医影在线

标题: CT9995:男,62岁,会诊,胸部平扫 [打印本页]

作者: xg410    时间: 2007-10-9 19:39
标题: CT9995:男,62岁,会诊,胸部平扫
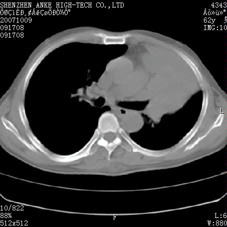
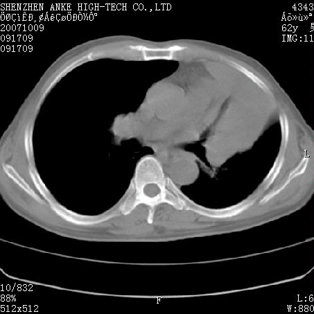
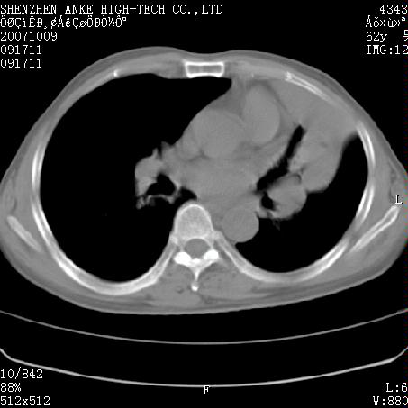
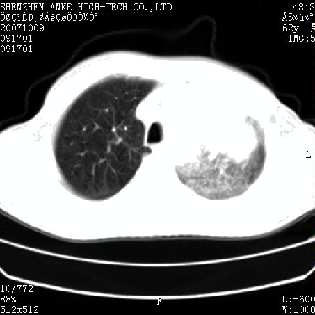
患者:男,62岁,咳嗽、胸痛、咯血约2月






























[本贴已被 jiajie 于 2007-10-9 14:44:08 修改过]

作者: zjzjr    时间: 2007-10-9 20:20
左侧中央型肺癌伴上叶肺不张\\阻塞性肺炎.
作者: xiaomeng    时间: 2007-10-9 20:23
支持
作者: 天南地北    时间: 2007-10-9 21:09
标题: 回复:会诊:胸部平扫
以下是引用zjzjr在2007-10-9 12:20:00的发言:[br]左侧中央型肺癌伴上叶肺不张\\阻塞性肺炎.

作者: 王仕学    时间: 2007-10-9 21:30
支持左侧中央型肺癌伴上叶肺不张\\阻塞性肺炎.
作者: xclzq_910    时间: 2007-10-9 22:18
1\\支持左侧中央型肺癌伴上叶肺不张\\阻塞性肺炎
2\\建议支气管镜检查
作者: wangdch2008    时间: 2007-10-9 23:22
支持楼上
作者: untrouble    时间: 2007-10-9 23:26
持左侧中央型肺癌伴上叶肺不张\\阻塞性肺炎
作者: hhcckk    时间: 2007-10-9 23:43
标题: 回复:ct9995:男,62岁,会诊,胸部平扫

作者: 卜一    时间: 2007-10-10 00:05
左侧中央型肺癌伴上叶肺不张\\阻塞性肺炎。支持!
作者: 狙击手    时间: 2007-10-10 00:05
考虑左侧中央型肺癌伴上叶肺不张\\阻塞性肺炎,我觉得穿刺病理明确最好。应该很容易穿得。
作者: ydx_74    时间: 2007-10-10 00:15
左侧中央型肺癌伴上叶肺不张
作者: gaoshengjiang    时间: 2007-10-10 00:40
左侧中央型肺癌伴上叶肺不张、阻塞性肺炎、纵隔淋巴结转移。支持!
作者: gty    时间: 2007-10-10 01:22
左侧中央型肺癌伴上叶肺不张
作者: qgysx    时间: 2007-10-10 01:24
支持!胸膜及纵隔会不会受侵?
作者: wansheng    时间: 2007-10-10 02:50
左侧中央型肺癌伴上叶肺不张\\阻塞性肺炎。支持!
作者: houyuguang6    时间: 2007-10-10 03:26
支持左肺中央型肺癌伴上叶不张/阻塞性炎症
作者: 同    时间: 2007-10-10 03:47
左侧中央型肺癌伴上叶不张及阻塞性肺炎.
作者: xulianj    时间: 2007-10-10 04:33
左侧中央型肺癌伴上叶肺不张。
作者: 拾荒者    时间: 2007-10-10 05:00
左侧中央型肺癌伴上叶肺不张、阻塞性肺炎、纵隔淋巴结转移。支持!
作者: 余辉    时间: 2007-10-10 05:15
支持,不是癌才怪
作者: yuhongjun    时间: 2007-10-10 14:16
1\\支持左侧中央型肺癌伴上叶肺不张\\阻塞性肺炎
2\\建议支气管镜检查
作者: zyyzzy    时间: 2007-10-10 22:53
左侧中央型肺癌伴上叶肺不张及阻塞性肺炎,纵隔内淋巴结转移
作者: 宝天曼    时间: 2007-10-11 04:31
支持左侧中央型肺癌伴上叶肺不张\\阻塞性肺炎.
作者: zhoujm0142    时间: 2007-10-11 06:16
支持
作者: doc张    时间: 2007-10-11 18:33
标题: 回复:ct9995:男,62岁,会诊,胸部平扫
以下是引用zjzjr在2007-10-9 12:20:00的发言:[br]左侧中央型肺癌伴上叶肺不张\\阻塞性肺炎.

作者: bzzenghuai1971    时间: 2007-10-23 06:41
支持左侧中央型肺癌伴上叶肺不张\\阻塞性肺炎.




欢迎光临 医影在线 (http://bbs.radida.com/bbs/) Powered by Discuz! X3.2