医影在线

标题: CT10087:女,29岁,多发肿瘤样病变。 [打印本页]

作者: dbndp    时间: 2007-10-16 16:05
标题: CT10087:女,29岁,多发肿瘤样病变。
(结果公布:http://www.radida.com/bbs/forum.php?mod=viewthread&tid=31077)
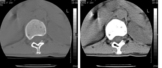
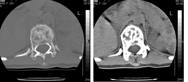
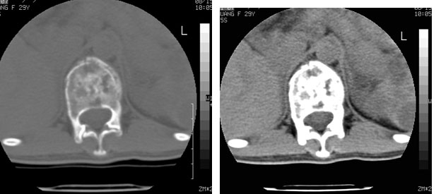
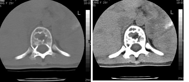
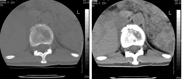
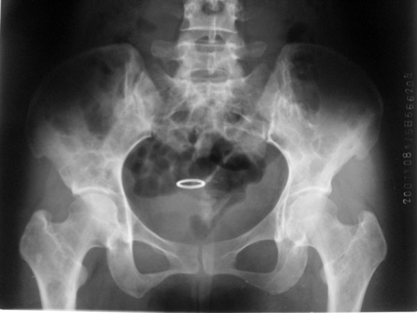
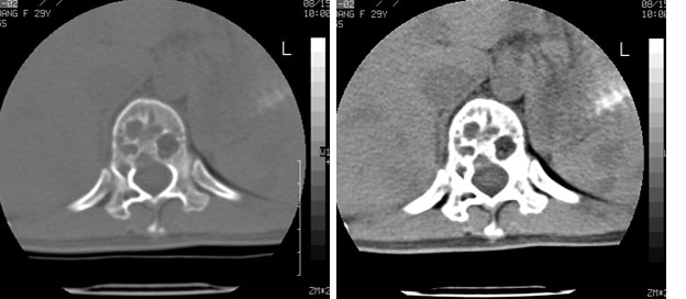
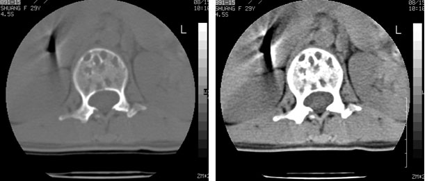
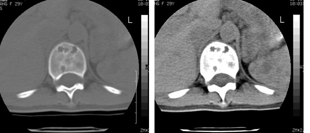
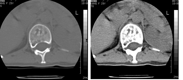
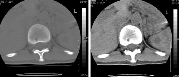
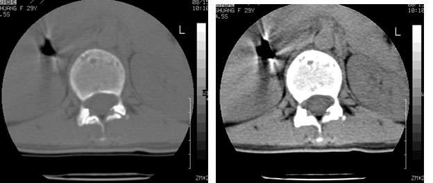
车祸致t12压缩性骨折,行ct扫描意外发现椎体多发肿瘤样病变,建议加拍骨盆平片,患者平常无症状。


















[本贴已被 jiajie 于 2007-11-6 14:47:23 修改过]

