医影在线
标题: CT10143:F66Y,求教:肺部弥漫性疾病 [打印本页]
作者: huxuelong 时间: 2007-10-22 01:39
标题: CT10143:F66Y,求教:肺部弥漫性疾病
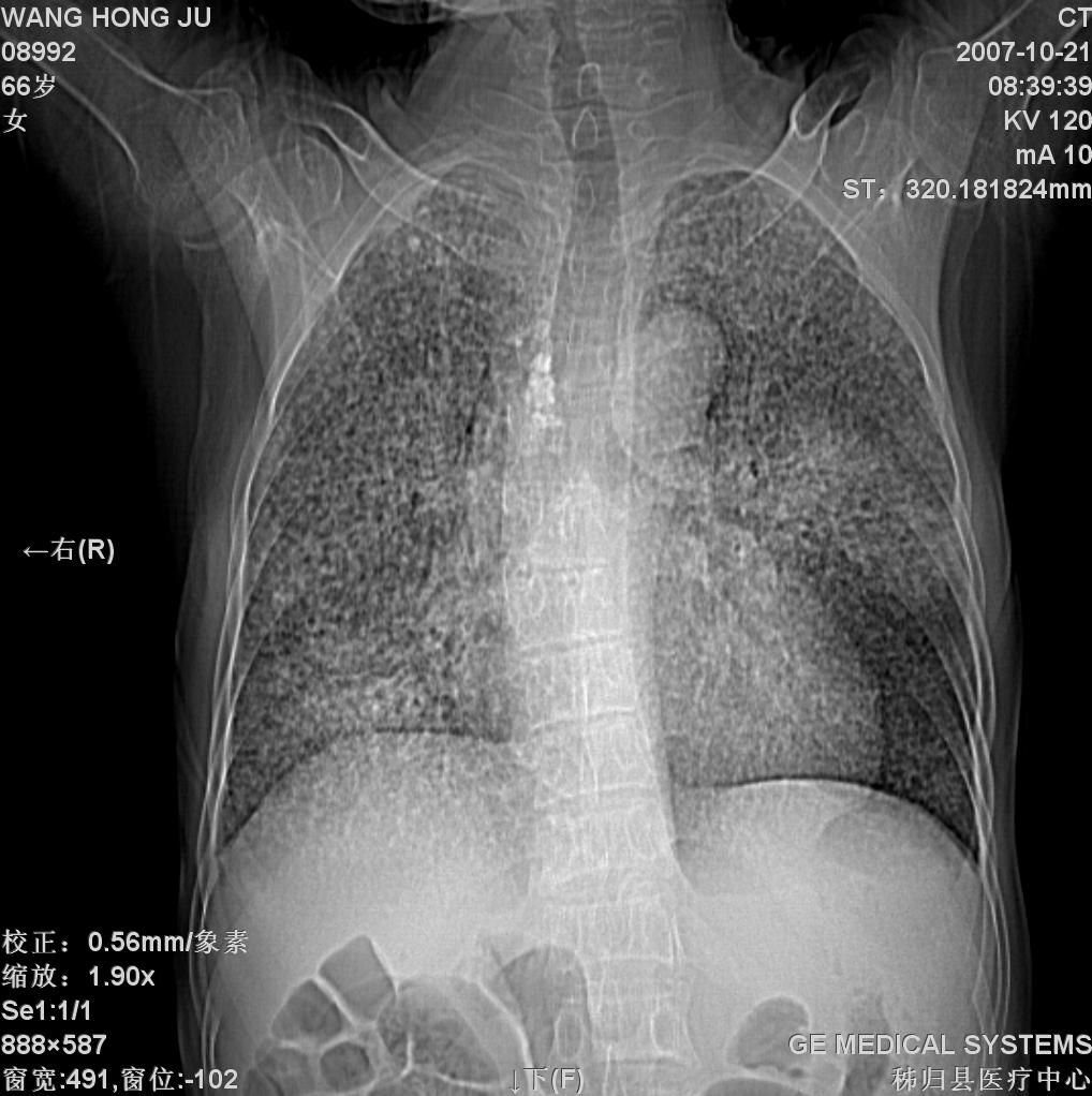
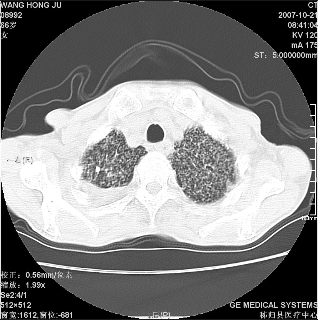
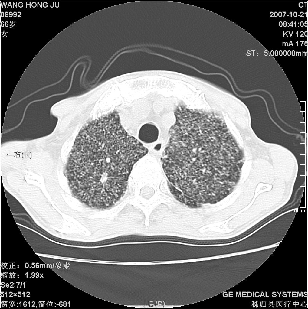
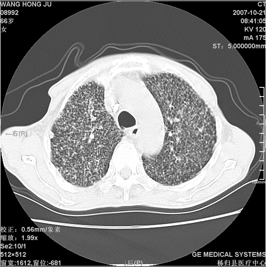
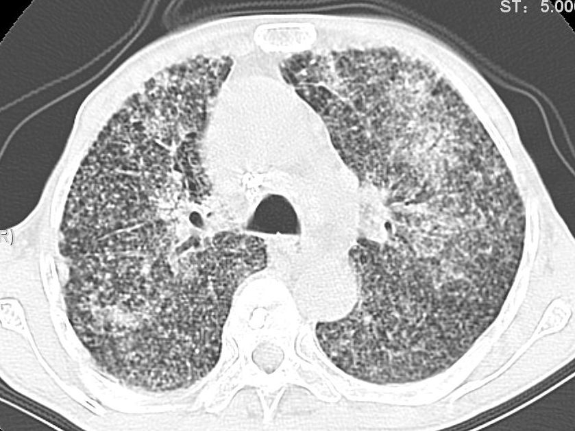
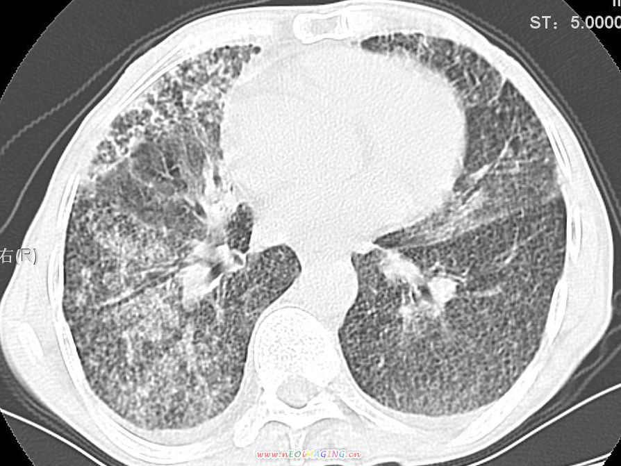
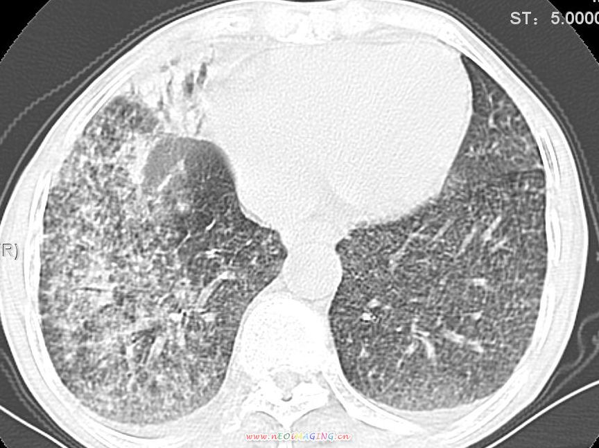
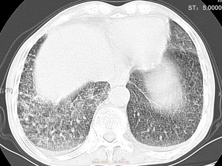
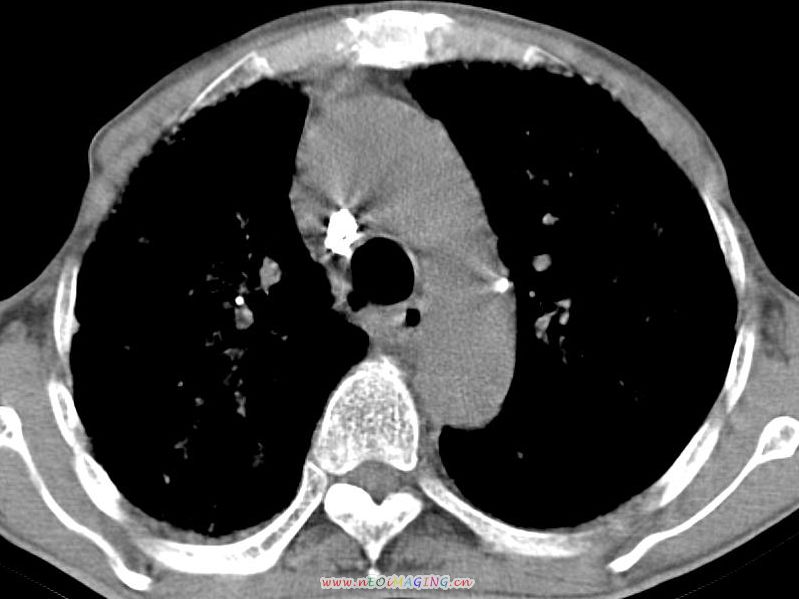
