














































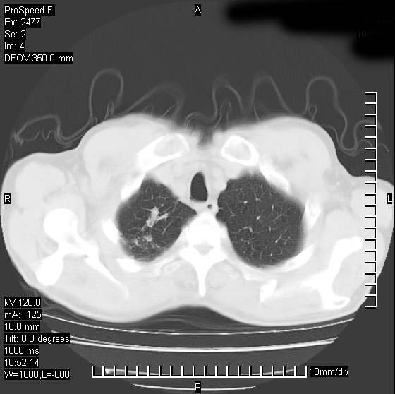
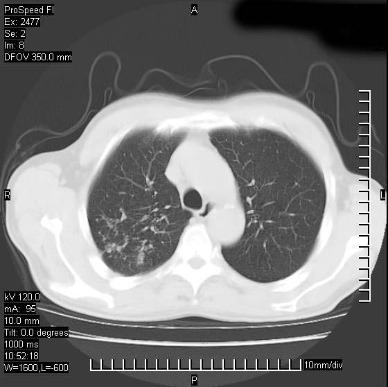
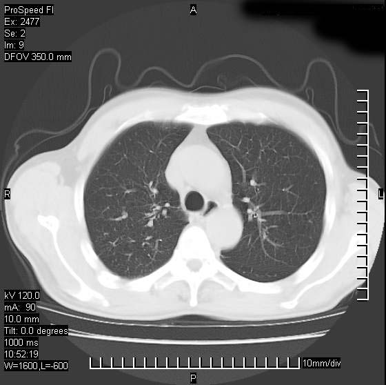
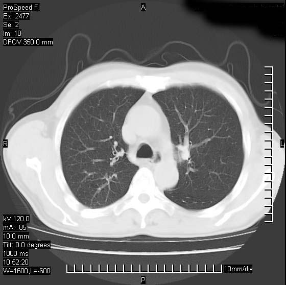
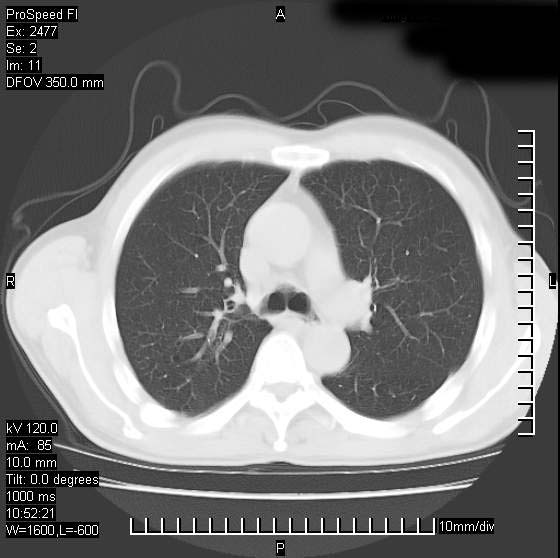
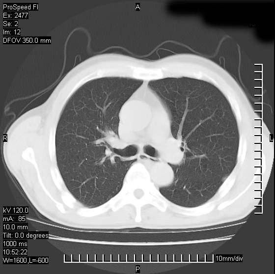
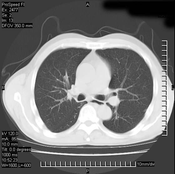
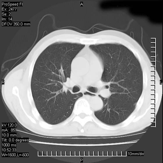
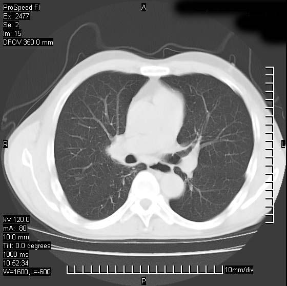
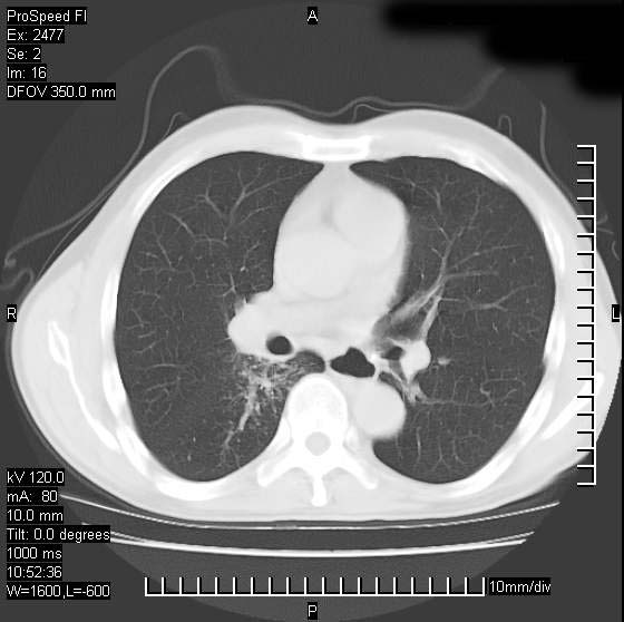
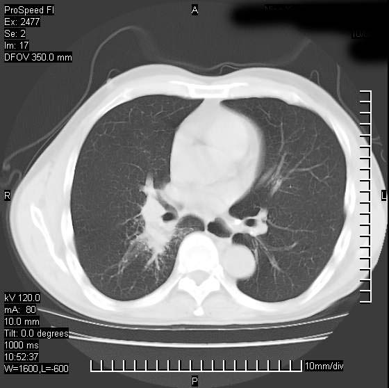
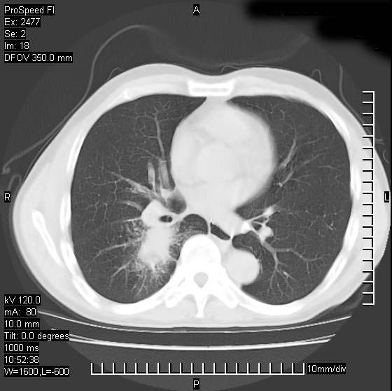
