医影在线
标题: CT10103:女性, 44岁,请大家看看? [打印本页]
作者: syfszcw 时间: 2007-10-17 20:06
标题: CT10103:女性, 44岁,请大家看看?
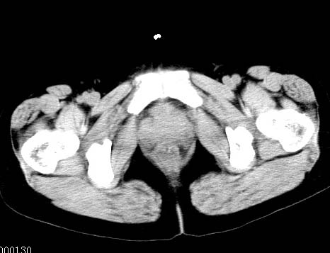
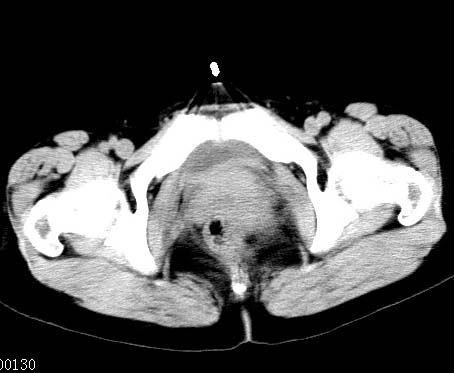
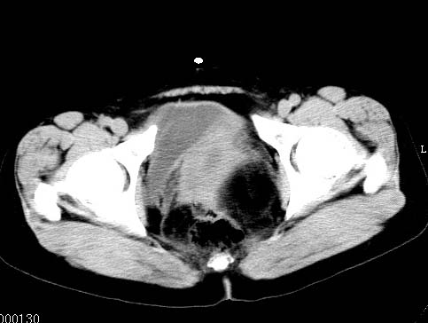
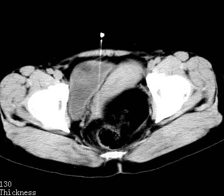
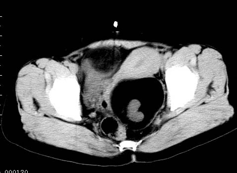
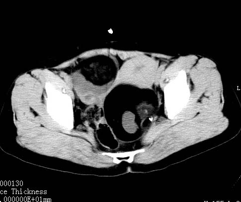
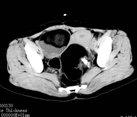
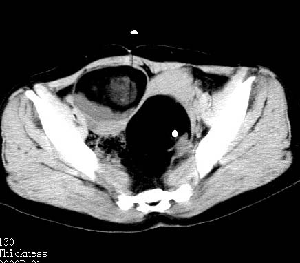
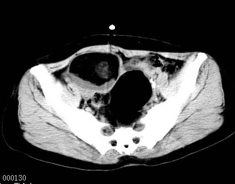
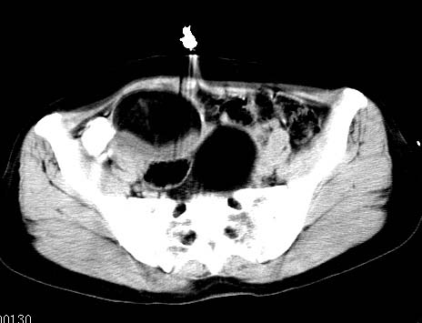
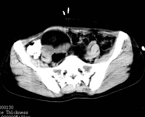
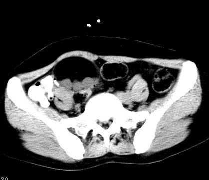
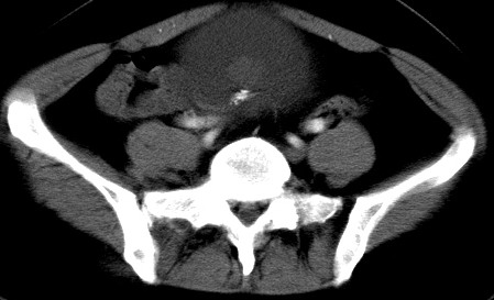
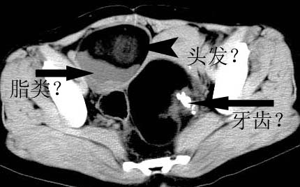
女性 病人 44岁 盆腔 下腹部痛1天!













