医影在线

标题: CT10010:女/24岁,癫痫一周,发作时间不固定. [打印本页]

作者: 憨哥    时间: 2007-10-10 21:27
标题: CT10010:女/24岁,癫痫一周,发作时间不固定.
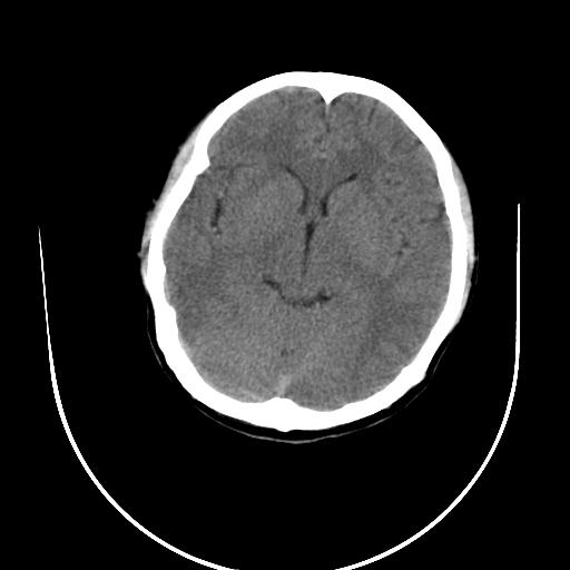
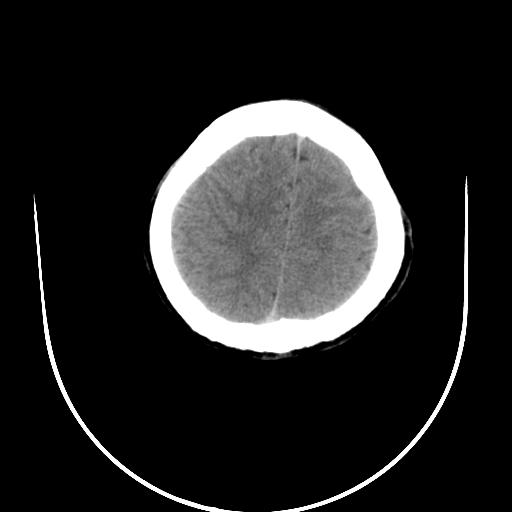
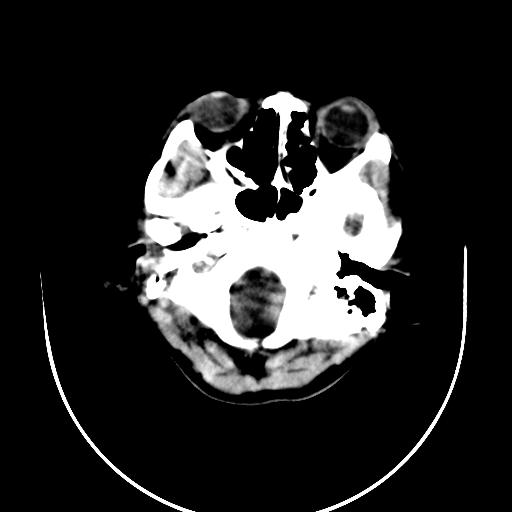
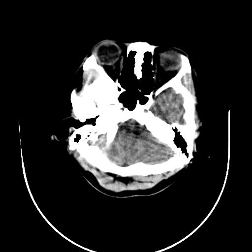
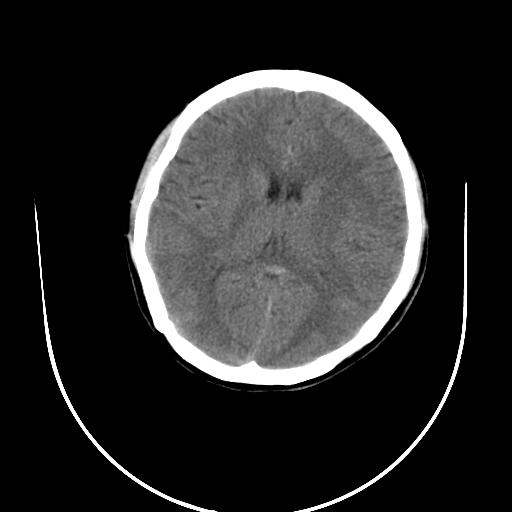
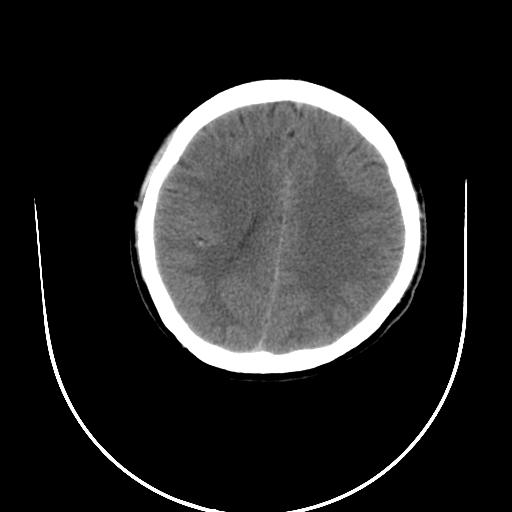
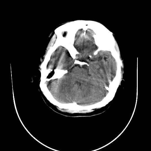
右侧额叶正常吗?
