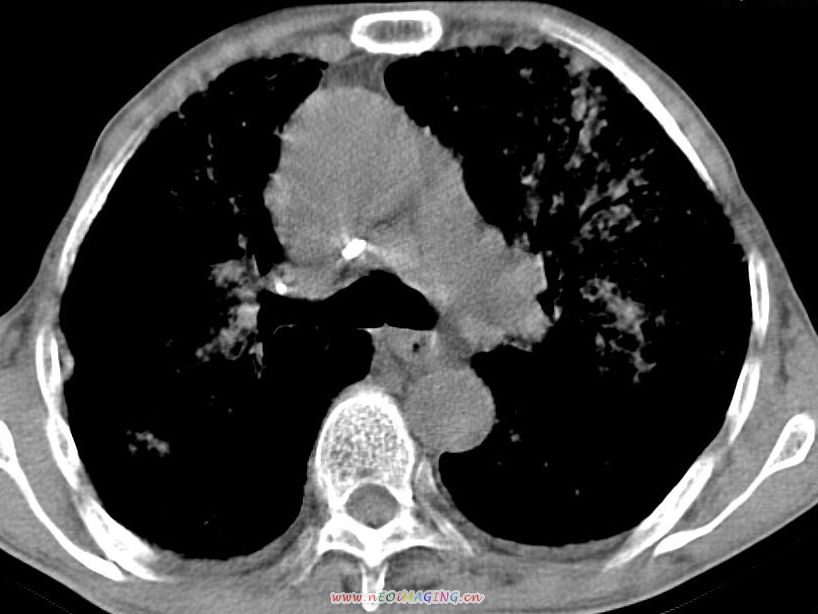
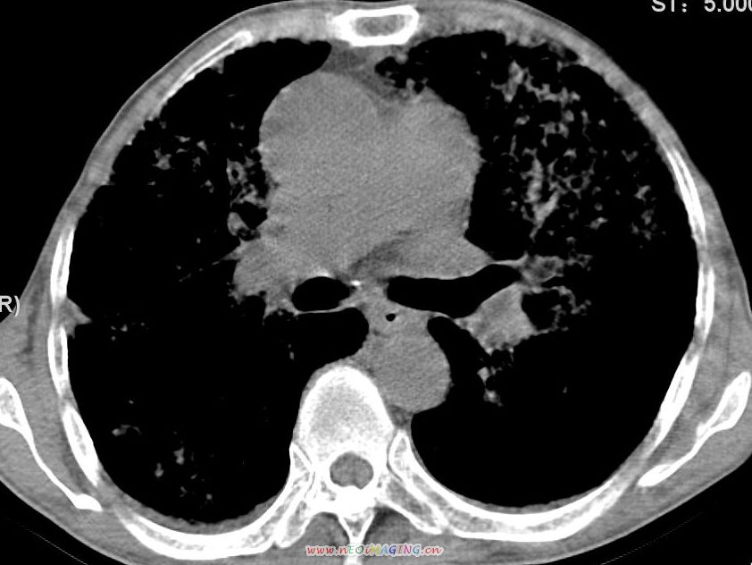
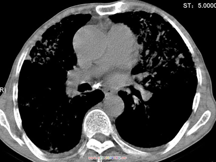
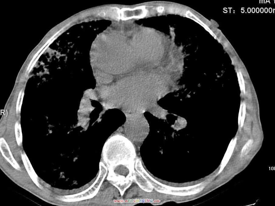
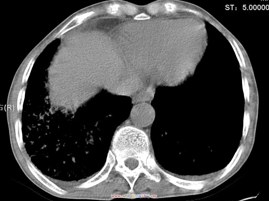
患者咳嗽月余,高热数天,咳黄色稍脓痰。




















[本贴已被 jiajie 于 2007-10-21 22:24:57 修改过]
作者: 王仕学 时间: 2007-10-22 01:41
亚急性血循型tb?
作者: 天南地北 时间: 2007-10-22 01:44
肺泡蛋白沉积症?
作者: ZHANGZHONGSHOU 时间: 2007-10-22 02:01
亚急性血行播散性肺结核可能性大,建议进一步检查。
作者: leihencan 时间: 2007-10-22 02:32
1楼的兄弟,是秭归县的吗?打听一个人,认识陈胜国吗?也是学医学影像的.