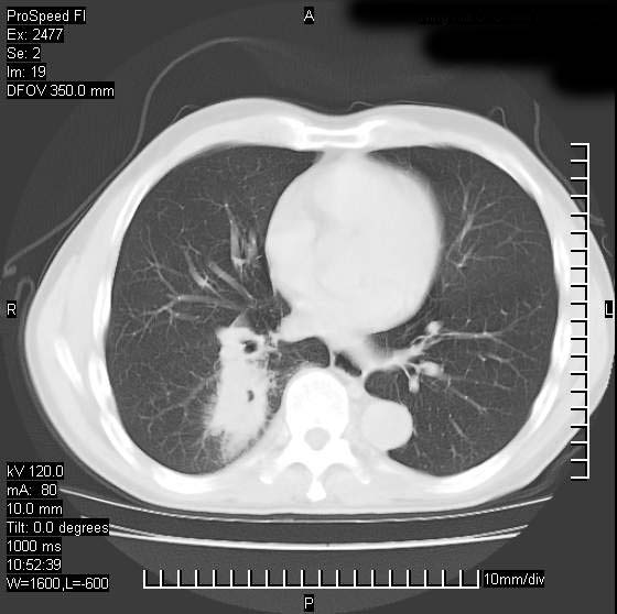
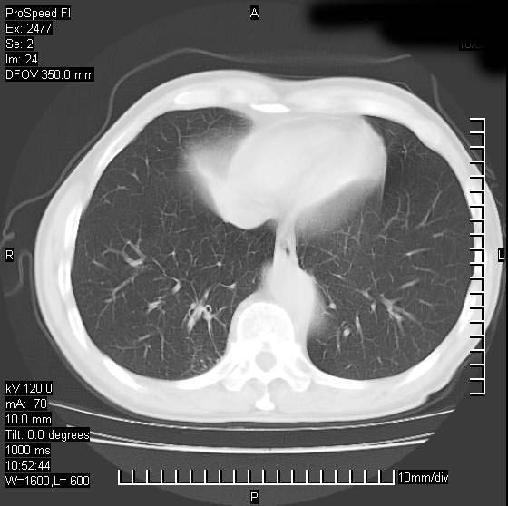
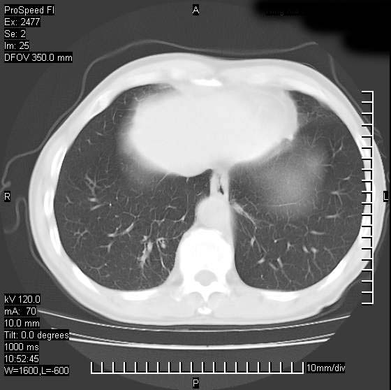
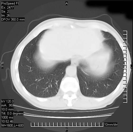
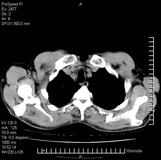
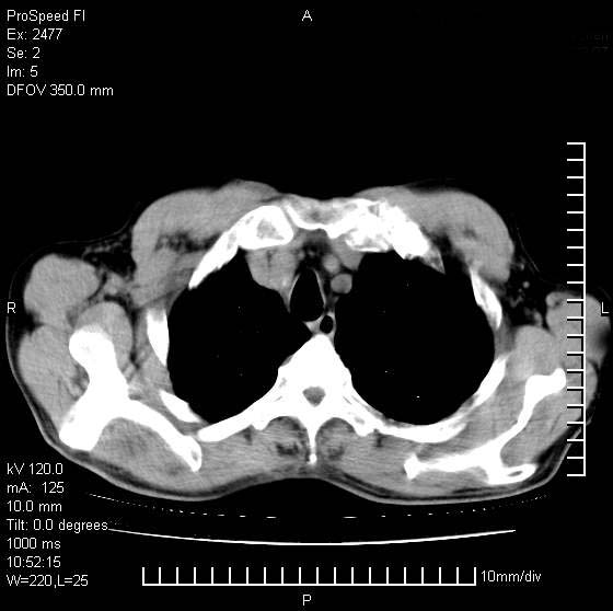
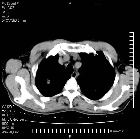
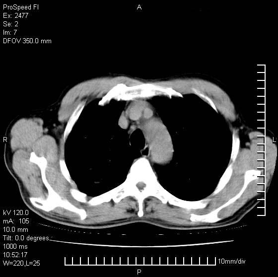
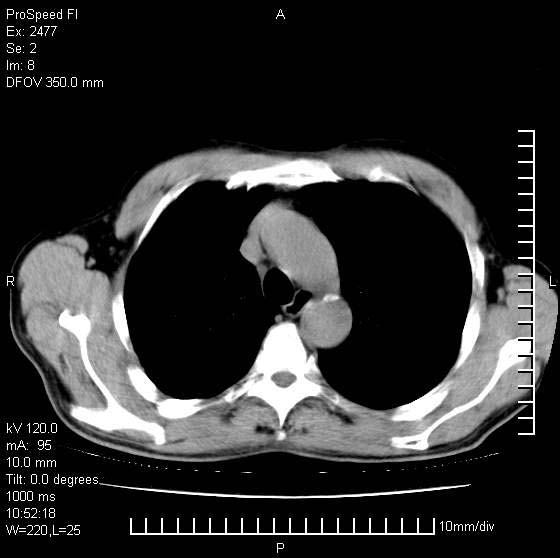
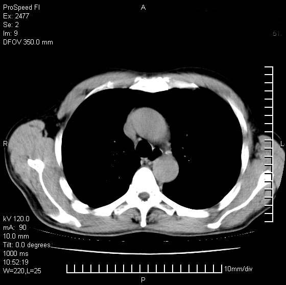
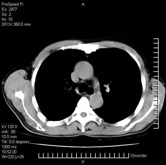
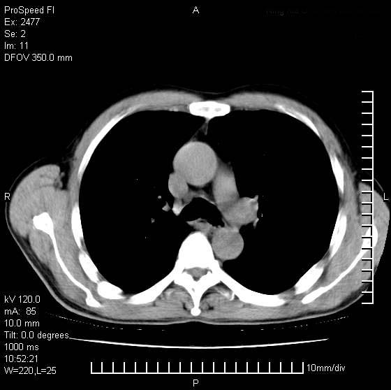
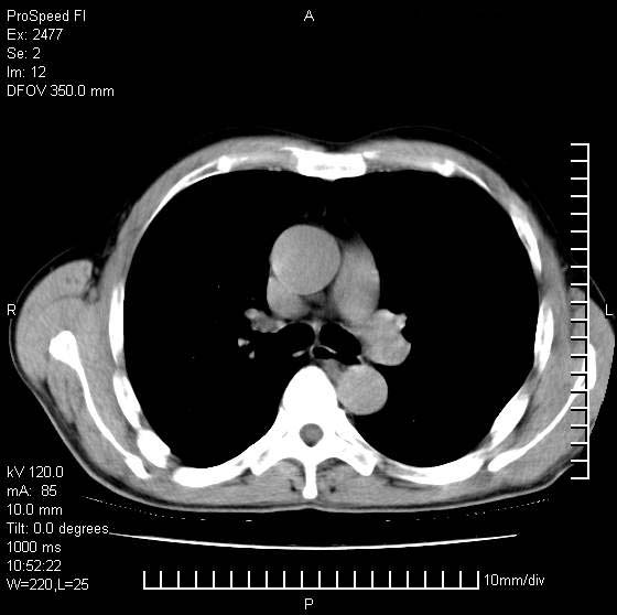
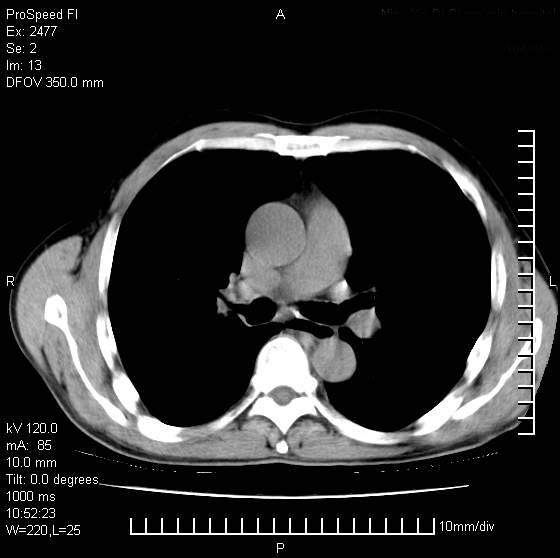