[本贴已被 jiajie 于 2007-10-10 16:35:57 修改过]

作者: 同    时间: 2007-10-10 22:51
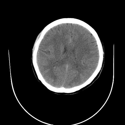
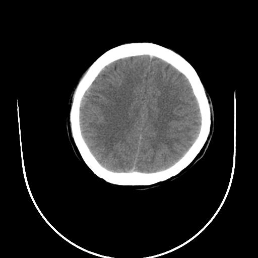
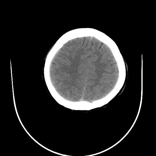
颅脑平扫未见异常.
作者: 晓杰    时间: 2007-10-10 23:31
未见异常
作者: zjzjr    时间: 2007-10-10 23:55
颅脑平扫未见异常.
作者: doc张    时间: 2007-10-10 23:59
右额叶镰旁饱满.
作者: 眼睛    时间: 2007-10-11 00:33
未见明显异常,有点偏。
作者: 紫云陈剑    时间: 2007-10-11 01:00
未见异常
作者: yuhongjun    时间: 2007-10-11 01:45
颅脑平扫未见异常.
作者: ljchenshiying    时间: 2007-10-11 02:40
颅脑平扫未见异常.
作者: 天南地北    时间: 2007-10-11 03:27
颅脑平扫未见异常.
作者: luochengyi    时间: 2007-10-11 03:35
颅脑平扫未见异常.
作者: ydx_74    时间: 2007-10-11 03:51
all right
作者: xclzq_910    时间: 2007-10-11 03:53
颅脑平扫未见异常
作者: 宝天曼    时间: 2007-10-11 04:03
颅脑平扫未见异常.
作者: 随缘的人    时间: 2007-10-11 04:21
颅脑平扫未见异常.
作者: 蓝星    时间: 2007-10-11 04:27
颅脑平扫未见异常
作者: wqs571018    时间: 2007-10-11 04:28
颅脑平扫是未见异常.
作者: xulianj    时间: 2007-10-11 04:48
未见明显异常
作者: 余辉    时间: 2007-10-11 04:58
右侧外侧沟?中央沟?可能有问题,不知以前有没有癫痫过,最好是增强下,排除局部血管畸形等病变
作者: nanjing    时间: 2007-10-11 05:10
颅脑平扫未见异常
作者: 拾荒者    时间: 2007-10-11 05:50
倒数第6幅图中线结构有点偏,而侧脑室额角未见异常,可结合增强扫描。
作者: 朱亮    时间: 2007-10-11 06:31
颅脑平扫未见异常
作者: 52yingxiang    时间: 2007-10-11 06:36
颅脑平扫未见异常




欢迎光临 医影在线 (http://bbs.radida.com/bbs/) Powered by Discuz! X3.2