医影在线
标题: CT10145:男性,30岁,活动后气促2月余.隔疝伴胸腔积液.右上肺结 [打印本页]
作者: syfszcw 时间: 2007-10-22 06:26
标题: CT10145:男性,30岁,活动后气促2月余.隔疝伴胸腔积液.右上肺结
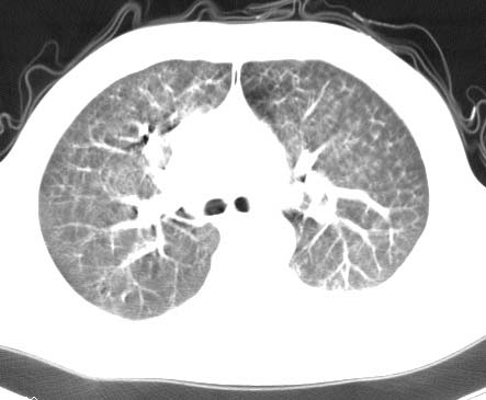
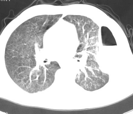
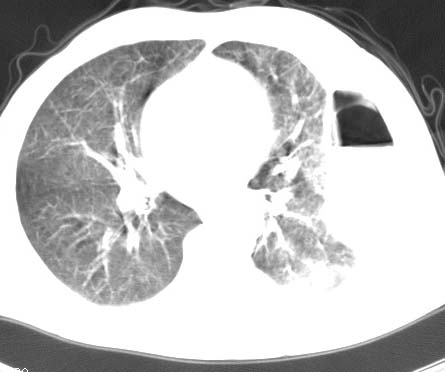
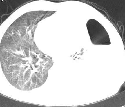
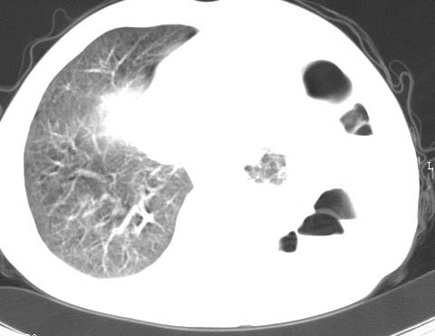
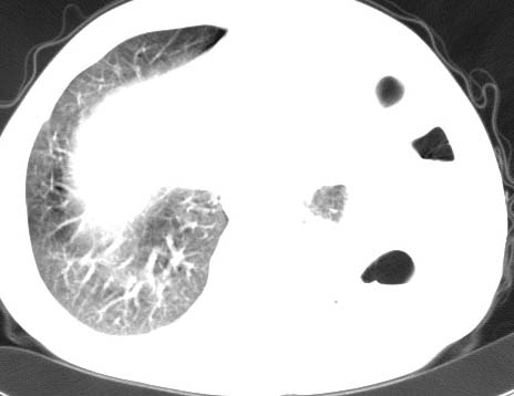
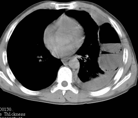
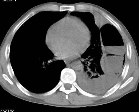
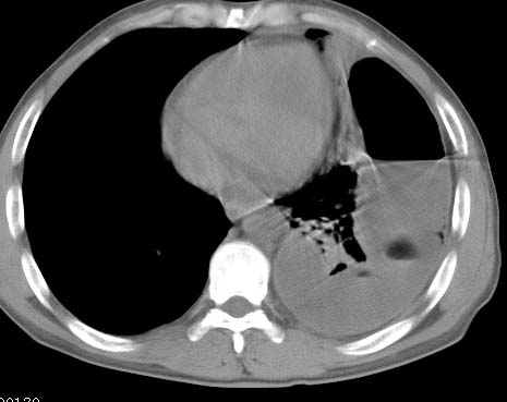
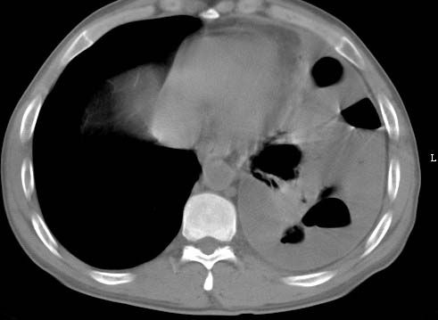
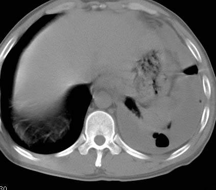
男性 病人 30岁,活动后气促2月余.隔疝伴胸腔积液.右上肺结核!





































[本贴已被 syfszcw 于 2007-10-21 22:28:05 修改过]
[本贴已被 jiajie 于 2007-10-21 22:34:42 修改过]
作者: bzzenghuai1971 时间: 2007-10-22 06:42
学习了
作者: qc80012345 时间: 2007-10-22 06:49
双肺上结核;膈肌裂孔疝。
作者: 卜一 时间: 2007-10-22 14:37
左侧胸腔积液,并胸腔内见多个含液 气组织,并相互重叠。影像特征很特殊,应该是“膈疝”。支持!
作者: shuhuang2007 时间: 2007-10-22 16:32
左侧膈疝,及左侧胸水,双上肺结核。
作者: zjzjr 时间: 2007-10-22 16:33
支持楼主意见.
作者: ZHANGZHONGSHOU 时间: 2007-10-22 20:08
标题: 回复:ct10145:男性,30岁,活动后气促2月余.隔疝伴胸腔积液.
以下是引用卜一在2007-10-22 6:37:00的发言:[br]左侧胸腔积液,并胸腔内见多个含液 气组织,并相互重叠。影像特征很特殊,应该是“膈疝”。支持!
作者: xulianj 时间: 2007-10-22 21:25
支持!左侧膈疝,左侧胸水,双上肺结核。
作者: zxczxc 时间: 2007-10-22 22:45
左侧胸腔包裹性液气胸未除。
左膈疝?
作者: hszhoupeng 时间: 2007-10-22 22:55
谢谢!
作者: wy232326 时间: 2007-10-23 00:00
支持楼主意见
作者: 宝天曼 时间: 2007-10-23 04:52
标题: 回复:ct10145:男性,30岁,活动后气促2月余.隔疝伴胸腔积液.
以下是引用xulianj在2007-10-22 13:25:00的发言:[br]支持!左侧膈疝,左侧胸水,双上肺结核。
作者: 拾荒者 时间: 2007-10-24 04:14
支持楼主意见,谢谢!
| 欢迎光临 医影在线 (http://bbs.radida.com/bbs/) |
Powered by Discuz! X3.2 |