医影在线

标题: CT10137:男 55岁,上腹部CT平扫 [打印本页]

作者: 同    时间: 2007-10-21 17:26
标题: CT10137:男 55岁,上腹部CT平扫
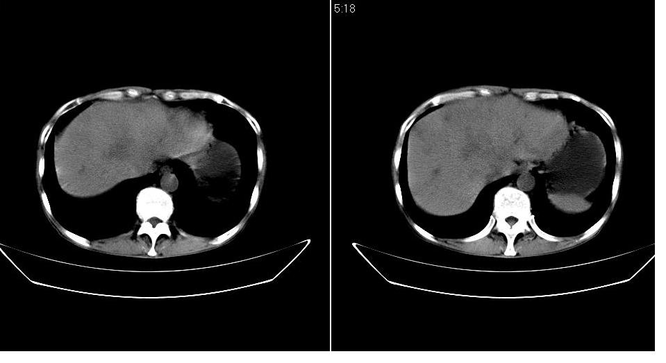
男 55岁,黄染二十余天,无明显腹疼及发热,病人拒绝增强,因没钱.











[本贴已被 jiajie 于 2007-10-21 22:16:44 修改过]

作者: qiushi    时间: 2007-10-21 18:01
考虑壶腹周围ca办阻塞性胆道系统扩张、肝转移。 强烈要求增强!
                 胃肠道准备欠佳
作者: 王仕学    时间: 2007-10-21 19:06
考虑胰头ca伴阻塞性胆道系统扩张、肝转移。建议增强!
作者: zjzjr    时间: 2007-10-21 19:14
考虑胰头癌伴肝门部淋巴结转移及胆管扩张或是肝门部胆管癌伴胰头周围淋巴结转移.
作者: dr.whx    时间: 2007-10-21 20:18
考虑胰头癌伴肝门部淋巴结转移、肝脏转移及胆管扩张。
作者: 紫气东来    时间: 2007-10-21 20:28
标题: 回复:上腹部ct平扫
以下是引用dr.whx在2007-10-21 12:18:00的发言:[br][br] 考虑胰头癌伴肝门部淋巴结转移、肝脏转移及胆管扩张。

同意!!
作者: zxczxc    时间: 2007-10-21 22:36
胰头癌。
作者: liliqun2000    时间: 2007-10-21 22:55
考虑胰头癌伴肝门部淋巴结转移、肝脏转移及胆管扩张。
作者: xulianj    时间: 2007-10-21 23:53
胰头ca伴肝内转移。
作者: wangdch2008    时间: 2007-10-22 06:08
考虑胰头癌伴肝门部淋巴结转移、肝脏转移及胆管扩张
作者: qc80012345    时间: 2007-10-22 07:10
胰头ca伴肝内转移
作者: 拾荒者    时间: 2007-10-23 05:48
胰头增大,密度稍低,胰腺体尾部缩小,肝内胆管明显扩张,肝右叶低密度影。 考虑胰头癌并阻塞性肝内胆管扩张,肝内转移灶?建议进一步增强扫描。




欢迎光临 医影在线 (http://bbs.radida.com/bbs/) Powered by Discuz! X3.2