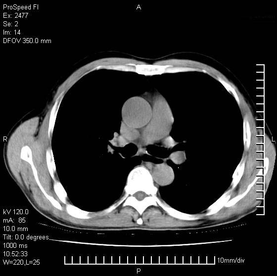
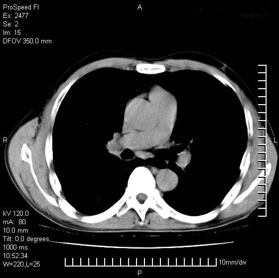
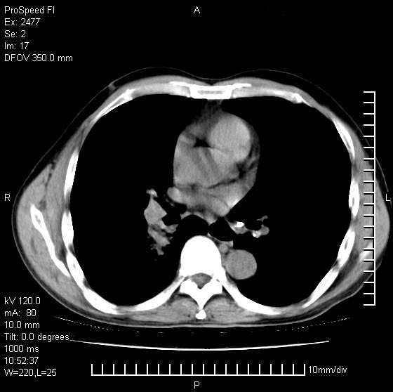
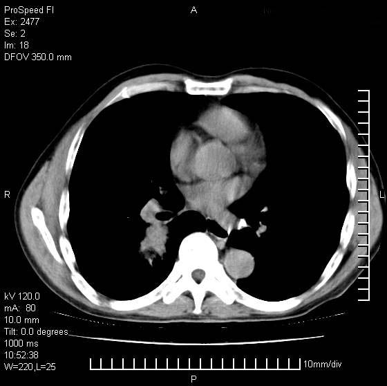
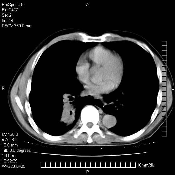
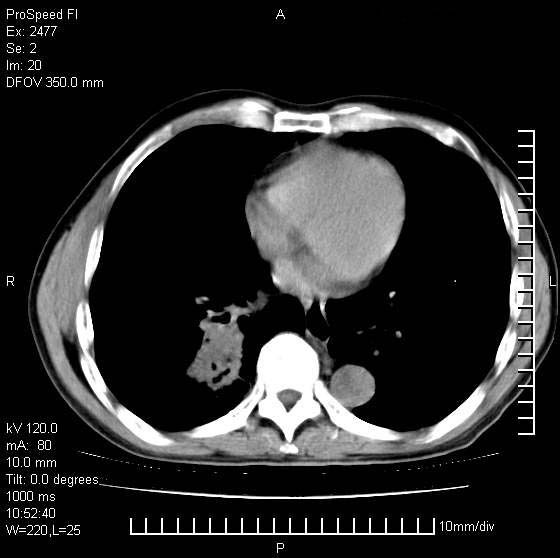
以下是引用天南地北在2007-10-9 14:29:00的发言:[br]1:右上肺结核[br]2:右肺下叶肿块:不支持肺癌,首先考虑炎性病变-肺脓疡可能性大[br]理由:1:临床病史支持,肺脓肿症状不明显应该是不规则服药造成。[br] 2:肿块边缘模糊,周围可见炎性渗出,长毛刺,内见支气管征,不过有点不规则。[br] 我感觉下肺癌这个诊断有点偏左,建议积极抗炎治疗后复查
以下是引用卜一在2007-10-9 15:55:00的发言:[br][br] [br] 1:右上肺结核[br]2:右肺下叶肿块:不支持肺癌,首先考虑炎性病变-肺脓疡可能性大[br]理由:1:临床病史支持,肺脓肿症状不明显应该是不规则服药造成。