[本贴已被 jiajie 于 2007-10-17 14:36:02 修改过]
作者: 天南地北 时间: 2007-10-17 21:16
盆腔多发畸胎瘤
作者: qiushi 时间: 2007-10-17 21:37
标题: 回复:女性 病人 44岁,请大家看看?
考虑多发畸胎瘤
作者: jiangjing 时间: 2007-10-17 21:37
盆腔内低密度为主混杂等密度及少许囊样与班状钙化影,如果做了肠道准备就好了。支持畸胎瘤。当然做mri会更好
作者: zjzjr 时间: 2007-10-17 21:39
典型的双侧附件畸胎瘤.
作者: guoke 时间: 2007-10-17 21:54
考虑畸胎瘤
作者: wangjj555 时间: 2007-10-17 22:16
考虑多发畸胎瘤
作者: 南沙 时间: 2007-10-17 22:27
考虑多发畸胎瘤
作者: 旭阳 时间: 2007-10-17 22:40
标题: 回复:ct10103:女性, 44岁,请大家看看?
以下是引用zjzjr在2007-10-17 13:39:00的发言:[br]典型的双侧附件畸胎瘤.
作者: yangzhenghai 时间: 2007-10-17 23:02
支持双侧附件畸胎瘤。
作者: 卜一 时间: 2007-10-17 23:51
典型的双侧附件多发畸胎瘤!支持!
作者: luochengyi 时间: 2007-10-18 02:32
考虑多发畸胎瘤
作者: zycjw 时间: 2007-10-18 03:30
考虑畸胎瘤.
作者: 平安是福 时间: 2007-10-18 03:34
支持多发性畸胎瘤
作者: 刘振江 时间: 2007-10-18 03:54
畸胎瘤。
作者: 同 时间: 2007-10-18 04:08
典型的双侧附件畸胎瘤.
作者: 爱的阶梯 时间: 2007-10-18 04:13
标题: 回复:ct10103:女性, 44岁,请大家看看?
以下是引用yangzhenghai在2007-10-17 15:02:00的发言:[br]支持双侧附件畸胎瘤。
作者: xulianj 时间: 2007-10-18 04:17
多发畸胎瘤
作者: qiuleiyu 时间: 2007-10-18 04:37
支持各位大侠观点.病人有急性腹痛,需除外有扭转可能.建议mri.
作者: 求知若渴 时间: 2007-10-18 05:39
典型的双侧附件畸胎瘤
作者: 天山影士 时间: 2007-10-18 06:18
双侧附件畸胎瘤。
作者: 王仕学 时间: 2007-10-18 16:04
支持多发性畸胎瘤
作者: 宝天曼 时间: 2007-10-19 05:13
标题: 回复:ct10103:女性, 44岁,请大家看看?
以下是引用qiushi在2007-10-17 13:37:00的发言:[br]考虑多发畸胎瘤
作者: ysxyy 时间: 2007-10-19 05:31
典型,支持多发畸胎瘤;
作者: cal362 时间: 2007-10-19 07:48
调窗看看,好像是畸胎瘤。
作者: 拾荒者 时间: 2007-10-19 08:05
支持盆腔多发畸胎瘤。
作者: happyverycd 时间: 2007-10-19 15:25
标题: 回复:ct10103:女性, 44岁,请大家看看?
本贴与下图(http://www.radida.com/radinet/read.php?tid=30063)是否有相象之处?

所以,考虑同一种疾病----------畸胎瘤。
作者: psh 时间: 2007-10-19 15:43
多发性畸胎瘤。
作者: zyx168 时间: 2007-10-19 20:58
多发畸胎瘤
作者: qc80012345 时间: 2007-10-19 22:29
盆腔多发畸胎瘤,较为典型。
作者: ydx_74 时间: 2007-11-7 06:05
盆腔多发畸胎瘤,较为典型
| 欢迎光临 医影在线 (http://bbs.radida.com/bbs/) |
Powered by Discuz! X3.2 |