医影在线

标题: CT10133:F、74岁,反复血尿10天。 [打印本页]

作者: 王仕学    时间: 2007-10-21 16:28
标题: CT10133:F、74岁,反复血尿10天。

















[本贴已被 jiajie 于 2007-10-21 22:14:01 修改过]

作者: 52yingxiang    时间: 2007-10-21 16:34
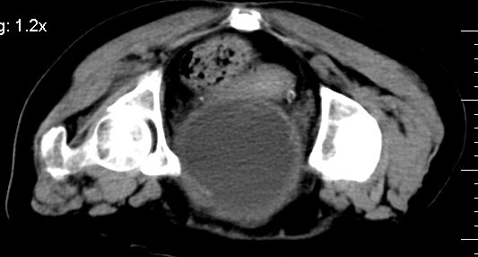
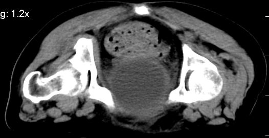
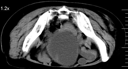
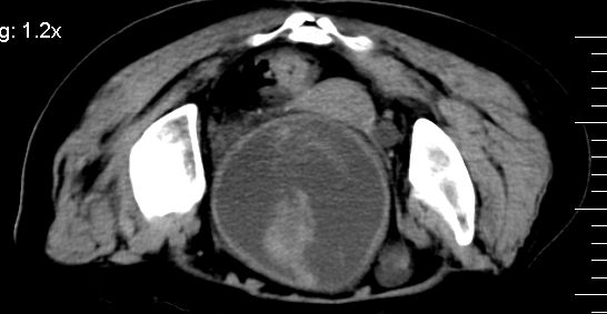
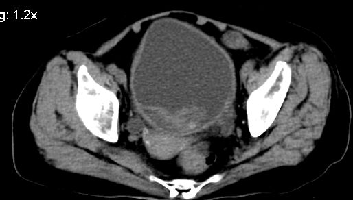
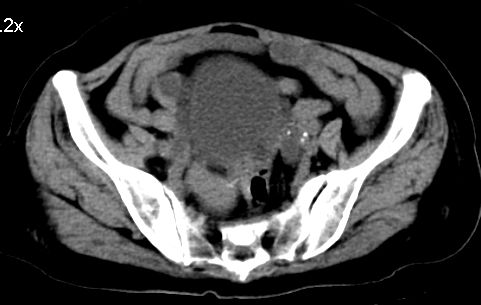
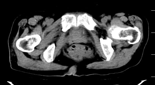
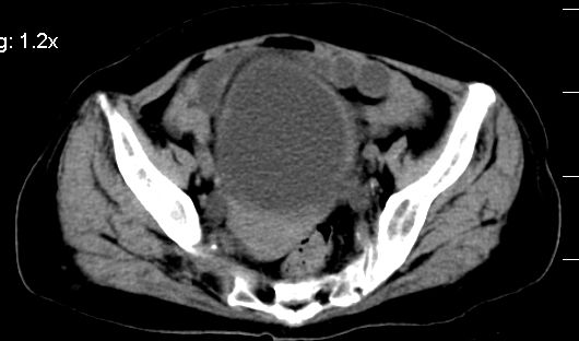
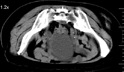
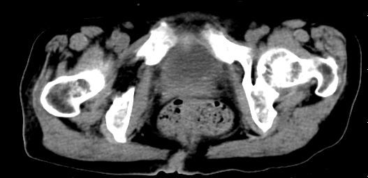
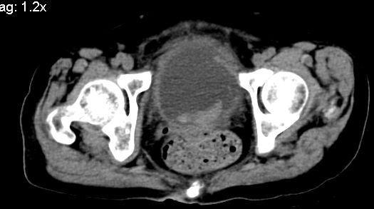
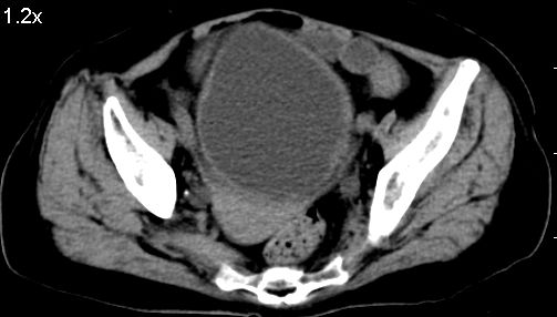
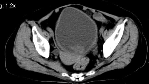
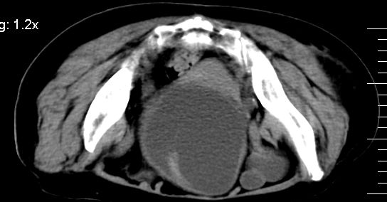
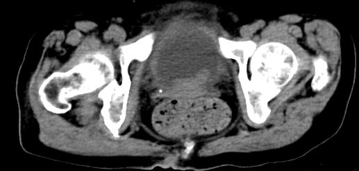
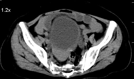
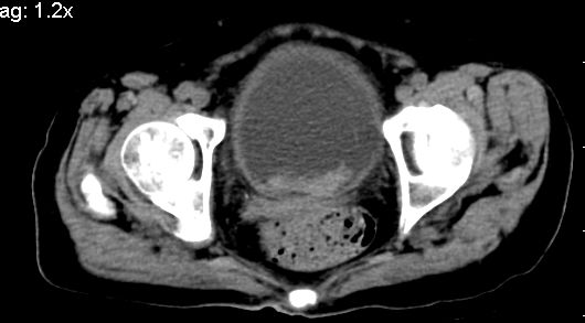
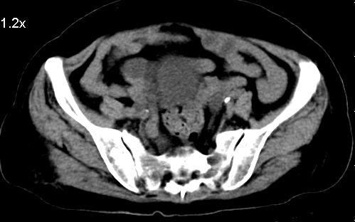
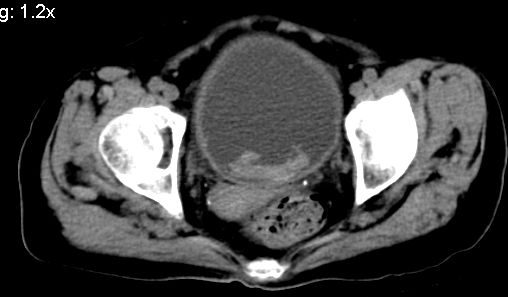
膀胱充盈可,壁光滑厚薄尚均匀,其内下方可见不规则的致密影,建议做膀胱镜检查
作者: shenhs    时间: 2007-10-21 16:55
膀胱癌突破浆膜可能性大
作者: zjzjr    时间: 2007-10-21 17:01
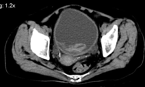
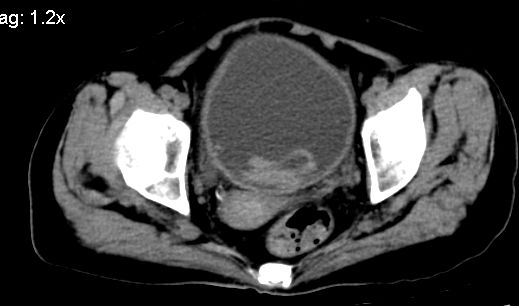
考虑膀胱癌可能性大伴双侧输尿管下端扩张.
作者: wj2039    时间: 2007-10-21 17:03
膀胱后壁见不规则致密影,我们遇到这样的病人都再做一次俯卧位扫描;排出膀胱内凝血块。
作者: 同    时间: 2007-10-21 17:14
考虑膀胱癌可能性大伴双侧输尿管下端扩张.
作者: qiushi    时间: 2007-10-21 18:19
1.膀胱后壁见不规则致密影,占位?膀胱内凝血块?建议俯卧位扫描、膀胱镜检查.
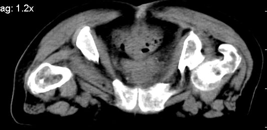
2.双侧输尿管下段扩张.
作者: 天南地北    时间: 2007-10-21 20:43
标题: 回复:f、74岁,反复血尿10天。
以下是引用qiushi在2007-10-21 10:19:00的发言:[br]1.膀胱后壁见不规则致密影,占位?膀胱内凝血块?建议俯卧位扫描、膀胱镜检查.[br]2.双侧输尿管下段扩张.

