医影在线
标题: CT10078:椎间盘 [打印本页]
作者: sdw662 时间: 2007-10-15 16:23
标题: CT10078:椎间盘
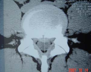
本人的片子,腰腿痛多年,时轻时重。请各位老师发表高见!
















[本贴已被 jiajie 于 2007-10-15 12:56:08 修改过]
作者: qiushi 时间: 2007-10-15 16:30
1.l4~5间盘膨出伴突出(中央型)
2.l5-s1后纵韧带钙化.
作者: mutour 时间: 2007-10-15 16:40
正确!
作者: 王仕学 时间: 2007-10-15 16:41
l4~5间盘膨出伴突出(中央型)
作者: gaoshengjiang 时间: 2007-10-15 17:51
1.l4~5间盘膨出伴突出(中央型)
2.l5-s1后纵韧带钙化.
zhichi
作者: zjzjr 时间: 2007-10-15 18:14
1.l4~5间盘膨出伴突出(中央型)
2.l5-s1后纵韧带钙化.
作者: abzzys 时间: 2007-10-15 18:50
标题: 回复:椎间盘
以下是引用qiushi在2007-10-15 8:30:00的发言:[br]1.l4~5间盘膨出伴突出(中央型)[br]2.l5-s1后纵韧带钙化.
作者: zsl6918 时间: 2007-10-15 19:13
诊断比较明确,注意保养自己吧
作者: shenhs 时间: 2007-10-15 20:16
标题: 回复:椎间盘
以下是引用qiushi在2007-10-15 8:30:00的发言:[br]1.l4~5间盘膨出伴突出(中央型)[br]2.l5-s1后纵韧带钙化.
作者: 随缘的人 时间: 2007-10-15 20:39
1.l4~5间盘膨出伴突出(中央型)
2.l5-s1后纵韧带钙化.
作者: CTQIU 时间: 2007-10-15 20:44
支持
作者: 天南地北 时间: 2007-10-15 20:53
标题: 回复:椎间盘
以下是引用qiushi在2007-10-15 8:30:00的发言:[br]1.l4~5间盘膨出伴突出(中央型)[br]2.l5-s1后纵韧带钙化.
作者: zyyzzy 时间: 2007-10-15 21:04
1.l4~5间盘膨出伴突出(中央型)
2.l5-s1后纵韧带钙化.
作者: nanjing 时间: 2007-10-15 21:07
标题: 回复:ct10078:椎间盘
以下是引用zsl6918在2007-10-15 11:13:00的发言:[br]诊断比较明确,注意保养自己吧
作者: 同 时间: 2007-10-15 22:16
标题: 回复:ct10078:椎间盘
以下是引用qiushi在2007-10-15 8:30:00的发言:[br]1.l4~5间盘膨出伴突出(中央型)[br]2.l5-s1后纵韧带钙化.
作者: jiangjing 时间: 2007-10-15 22:44
1.l4~5间盘膨出伴突出(中央型)
2.l5-s1后纵韧带钙化.
作者: wangjj555 时间: 2007-10-15 23:35
测量应该测上一层面,。支持诊断。
作者: wqs571018 时间: 2007-10-15 23:44
支持诸位!
作者: 卜一 时间: 2007-10-16 00:08
1.l4~5间盘膨出伴突出(中央型)
2.l5-s1后纵韧带钙化.
支持!
作者: ydx_74 时间: 2007-10-16 00:19
.1。l4~5间盘膨出伴突出(中央型)
2.l5-s1后纵韧带钙化.
作者: wansheng 时间: 2007-10-16 02:04
1.l4~5间盘膨出伴突出(中央型)
2.l5-s1后纵韧带钙化.
支持!
作者: luochengyi 时间: 2007-10-16 02:14
标题: 回复:ct10078:椎间盘
以下是引用qiushi在2007-10-15 8:30:00的发言:[br]1.l4~5间盘膨出伴突出(中央型)[br]2.l5-s1后纵韧带钙化.
作者: 拾荒者 时间: 2007-10-16 06:14
1.l4~5间盘膨出伴突出(中央型)
2.l5-s1后纵韧带钙化.
支持!
作者: ring002 时间: 2007-10-16 07:36
.l4~5间盘膨出伴突出(中央型)
2.l5-s1后纵韧带钙化.
作者: yangwq 时间: 2007-10-16 07:59
就是腰痛吧,腰围子护护
作者: yuhongjun 时间: 2007-10-16 13:58
1.l4~5间盘膨出伴突出(中央型)
2.l5-s1后纵韧带钙化.
作者: qiuleiyu 时间: 2007-10-16 18:29
标题: 回复:ct10078:椎间盘
以下是引用拾荒者在2007-10-15 22:14:00的发言:[br]1.l4~5间盘膨出伴突出(中央型)[br]2.l5-s1后纵韧带钙化. [br] [br] [br]支持!
| 欢迎光临 医影在线 (http://bbs.radida.com/bbs/) |
Powered by Discuz! X3.2 |