作者: 子期    时间: 2007-10-16 17:17
多发性骨髓瘤??
作者: 王仕学    时间: 2007-10-16 17:28
骨髓瘤
作者: 小初学者    时间: 2007-10-16 17:37
症状和影像表现都不符合骨髓瘤表现(多骨普遍骨质疏松,穿凿样骨质破坏周围无硬化)
考虑多发血管瘤
作者: 天南地北    时间: 2007-10-16 18:03
支持多发骨髓瘤
t12压缩性骨折
作者: gaoshengjiang    时间: 2007-10-16 18:10
骨髓瘤可能性大。多发血管瘤多部位同时发病较罕见。
作者: qiuleiyu    时间: 2007-10-16 18:25
甲状旁腺功能亢进伴棕色瘤形成.建议生化检查.及骨髓穿刺除外骨髓瘤.
作者: 卜一    时间: 2007-10-16 18:27
支持:多发骨髓瘤!
作者: jinning    时间: 2007-10-16 18:34
支持:多发骨髓瘤!
作者: LIAOQIANG    时间: 2007-10-16 18:57
考虑骨髓瘤可能性大。
作者: hszhoupeng    时间: 2007-10-16 19:19
考虑多发血管瘤!
作者: liaizhi    时间: 2007-10-16 19:32
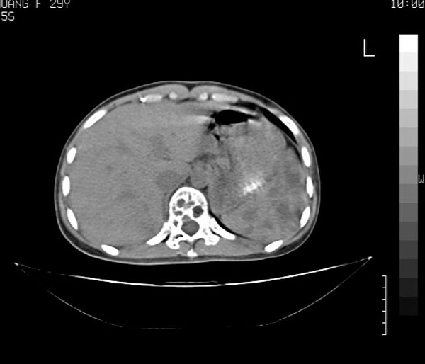
考虑多发骨髓瘤可能性大。(骨松质内弥漫性分布,边缘清晰的溶骨性破坏,无硬化。睥脏增大,其内有多个圆形底密度影。淋巴瘤不除。
作者: clj20    时间: 2007-10-16 19:33
多发性骨髓瘤
作者: shenhs    时间: 2007-10-16 19:53
支持:多发骨髓瘤!
作者: dbndp    时间: 2007-10-16 19:53
标题: 回复:女,29岁,多发肿瘤样病变。
患者已到上级医院检查,相关结果将近日公布。
作者: doc张    时间: 2007-10-16 20:30
脾及椎体多发占位病变.
作者: zyyzzy    时间: 2007-10-16 20:51
脾脏及椎体多发占位病变。首先考虑淋巴瘤,其次骨髓瘤。建议查本周氏蛋白
作者: 刘振江    时间: 2007-10-16 21:17
骨髓瘤可能性大,不排除血管瘤。
作者: 同    时间: 2007-10-16 22:16
支持多发骨髓瘤.
作者: 朱亮    时间: 2007-10-16 22:35
支持多发骨髓瘤
作者: 紫云陈剑    时间: 2007-10-16 22:38
1/考虑甲状旁腺功能亢进伴棕色瘤形成.建议生化检查.及骨髓穿刺除外骨髓瘤。以前见过类似一例,但最终没有得到病理结果~~~可惜啦。
2/t12压缩性骨折。脾挫裂伤(建议继续扫描或b超检查)
作者: lnhsdm    时间: 2007-10-16 23:22
支持多发骨髓瘤
作者: wqs571018    时间: 2007-10-17 00:26
骨髓瘤可能性大。
作者: jiazhe    时间: 2007-10-17 00:33
支持:多发骨髓瘤!
作者: sjm512    时间: 2007-10-17 00:40
血管瘤不能排除
作者: qingyuan    时间: 2007-10-17 00:47
1:胸腰椎多发破坏伴骨折,近似穿凿样,考虑骨髓瘤,但有好多不符只出1、发病年龄小、女性,2、病变似有硬化环。2:淋巴瘤可能性大,骨及脾脏均有改变(脾脏改变似与外伤关系不大)建议密切结合临床及相关检验进一步诊断,期待结果。
作者: zjzjr    时间: 2007-10-17 00:52
支持:多发骨髓瘤!
作者: 孙富海    时间: 2007-10-17 03:58
甲状旁腺功能亢进所致骨质改变,建议血液生化检查。
作者: ring002    时间: 2007-10-17 03:59
应该不是骨髓瘤,建议进一步检查
作者: 宝天曼    时间: 2007-10-17 03:59
支持多发骨髓瘤
t12压缩性骨折
作者: xulianj    时间: 2007-10-17 04:25
支持多发骨髓瘤
作者: 拾荒者    时间: 2007-10-17 04:47
椎体多发性溶骨性破坏,部分融合,椎旁无软组织肿块、椎间隙正常,t12 压缩,脾脏增大,其内示多发低密度影,首先考虑多发性骨髓瘤。病人较年轻,平素无异常,转移瘤可能性小。
作者: ZHANGZHONGSHOU    时间: 2007-11-7 05:19
多发破坏区,周边硬化,支持低毒力感染性疾病
作者: ydx_74    时间: 2007-11-7 06:13
症状和影像表现都不符合骨髓瘤表现(多骨普遍骨质疏松,穿凿样骨质破坏周围无硬化)
作者: wangzhengyuan    时间: 2007-11-7 06:41
骨髓瘤可能性大




欢迎光临 医影在线 (http://bbs.radida.com/bbs/) Powered by Discuz! X3.2