作者: 随缘的人 时间: 2007-10-22 02:49
考虑肺tb建议进一步检查,除外其他
作者: huxuelong 时间: 2007-10-22 02:54
leihencan朋友,我们这里没有这个人.
作者: qiushi 时间: 2007-10-22 03:04
考虑肺tb建议进一步检查,除外其他
作者: shenhs 时间: 2007-10-22 03:10
考虑肺tb可能性大,不过老年病人也应排除肺泡ca。
作者: 余辉 时间: 2007-10-22 03:25
高热数天,咳黄色稍脓痰,肯定应该有急性化脓性感染,左上叶舌段及右肿叶可见多量斑片状及支气管气像,首先考虑肺部感染合并血型播散性肺脓肿(脓肿为早期改变),其次不排除有肺泡癌,第三不排除结核,建议治疗后复查
作者: wangzhengyuan 时间: 2007-10-22 03:32
考虑肺tb可能性大,不过老年病人也应排除肺泡ca。
作者: 同 时间: 2007-10-22 03:47
考虑肺结核可能性大,肺泡癌不排除.
作者: liuqiang 时间: 2007-10-22 03:49
考虑肺结核可能性大,肺泡癌不排除。
作者: 迎客松abc 时间: 2007-10-22 04:05
考虑肺tb可能性大
作者: pingdongying 时间: 2007-10-22 04:14
考虑肺结核可能性大,肺泡癌不排除。
作者: 朱亮 时间: 2007-10-22 04:25
建议抗涝治疗
作者: liaizhi 时间: 2007-10-22 04:42
双肺野分布多个小结节状高密度影,其内散在斑片状模糊影,气管。支气管通畅,纵隔内淋巴结钙化,胸膜局限性增厚粘连,胸腔少量积液。结合病史考虑结核并感染的可能性大,胸膜炎并积液。肺泡癌待排。
作者: psh 时间: 2007-10-22 04:44
结核可能.
作者: 徐飞 时间: 2007-10-22 05:28
建议检查其他系统有无播散性结核病灶,以确诊
作者: wangdch2008 时间: 2007-10-22 05:31
亚急性血行播散型肺结核合并肺内感染
作者: bzzenghuai1971 时间: 2007-10-22 05:49
肺泡蛋白沉积症?结核不除外.
