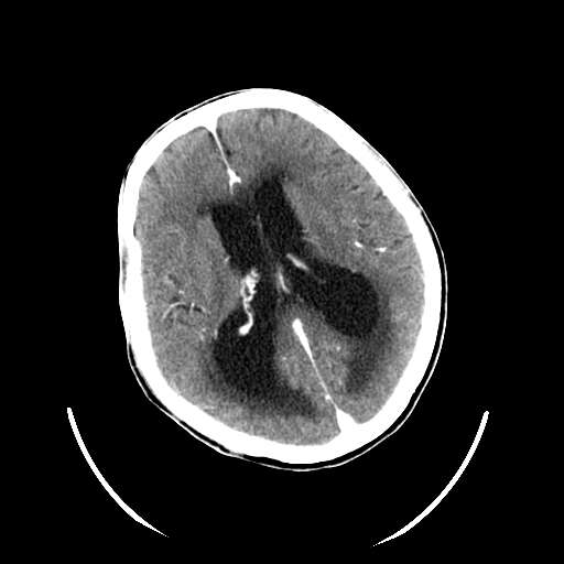
以下是引用hhcckk在2007-10-9 10:03:00的发言:[br]galen';s静脉瘤又称大脑大静脉瘤,是由于动静脉短路,大量血流进入galen';s静脉(大脑大静脉),造成该静脉瘤样扩张所致,病理上典型的galen';s静脉瘤包括一明显扩张的囊状galen';s静脉和引流galen';s静脉的短路血管,,这些短路血管多来源于颈内动脉系统或基底动脉系统,多异常扩大、迂曲。巨大的galen';s静脉瘤可造成中脑压迫,导水管闭塞,引起梗阻性脑积水。[br]galen';s静脉瘤ct表现较典型,根据其部位、形态、增强前后表现及脑积水表现较易诊断。[br]支持张主任,此病人病灶强化明显,正常松果体增强后在病灶的后方可见,可以再做个mr,血管性的病灶在mr上有流空效应,增强后明显强化,诊断更有把握
| 欢迎光临 医影在线 (http://bbs.radida.com/bbs/) | Powered by Discuz! X3.2 |