




















以下是引用天南地北在2007-10-17 18:30:00的发言:[br][br]

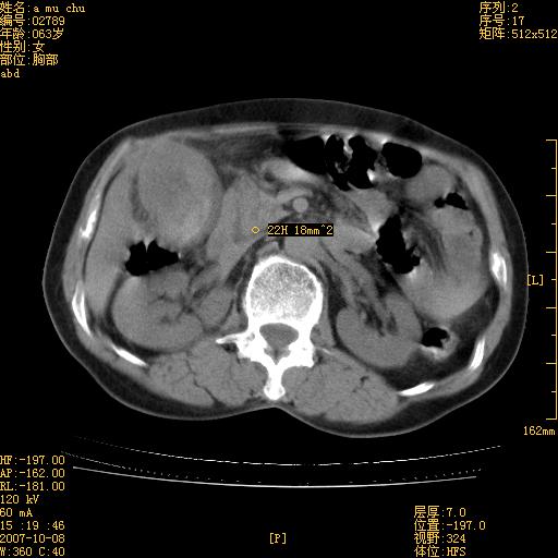
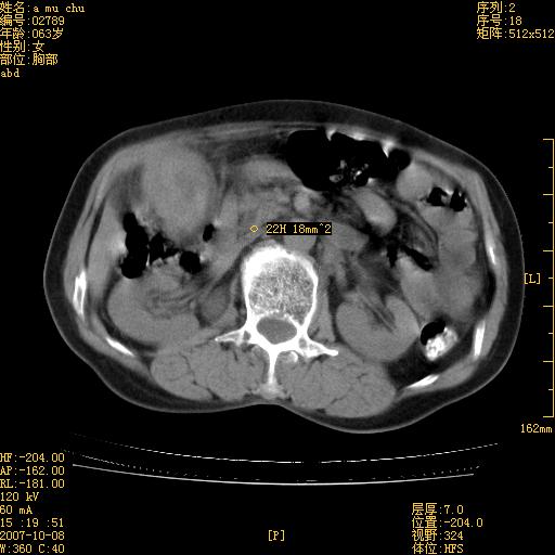
以下是引用卜一在2007-10-17 19:12:00的发言:[br]无增强,很难说!高度可疑:胰头癌?胆囊病变?肝左叶占位?
以下是引用卜一在2007-10-17 19:12:00的发言:[br]无增强,很难说!高度可疑:胰头癌?胆囊病变?肝左叶占位?
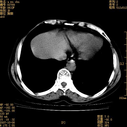
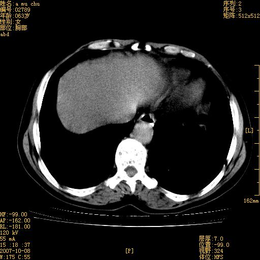
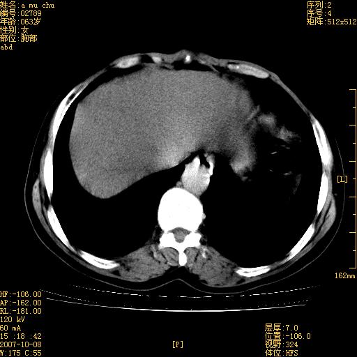
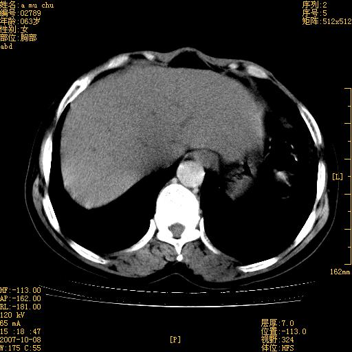
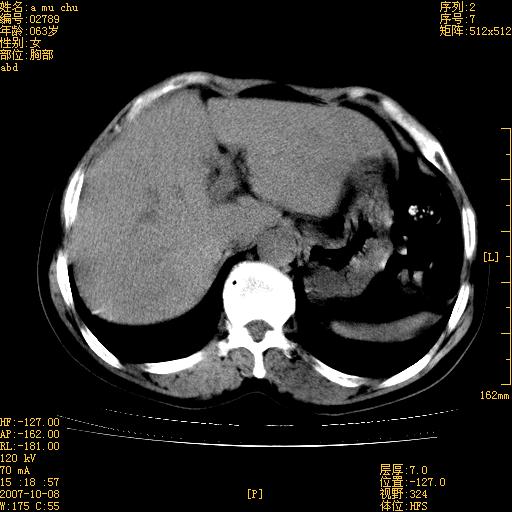
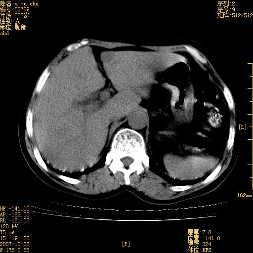
