医影在线

标题: CT10080:F76Y,各位老师发表高见!!! [打印本页]

作者: 好好学习,    时间: 2007-10-15 19:29
标题: CT10080:F76Y,各位老师发表高见!!!



































[本贴已被 jiajie 于 2007-10-15 12:58:36 修改过]

作者: psh    时间: 2007-10-15 19:38
良性!
作者: shenhs    时间: 2007-10-15 20:12
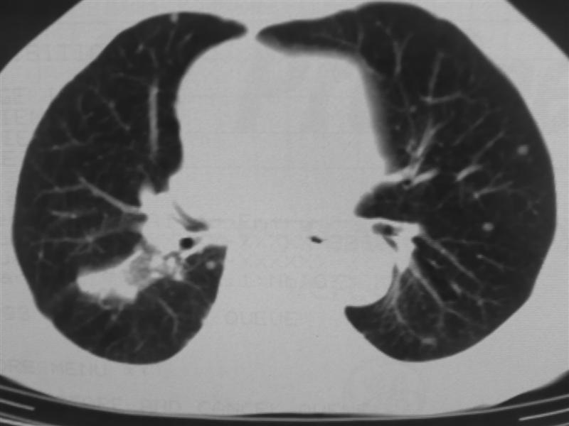
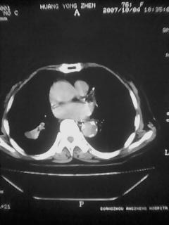
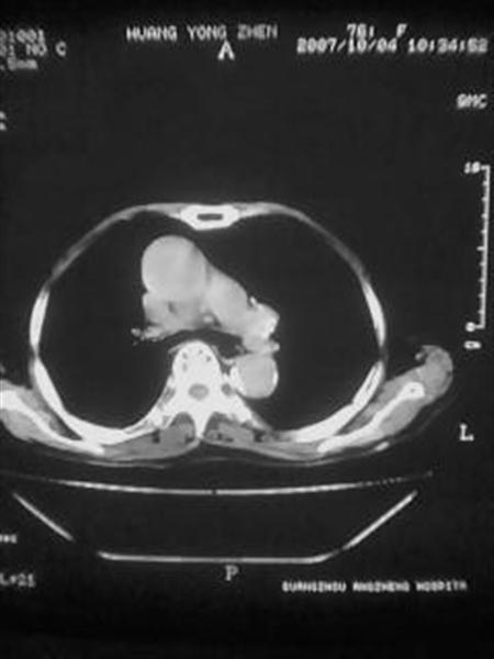
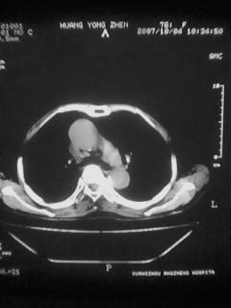
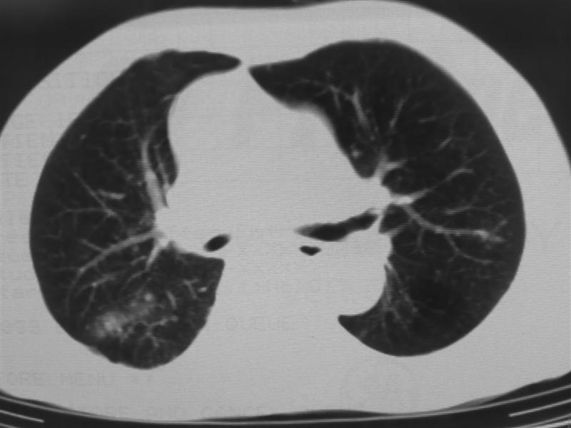
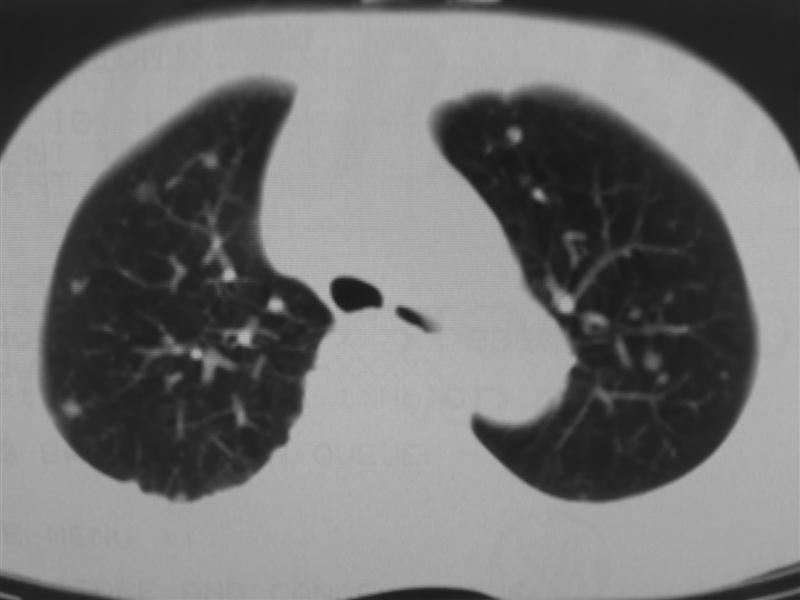
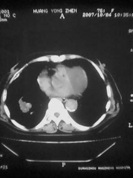
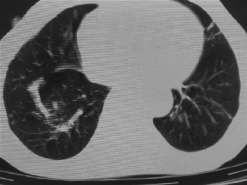
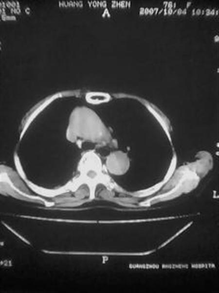
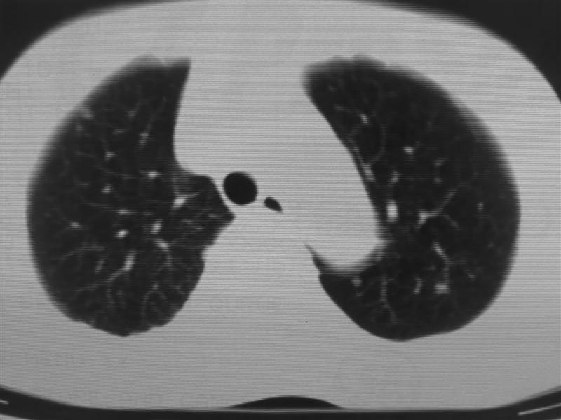
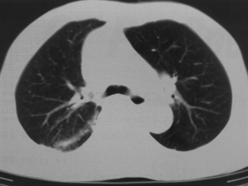
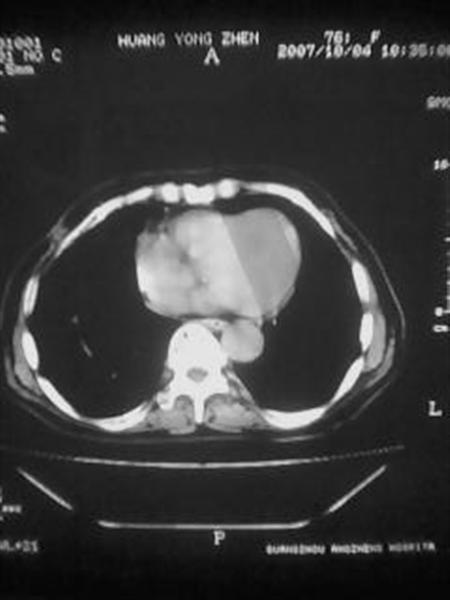
考虑肺癌胸膜转移可能性大。
作者: 随缘的人    时间: 2007-10-15 20:36
考虑肺癌可能性大。
作者: qiushi    时间: 2007-10-15 20:48
考虑肺癌,肺、胸膜转移可能性大.
作者: 天南地北    时间: 2007-10-15 20:51
标题: 回复:各位老师发表高见!!!
以下是引用qiushi在2007-10-15 12:48:00的发言:[br]考虑肺癌,肺、胸膜转移可能性大.