作者: zsl6918    时间: 2007-10-21 20:50
膀胱三角区不规整软组织改变,双侧输尿管扩张,所以占位性病变肯定首先考虑,建议改变体位扫描除外游离血块影,但老年人出血原因一定要查明。
作者: 王仕学    时间: 2007-10-21 21:53
标题: 回复:f、74岁,反复血尿10天。
补充一下,谢谢提醒!










作者: zxczxc    时间: 2007-10-21 22:57
膀胱癌?
膀胱内血肿?
作者: xulianj    时间: 2007-10-22 00:03
1.膀胱后壁见不规则致密影,随体位改变,为膀胱内凝血块;
2.双侧输尿管下段扩张.输屎管结石可能大。建议作进一步检查。
作者: wqs571018    时间: 2007-10-22 00:58
1.膀胱后壁见不规则致密影,随体位改变,为膀胱内凝血块;
2.双侧输尿管下段扩张.输屎管结石可能大。  
3、教育增强或进步一检查。
作者: 朱亮    时间: 2007-10-22 01:04
双侧输尿管下端扩张,并膀胱内血凝块 输尿管下端结石
作者: 拾荒者    时间: 2007-10-23 05:23
1.膀胱后壁见不规则致密影,随体位改变,为膀胱内凝血块;
2.双侧输尿管下段扩张,临床有血尿病史,建议进一步检查,找出血原因。
作者: huahj123    时间: 2007-10-23 06:45
标题: 回复:ct10133:f、74岁,反复血尿10天。
以下是引用朱亮在2007-10-21 17:04:00的发言:[br]双侧输尿管下端扩张,并膀胱内血凝块 输尿管下端结石





欢迎光临 医影在线 (http://bbs.radida.com/bbs/) Powered by Discuz! X3.2