医影在线
标题: CT10141:男、84岁,咳嗽、咯血1年。 [打印本页]
作者: 王仕学 时间: 2007-10-21 21:33
标题: CT10141:男、84岁,咳嗽、咯血1年。










































[本贴已被 jiajie 于 2007-10-21 22:22:23 修改过]
作者: liaizhi 时间: 2007-10-21 21:49
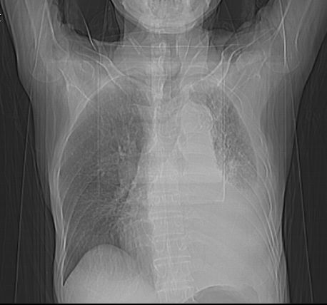
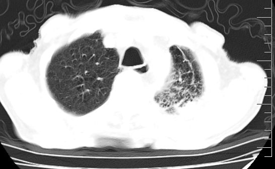
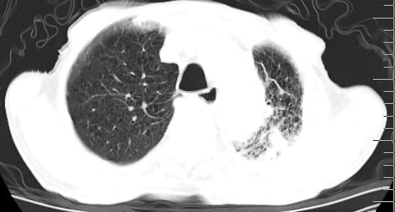
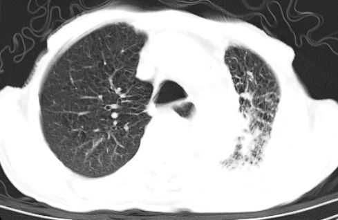
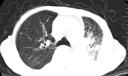
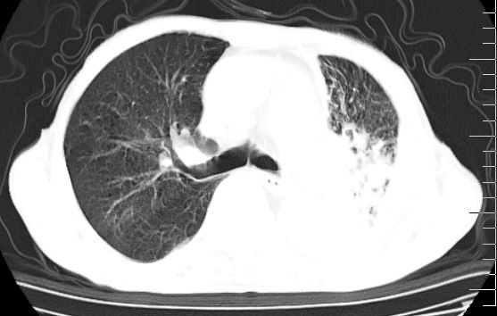
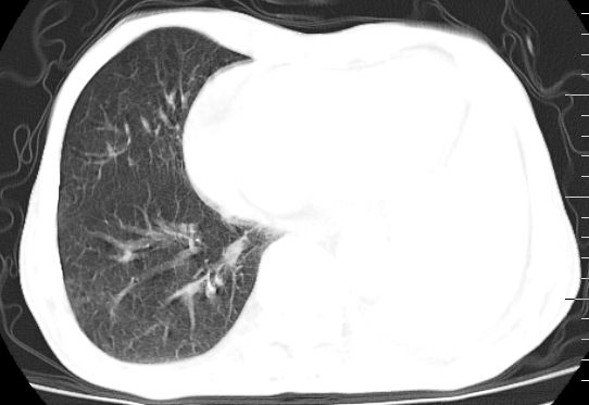
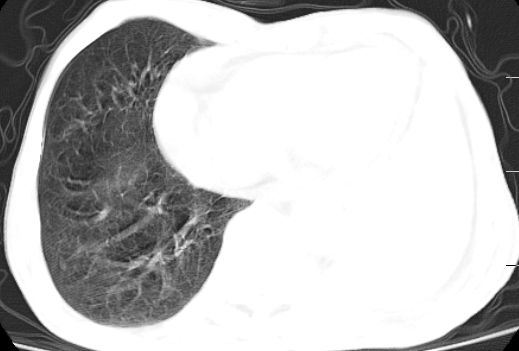
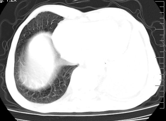
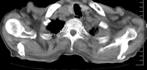
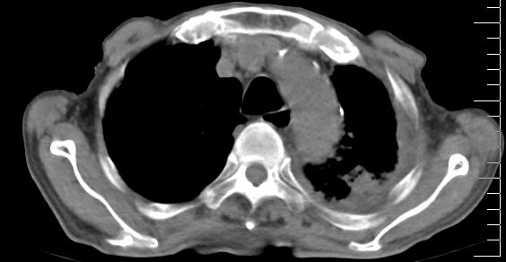