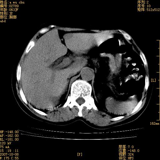
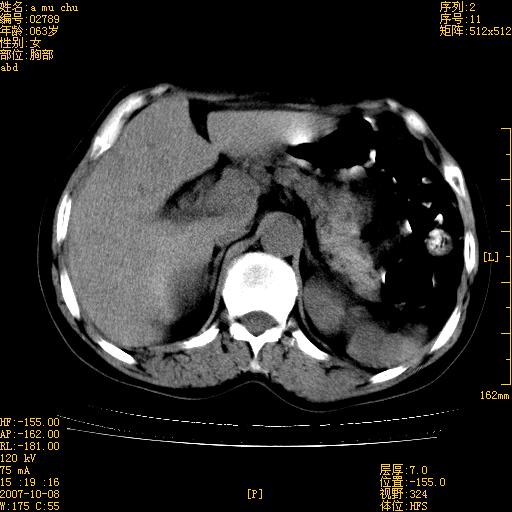
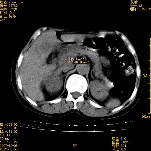
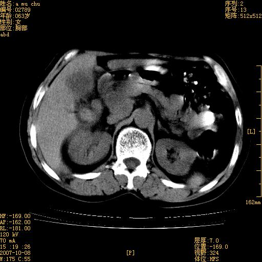
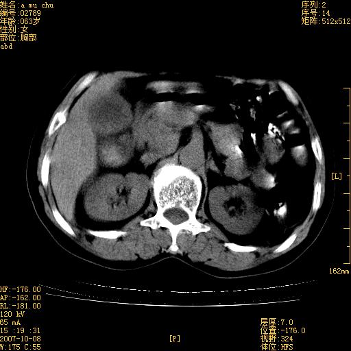
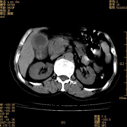
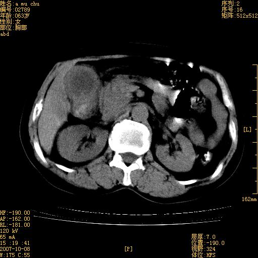
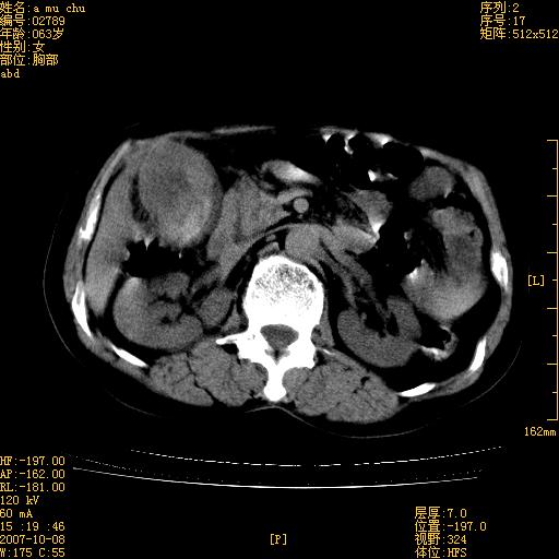
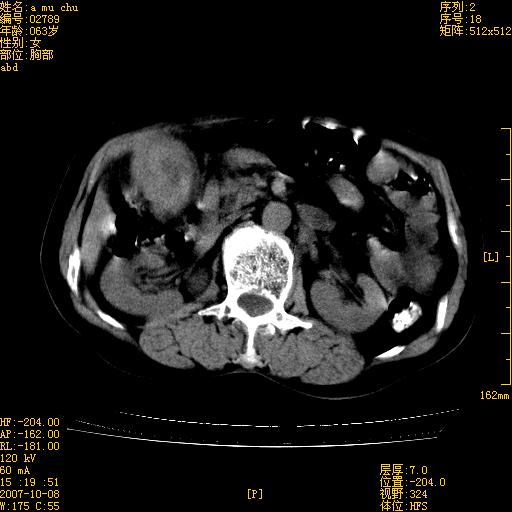
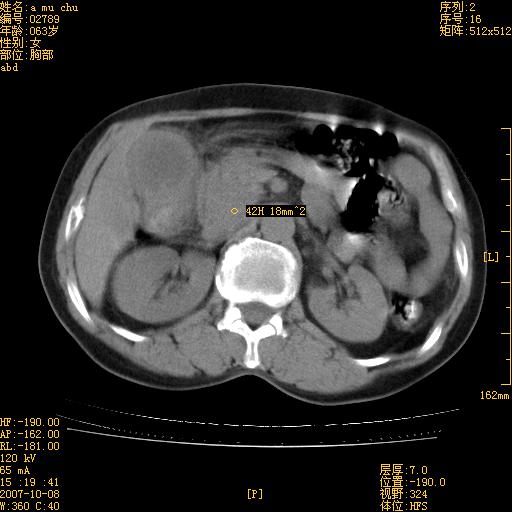
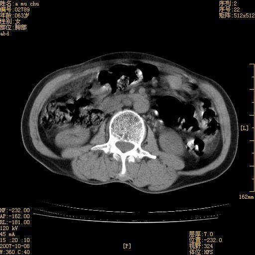
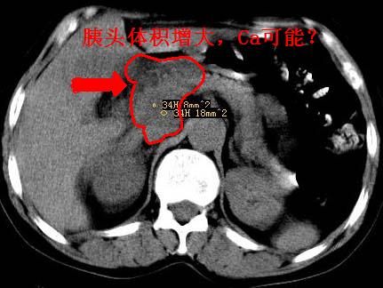
以下是引用王维浦在2007-10-17 21:02:00的发言:[br]胆囊增大,囊壁明显不规则增厚,邻近肝组织浸润,肝内外胆管无扩张。诊断:胆囊ca;[br]胰头软组织肿块影,考虑是由转移肿大的胰后淋巴结、没有肠道准备的十二指肠及胰头共同形成。[br]
以下是引用王维浦在2007-10-17 21:02:00的发言:[br]胆囊增大,囊壁明显不规则增厚,邻近肝组织浸润,肝内外胆管无扩张。诊断:胆囊ca;[br]胰头软组织肿块影,考虑是由转移肿大的胰后淋巴结、没有肠道准备的十二指肠及胰头共同形成。[br]
以下是引用zhangzexing在2007-10-18 7:13:00的发言:[br]支持胰头占位,慢性胆囊炎. 2.肝左叶前外侧段占位,血管瘤?建议增强
以下是引用影像实习生在2007-10-17 19:49:00的发言:[br]支持胰头占位,慢性胆囊炎. 2.肝左叶前外侧段占位,血管瘤?建议增强.
以下是引用刘振江在2007-10-17 19:42:00的发言:[br]没有增强,胰头癌?胆囊及肝左叶占位?
以下是引用影像实习生在2007-10-17 19:49:00的发言:[br]支持胰头占位,慢性胆囊炎. 2.肝左叶前外侧段占位,血管瘤?建议增强.
| 欢迎光临 医影在线 (http://bbs.radida.com/bbs/) | Powered by Discuz! X3.2 |