作者: bzqijie001 时间: 2007-10-22 05:49
首先考虑肺部感染合并血型播散性肺脓肿(脓肿为早期改变),其次考虑亚急性血行播散型肺tb.
作者: liuyue 时间: 2007-10-22 05:54
首先考虑肺部感染合并血型播散性肺脓肿(脓肿为早期改变),其次考虑亚急性血行播散型肺tb.
支持。
期待结果!!
作者: 龙刚 时间: 2007-10-22 06:16
纵隔内见钙化的淋巴节,上肺见钙化灶,双肺均匀弥漫分布小结节影,边缘较清楚,能不能考虑是在矽肺的基础上并发的结核和感染,请详细了解病史结合临床.
作者: yangwq 时间: 2007-10-22 06:36
1血型播散性肺脓肿 2肺tb 3肺泡癌 4 小阴影较硬 少见的微石症考虑 进一步结合临床诊
作者: qc80012345 时间: 2007-10-22 06:39
亚急性血行播散性肺结核;矽肺---病是不详。
作者: 卜一 时间: 2007-10-22 14:41
亚急性血行播散型肺结核,肺泡癌不排除!
作者: shuhuang2007 时间: 2007-10-22 16:27
首先考虑肺结核,其次肺泡癌不排除。
作者: zjzjr 时间: 2007-10-22 16:27
亚急性血行播散性肺结核可能性大伴少量胸腔积液,建议进一步检查。
作者: nanjing 时间: 2007-10-22 16:53
标题: 回复:ct10143:f66y,求教:肺部弥漫性疾病
以下是引用yangwq在2007-10-21 22:36:00的发言:[br]1血型播散性肺脓肿 2肺tb 3肺泡癌 4 小阴影较硬 少见的微石症考虑 进一步结合临床诊
作者: qiuleiyu 时间: 2007-10-22 17:24
标题: 回复:ct10143:f66y,求教:肺部弥漫性疾病
以下是引用卜一在2007-10-22 6:41:00的发言:[br]亚急性血行播散型肺结核,肺泡癌不排除!
作者: qgysx 时间: 2007-10-22 18:00
首先感染肯定的,只是原发肺内疾病的问题,结核、矽肺、癌都有可能,核对病史进一步检查吧。期待!
作者: xulianj 时间: 2007-10-22 22:02
亚急性血行播散型肺结核,肺泡癌待排!
作者: 南沙 时间: 2007-10-22 22:19
考虑肺结核可能性大,肺泡癌不排除.
作者: zxczxc 时间: 2007-10-22 22:52
不象转移,不象肺结核。
象是职业病,矽肺类病变。
作者: wy232326 时间: 2007-10-23 00:09
纵隔内见钙化的淋巴节,上肺见钙化灶,双肺均匀弥漫分布小结节影,边缘较清楚,能不能考虑是在矽肺的基础上并发的结核和感染,请详细了解病史结合临床.
支持
作者: mutour 时间: 2007-10-23 01:23
考虑血行播散型肺tb可能性大,不过老年病人也应排除肺泡癌!
作者: yuliuyou 时间: 2007-10-23 04:28
tb可能性大,不排除肺泡癌
应详问病史
作者: 宝天曼 时间: 2007-10-23 04:40
亚急性血行播散型肺结核合并肺内感染
作者: huahj123 时间: 2007-10-23 04:48
肺泡微石症合并感染首先考虑
作者: 拾荒者 时间: 2007-10-23 06:07
纵隔内见钙化的淋巴节,上肺见钙化灶,双肺均匀弥漫分布小结节影,边缘较清楚,能不能考虑是在矽肺的基础上并发的结核和感染,请详细了解病史结合临床.
支持
作者: zyyzzy 时间: 2007-10-23 06:26
亚急性血行播散性肺结核可能性大
作者: dr.whx 时间: 2007-10-23 06:35
只是肺内弥漫性病变都有可能,期待结果。
| 欢迎光临 医影在线 (http://bbs.radida.com/bbs/) |
Powered by Discuz! X3.2 |