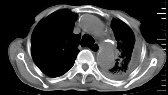
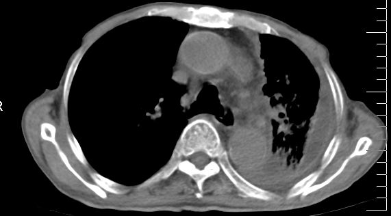
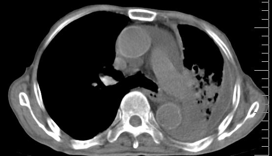
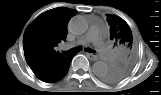
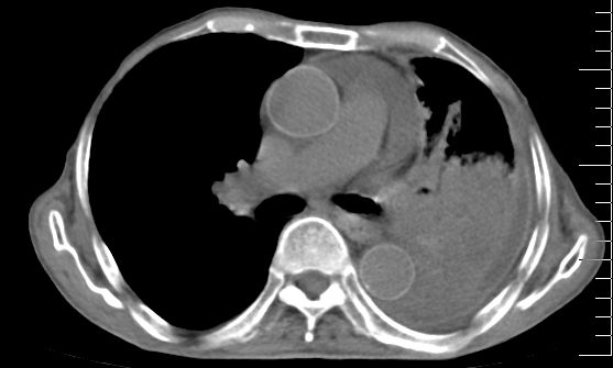
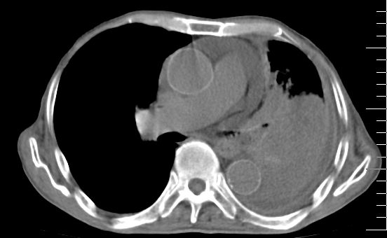
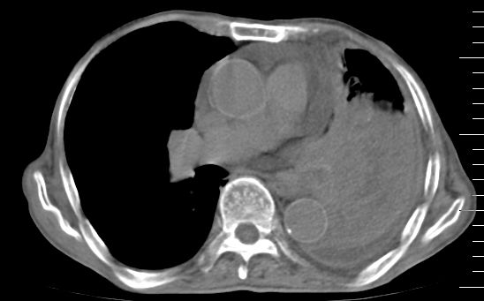
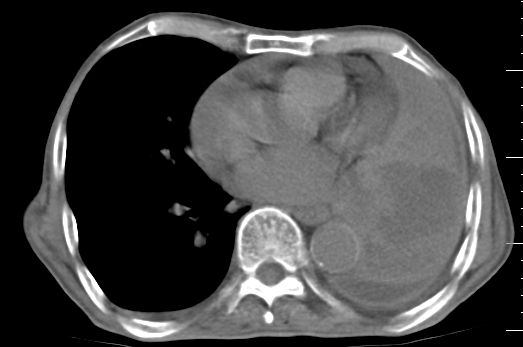
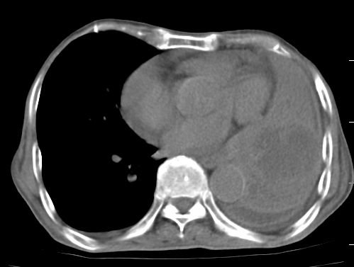
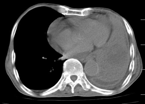
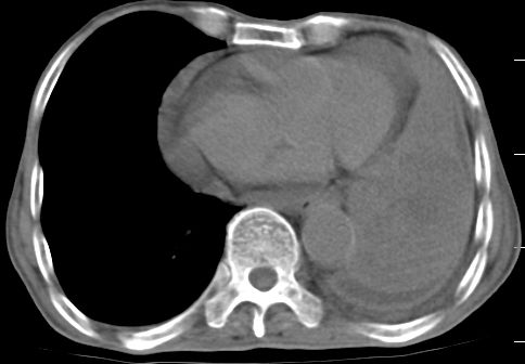
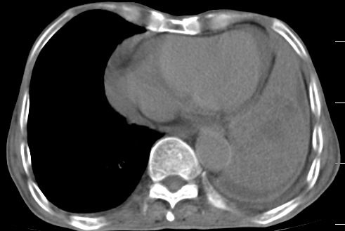
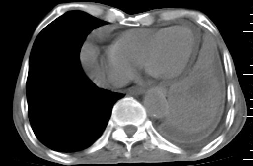
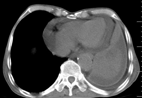
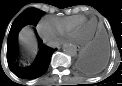
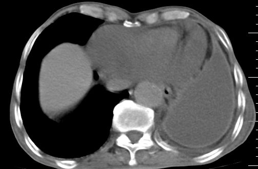
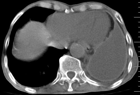