[br] 2:肿块边缘模糊,周围可见炎性渗出,长毛刺,内见空气支气管征,不过有点不规则。[br] 我感觉下肺癌这个诊断有点偏左,建议积极抗炎治疗后复查![br]支持! [br] [br] [br]
以下是引用天南地北在2007-10-9 14:29:00的发言:[br]1:右上肺结核[br]2:右肺下叶肿块:不支持肺癌,首先考虑炎性病变-肺脓疡可能性大[br]理由:1:临床病史支持,肺脓肿症状不明显应该是不规则服药造成。[br] 2:肿块边缘模糊,周围可见炎性渗出,长毛刺,内见支气管征,不过有点不规则。[br] 我感觉下肺癌这个诊断有点偏左,建议积极抗炎治疗后复查
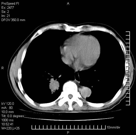
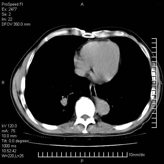
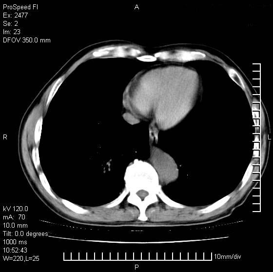
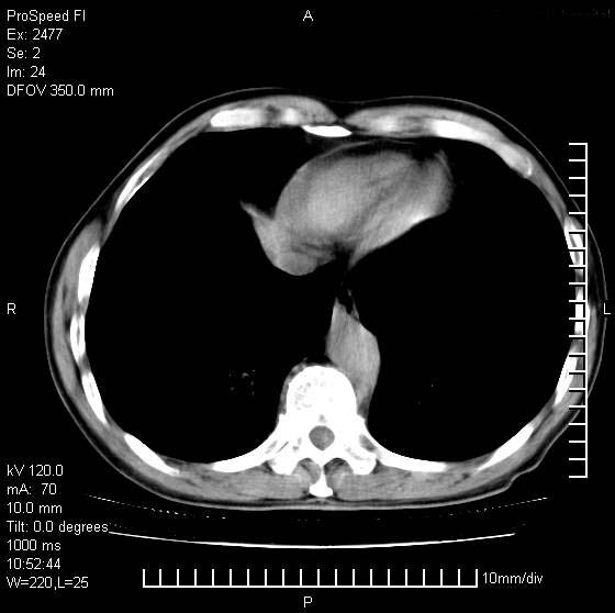
以下是引用wxy7406在2007-10-9 21:02:00的发言:[br]结合临床病史首先考虑感染性病变,但周围型肺癌不能除外,1.患者年龄偏大2.临床有咯血3.(也觉得是最重要的一点)病灶内有偏心性空洞。
