医影在线

标题: CT10001:F 29 岁 [打印本页]

作者: 13081830109    时间: 2007-10-9 23:06
标题: CT10001:F 29 岁
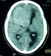
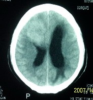
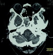
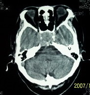
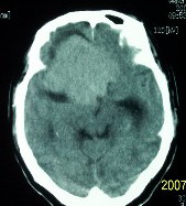
f    29岁   头闷  头晕1月余















[本贴已被 jiajie 于 2007-10-9 15:13:24 修改过]

作者: wangdch2008    时间: 2007-10-9 23:25
脑膜瘤可能性大
作者: zjzjr    时间: 2007-10-9 23:27
考虑室管膜瘤可能性大,建议增强或mri
作者: 狙击手    时间: 2007-10-9 23:37
脑膜瘤
作者: ydx_74    时间: 2007-10-9 23:44
鞍上脑膜瘤
作者: 卜一    时间: 2007-10-9 23:47
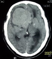
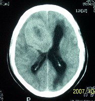
肿瘤累及颅底前颅窝,部分层面见散在钙化,中心坏死。支持:脑膜瘤!
作者: 52yingxiang    时间: 2007-10-9 23:49
肿瘤累及颅底前颅窝,部分层面见散在钙化,中心坏死。支持:脑膜瘤!
作者: gaoshengjiang    时间: 2007-10-10 00:13
支持:脑膜瘤!
作者: 光线    时间: 2007-10-10 00:52
较典型脑膜瘤。
作者: 王仕学    时间: 2007-10-10 00:53
支持:脑膜瘤!
作者: xclzq_910    时间: 2007-10-10 01:31
这么大,鞍上压迫那么厉害,梗阻也比较重没有视力及其他症状吗?从肿瘤本身表现看,支持考虑颅底脑膜瘤
作者: wansheng    时间: 2007-10-10 02:44
较典型脑膜瘤。
作者: houyuguang6    时间: 2007-10-10 03:02
也觉得是脑膜瘤
作者: qgysx    时间: 2007-10-10 03:35
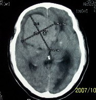
颅底骨质有破坏?
作者: 同    时间: 2007-10-10 04:01
支持脑膜瘤
作者: zhangyuanmr    时间: 2007-10-10 04:25
脑膜瘤可能性大.
作者: hersjwei    时间: 2007-10-10 04:28
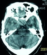
肿瘤长入侧脑室,侧脑室明显扩大, 病灶边界清楚,其内可见低密度坏死区,中枢神经细胞瘤?室管膜瘤?
作者: hersjwei    时间: 2007-10-10 04:29
中枢神经细胞瘤?室管膜瘤?
作者: xulianj    时间: 2007-10-10 04:59
支持:脑膜瘤!
作者: luochengyi    时间: 2007-10-10 05:20
鞍上脑膜瘤
作者: jsgdoctor    时间: 2007-10-10 05:37
考虑脑膜瘤!
作者: 拾荒者    时间: 2007-10-10 05:41
镰旁高密度灶,中间低密度坏死区,周围水肿较轻,支持脑膜瘤诊断,建议结合增强扫描。
作者: yxwsd    时间: 2007-10-10 05:45
考虑脑膜瘤!
作者: liuhongjun01    时间: 2007-10-10 06:04
脑膜瘤。
作者: shenhs    时间: 2007-10-10 06:10
支持:脑膜瘤!
作者: psh    时间: 2007-10-10 07:09
脑膜瘤.
作者: yuhongjun    时间: 2007-10-10 14:09
支持:脑膜瘤!
作者: 还珠格格    时间: 2007-10-10 15:46
支持:脑膜瘤!
作者: peibing    时间: 2007-10-10 16:17
还是考虑脑膜瘤
作者: 眼睛    时间: 2007-10-10 17:08
图片精致,支持脑膜瘤。
作者: nanjing    时间: 2007-10-10 17:49
支持脑膜瘤
作者: 代课学生    时间: 2007-10-10 17:55
首先考虑脑膜瘤。建议增强或mri检查进一步确诊。
作者: clj20    时间: 2007-10-10 18:08
支持脑膜瘤
作者: tao772    时间: 2007-10-10 18:30
脑膜瘤或生殖细胞瘤,建议mri.
作者: dyqct    时间: 2007-10-10 18:35
右额叶底部巨大等低混杂密度肿块,边界清楚,周围水肿轻度,明显占位效应。蝶鞍扩大,部分骨质破坏。
考虑脑膜瘤,建议增强扫描进一步检查。
作者: 天南地北    时间: 2007-10-10 18:44
标题: 回复:ct10001:f 29 岁
以下是引用dyqct在2007-10-10 10:35:00的发言:[br]右额叶底部巨大等低混杂密度肿块,边界清楚,周围水肿轻度,明显占位效应。蝶鞍扩大,部分骨质破坏。[br]考虑脑膜瘤,建议增强扫描进一步检查。[br][br][br][br]

作者: yangyingjun18    时间: 2007-10-10 18:55
说明一下不是垂体瘤的原因?
作者: 紫云陈剑    时间: 2007-10-10 18:58
标题: 回复:ct10001:f 29 岁
支持:脑膜瘤
作者: suxunbo    时间: 2007-10-10 18:59
可能是颅咽管瘤吧
作者: hszhoupeng    时间: 2007-10-10 19:53
肿瘤累及颅底前颅窝,部分层面见散在钙化,中心坏死。支持:脑膜瘤!
作者: liaizhi    时间: 2007-10-10 20:28
考虑鞍区脑膜瘤可能性大。
作者: zyyzzy    时间: 2007-10-10 22:49
蝶鞍受压吸收,可以排除室管膜瘤。肿瘤最大层面不在蝶鞍可以排除垂体瘤。支持脑膜瘤
作者: 宝天曼    时间: 2007-10-11 04:33
肿瘤累及颅底前颅窝,部分层面见散在钙化,中心坏死。
支持:脑膜瘤!
作者: dr.yang    时间: 2011-3-30 21:07
标题: Re:CT10001:F   29 岁
肿瘤累及颅底前颅窝,部分层面见散在钙化,中心坏死。支持:脑膜瘤!




欢迎光临 医影在线 (http://bbs.radida.com/bbs/) Powered by Discuz! X3.2