1左侧胸腔积液并包裹2心包积液3左下肺癌?建议支纤镜检。
作者: zjzjr 时间: 2007-10-21 22:29
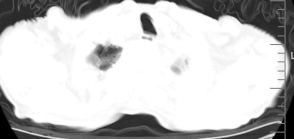
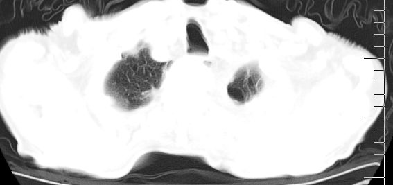
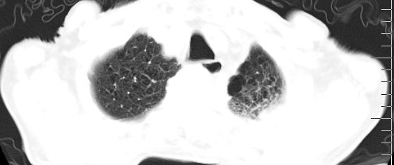
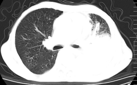
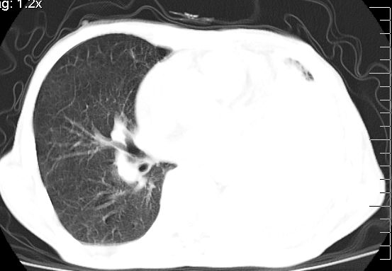
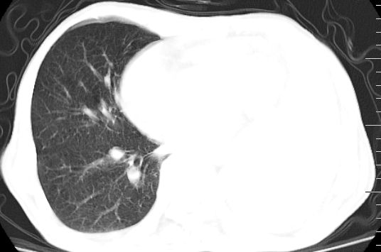
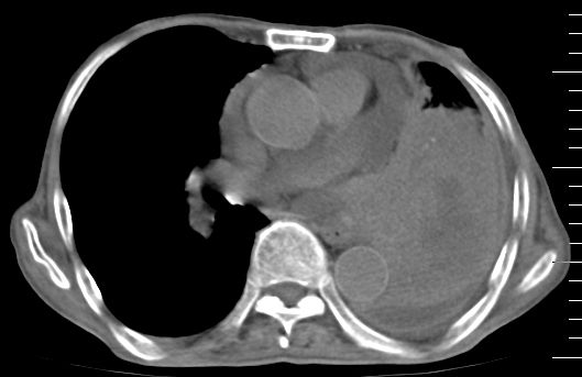
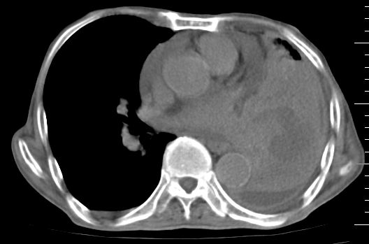
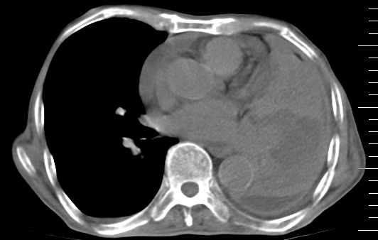
支持左侧中央型肺癌伴下叶肺不张\\纵隔淋巴结转移.左侧包裹性胸腔积液\\心包积液.左侧少量胸腔积液..慢性支气管炎伴部分间质纤维化.
作者: 同 时间: 2007-10-21 23:22
标题: 回复:男、84岁,咳嗽、咯血1年。
以下是引用zjzjr在2007-10-21 14:29:00的发言:[br]支持左侧中央型肺癌伴下叶肺不张\\纵隔淋巴结转移.左侧包裹性胸腔积液\\心包积液.左侧少量胸腔积液..慢性支气管炎伴部分间质纤维化.