以下是引用王仕学在2007-10-9 13:48:00的发言:[br]右下肺周围性肺癌可能性大,最好活检吧
以下是引用拾荒者在2007-10-9 21:24:00的发言:[br][quote]以下是引用wxy7406在2007-10-9 21:02:00的发言:[br]结合临床病史首先考虑感染性病变,但周围型肺癌不能除外,1.患者年龄偏大2.临床有咯血3.(也觉得是最重要的一点)病灶内有偏心性空洞。
以下是引用hhcckk在2007-10-9 15:18:00的发言:[br]右上肺病灶考虑结核,病灶多种形态并存(纤维化、增殖性病灶并存)[br]右下肺病灶比较难说,个人意见更趋向于“天南地北”的诊断----肺脓肿[br]1、病人有明显的寒战,高热,肿瘤病人很少出现[br]2、病灶周围的肺纹理走向柔和,没有肿瘤病灶常见的集束征[br]3、病灶边缘的毛刺较长,恶性肿瘤多为短毛刺[br]痰中血丝和病人的年龄是两个不利于良性肿块的因素,建议早点活检
以下是引用ydx_74在2007-10-9 15:53:00的发言:[br]右上肺结核,右下中心性肺癌可能大,肺门淋巴结肿大。
| 欢迎光临 医影在线 (http://bbs.radida.com/bbs/) | Powered by Discuz! X3.2 |