作者: nanjing    时间: 2007-10-15 21:05
标题: 回复:ct10080:f76y,各位老师发表高见!!!
以下是引用qiushi在2007-10-15 12:48:00的发言:[br]考虑肺癌,肺、胸膜转移可能性大.

作者: 王仕学    时间: 2007-10-15 21:14
怎么没有病史呢?支持:考虑肺癌,肺、胸膜转移可能性大.
作者: zjzjr    时间: 2007-10-15 21:49
考虑肺癌,肺、胸膜转移可能性大.
作者: 同    时间: 2007-10-15 22:21
考虑肺癌,肺,胸膜转移可能性大.
作者: jiangjing    时间: 2007-10-15 22:35
支持右下肺癌伴肺内转移
作者: wangdch2008    时间: 2007-10-15 22:56
右下肺周围型肺癌伴双肺右侧叶间 胸膜及右肺门淋巴结转移
作者: 卜一    时间: 2007-10-16 00:05
考虑:肺癌伴肺、胸膜 纵隔淋巴结转移可能性大!
作者: ydx_74    时间: 2007-10-16 00:15
肺癌伴肺、胸膜转移
作者: 刘振江    时间: 2007-10-16 01:13
支持肺癌并肺,胸膜转移。
作者: wy232326    时间: 2007-10-16 01:30
支持考虑肺癌,肺、胸膜转移可能性大.
作者: luochengyi    时间: 2007-10-16 02:19
考虑肺癌,肺、胸膜转移.
作者: dglq    时间: 2007-10-16 04:22
肺癌肺内转移。
作者: zhw974247    时间: 2007-10-16 04:46
支持肺癌,肺、胸膜转移可能性大.
作者: 余辉    时间: 2007-10-16 05:31
考虑肺癌,肺、胸膜转移可能性大.
作者: 拾荒者    时间: 2007-10-16 06:21
考虑肺癌,肺、胸膜转移可能性大。病史一定要尽量完整。
作者: yangwq    时间: 2007-10-16 06:26
肺癌、肺及胸膜转移可能性大;tb不除外
作者: ring002    时间: 2007-10-16 07:18
有病史吗,应该是肺癌半转移吧




欢迎光临 医影在线 (http://bbs.radida.com/bbs/) Powered by Discuz! X3.2