作者: he13245678 时间: 2007-10-21 23:24
左侧中心型肺癌,胖左侧胸腔积液
作者: xulianj 时间: 2007-10-22 00:13
支持左侧中央型肺癌伴下叶肺不张\\纵隔淋巴结转移.左侧包裹性胸腔积液\\心包积液.左侧少量胸腔积液..慢性支气管炎伴部分间质纤维化.
作者: qiushi 时间: 2007-10-22 00:24
标题: 回复:男、84岁,咳嗽、咯血1年。
以下是引用zjzjr在2007-10-21 14:29:00的发言:[br]支持左侧中央型肺癌伴下叶肺不张\\纵隔淋巴结转移.左侧包裹性胸腔积液\\心包积液.左侧少量胸腔积液..慢性支气管炎伴部分间质纤维化.
作者: 卜一 时间: 2007-10-22 00:39
以下是引用zjzjr在2007-10-21 14:29:00的发言:
支持:左侧中央型肺癌伴下叶肺不张\\纵隔淋巴结转移.左侧包裹性胸腔积液\\心包积液.左侧少量胸腔积液..慢性支气管炎伴部分间质纤维化.另:支气管分支根部明显阻塞 狭窄,内膜凸凹不平,提示内膜增生物。
作者: zsl6918 时间: 2007-10-22 00:48
左肺中心性肺癌并肺不张,同侧 胸膜及心包转移,左肺癌性淋巴管炎
作者: 天南地北 时间: 2007-10-22 01:42
标题: 回复:男、84岁,咳嗽、咯血1年。
以下是引用卜一在2007-10-21 16:39:00的发言:[br]以下是引用zjzjr在2007-10-21 14:29:00的发言:[br]支持:左侧中央型肺癌伴下叶肺不张\\纵隔淋巴结转移.左侧包裹性胸腔积液\\心包积液.左侧少量胸腔积液..慢性支气管炎伴部分间质纤维化.另:支气管分支根部明显阻塞 狭窄,内膜凸凹不平,提示内膜增生物。[br]
作者: ZHANGZHONGSHOU 时间: 2007-10-22 02:06
标题: 回复:男、84岁,咳嗽、咯血1年。
以下是引用liaizhi在2007-10-21 13:49:00的发言:[br]1左侧胸腔积液并包裹2心包积液3左下肺癌?建议支纤镜检。
支持,肺癌胸膜、心包转移致积液可能大,结核待排除。
作者: 随缘的人 时间: 2007-10-22 03:00
支持左侧中央型肺癌伴下叶肺不张\\纵隔淋巴结转移.左侧包裹性胸腔积液\\心包积液.左侧少量胸腔积液..慢性支气管炎伴部分间质纤维化.
作者: shenhs 时间: 2007-10-22 03:13
标题: 回复:男、84岁,咳嗽、咯血1年。
以下是引用卜一在2007-10-21 16:39:00的发言:[br]以下是引用zjzjr在2007-10-21 14:29:00的发言:[br]支持:左侧中央型肺癌伴下叶肺不张\\纵隔淋巴结转移.左侧包裹性胸腔积液\\心包积液.左侧少量胸腔积液..慢性支气管炎伴部分间质纤维化.另:支气管分支根部明显阻塞 狭窄,内膜凸凹不平,提示内膜增生物。[br]
作者: wangzhengyuan 时间: 2007-10-22 03:43
左侧中心型肺癌,左侧胸腔积液部分包裹,心包积液,肿膈淋巴结显示。
作者: liuqiang 时间: 2007-10-22 03:54
以下是引用zjzjr在2007-10-21 14:29:00的发言:
支持:左侧中央型肺癌伴下叶肺不张\\纵隔淋巴结转移.左侧包裹性胸腔积液\\心包积液.左侧少量胸腔积液..慢性支气管炎伴部分间质纤维化.另:支气管分支根部明显阻塞 狭窄,内膜凸凹不平,提示内膜增生物。
作者: 余辉 时间: 2007-10-22 04:20
标题: 回复:男、84岁,咳嗽、咯血1年。
以下是引用zjzjr在2007-10-21 14:29:00的发言:[br]支持左侧中央型肺癌伴下叶肺不张\\纵隔淋巴结转移.左侧包裹性胸腔积液\\心包积液.左侧少量胸腔积液..慢性支气管炎伴部分间质纤维化.
作者: 朱亮 时间: 2007-10-22 04:22
左侧中央型肺癌伴下叶肺不张\\纵隔淋巴结转移.左侧包裹性胸腔积液\\心包积液.左侧少量胸腔积液..慢性支气管炎伴部分间质纤维化
作者: xiaoniu 时间: 2007-10-22 04:33
标题: 回复:男、84岁,咳嗽、咯血1年。
咯血病史较长,左肺下叶实变,体积未明显缩小,隐约可见血管影及坏死阴影,双肺门及纵隔淋巴结增大,心包增厚积液,纵隔右移位,单侧胸腔积液,首先考虑:大叶型肺泡癌伴纵隔心包转移。
作者: 迎客松abc 时间: 2007-10-22 04:33
以下是引用卜一在2007-10-21 16:39:00的发言:
以下是引用zjzjr在2007-10-21 14:29:00的发言:
支持:左侧中央型肺癌伴下叶肺不张\\纵隔淋巴结转移.左侧包裹性胸腔积液\\心包积液.左侧少量胸腔积液..慢性支气管炎伴部分间质纤维化.另:支气管分支根部明显阻塞 狭窄,内膜凸凹不平,提示内膜增生物。
作者: 国王 时间: 2007-10-22 05:47
左下中央型肺癌伴阻塞性不张,肺炎,左侧包裹性胸腔积液\\心包积液
作者: qc80012345 时间: 2007-10-22 07:14
支持左侧中央型肺癌伴下叶肺不张\\纵隔淋巴结转移.左侧包裹性胸腔积液\\心包积液.左侧少量胸腔积液..慢性支气管炎伴部分间质纤维化.
作者: nanjing 时间: 2007-10-22 18:50
以下是引用zjzjr在2007-10-21 14:29:00的发言:
支持:左侧中央型肺癌伴下叶肺不张\\纵隔淋巴结转移.左侧包裹性胸腔积液\\心包积液.左侧少量胸腔积液..慢性支气管炎伴部分间质纤维化.另:支气管分支根部明显阻塞 狭窄,内膜凸凹不平,提示内膜增生物。
作者: LIAOQIANG 时间: 2007-10-22 19:01
左肺中心性肺癌并左肺下叶肺不张,纵隔淋巴转移、同侧胸腔及心包积液(转移)。
作者: 南沙 时间: 2007-10-22 22:14
以下是引用zjzjr在2007-10-21 14:29:00的发言:
支持:左侧中央型肺癌伴下叶肺不张\\纵隔淋巴结转移.左侧包裹性胸腔积液\\心包积液.左侧少量胸腔积液..慢性支气管炎伴部分间质纤维化.另:支气管分支根部明显阻塞 狭窄,内膜凸凹不平,提示内膜增生物。
作者: 紫云陈剑 时间: 2007-10-23 00:54
肺癌伴.左侧包裹性胸腔积液\\心包积液.左侧少量胸腔积,炎性病变:结核待排.
作者: ring002 时间: 2007-10-23 01:00
大家讲的都很全面啊,学习.等待病理吧
作者: 宝天曼 时间: 2007-10-23 04:45
左肺中心性肺癌并肺不张,同侧 胸膜及心包转移,左肺癌性淋巴管炎
作者: huahj123 时间: 2007-10-23 04:55
标题: 回复:ct10141:男、84岁,咳嗽、咯血1年。
以下是引用紫云陈剑在2007-10-22 16:54:00的发言:[br]肺癌伴.左侧包裹性胸腔积液\\心包积液.左侧少量胸腔积,炎性病变:结核待排.
作者: 拾荒者 时间: 2007-10-23 06:00
以下是引用zjzjr在2007-10-21 14:29:00的发言:
支持左侧中央型肺癌伴下叶肺不张\\纵隔淋巴结转移.左侧包裹性胸腔积液\\心包积液.左侧少量胸腔积液..慢性支气管炎伴部分间质纤维化.
| 欢迎光临 医影在线 (http://bbs.radida.com/bbs/) |
Powered by Discuz! X3.2 |