医影在线

标题: CT10147:男、55岁,咯血10天,有结核病史。 [打印本页]

作者: 王仕学    时间: 2007-10-22 17:14
标题: CT10147:男、55岁,咯血10天,有结核病史。





































[本贴已被 jiajie 于 2007-10-22 9:16:29 修改过]

作者: qiuleiyu    时间: 2007-10-22 17:28
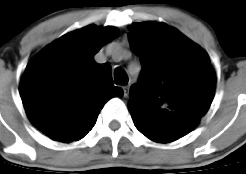
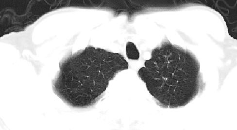
左上肺占位伴肺门淋巴结肿大,考虑肺癌可能大.
另左上陈旧性病灶.
作者: qgysx    时间: 2007-10-22 17:45
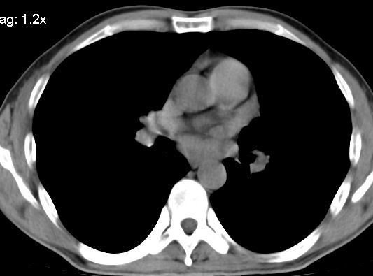
支持,另纵隔淋巴结肿大
作者: tao772    时间: 2007-10-22 17:46
肺癌伴淋巴结转移。
作者: gaoshengjiang    时间: 2007-10-22 17:57
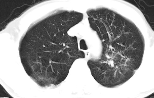
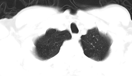
左上肺见软组织密度肿块影,边缘呈分叶状,可见毛刺,肺门纵隔淋巴结增大,考虑左侧周围型肺癌。左上肺陈旧性结核纤并维化。
作者: 余辉    时间: 2007-10-22 19:07
支持考虑左肺癌
作者: 羊皮    时间: 2007-10-22 19:12
标题: 回复:ct10147:男、55岁,咯血10天,有结核病史。
以下是引用gaoshengjiang在2007-10-22 9:57:00的发言:[br]左上肺见软组织密度肿块影,边缘呈分叶状,可见毛刺,肺门纵隔淋巴结增大,考虑左侧周围型肺癌。左上肺陈旧性结核纤并维化。

作者: zhangkai    时间: 2007-10-22 19:50
陈旧性肺结核。
左侧周围型肺癌。
作者: ZHANGZHONGSHOU    时间: 2007-10-22 20:04
标题: 回复:ct10147:男、55岁,咯血10天,有结核病史。
以下是引用tao772在2007-10-22 9:46:00的发言:[br]肺癌伴淋巴结转移。

作者: 孙富海    时间: 2007-10-22 20:13
同意肺癌伴淋巴结转移诊断。
作者: nanjing    时间: 2007-10-22 20:30
支持考虑左肺癌
作者: 随缘的人    时间: 2007-10-22 20:57
肺癌伴淋巴结转移。
作者: xulianj    时间: 2007-10-22 21:29
左上周围型肺癌;伴纵膈淋巴结转移。
作者: zjzjr    时间: 2007-10-22 21:57
左上肺占位伴肺门淋巴结肿大,考虑肺癌可能大.
另左上陈旧性病灶.
作者: 南沙    时间: 2007-10-22 22:26
肺癌伴淋巴结转移
作者: hszhoupeng    时间: 2007-10-22 22:50
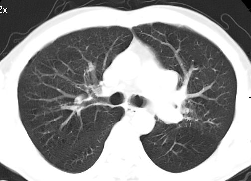
左肺周围型肺ca并左肺门及纵隔淋巴结转移可能性大.
作者: zxczxc    时间: 2007-10-22 23:00
左上肺癌伴左上肺炎症。
作者: mutour    时间: 2007-10-22 23:24
左肺分叶状肿块,有毛刺,肺门淋巴结增大.支持左周围型肺癌,肺门淋巴结转移,陈旧性肺结核.
作者: 卜一    时间: 2007-10-22 23:29
以下是引用tao772在2007-10-22 9:46:00的发言:
肺癌伴左肺门及纵隔淋巴结转移。
首先支持!
疑点:1 病灶似呈融合成团块,并与肺门区大血管重叠,与上部散在的结节影关系密切。2 周边毛刺多为粗长毛刺。3 左肺门淋巴结肿大,但支气管畅通,未见阻塞。4 纵隔淋巴结不是很大。
建议增强扫描,待除外结核的可能!
作者: ring002    时间: 2007-10-22 23:41
左上肺尖后段上面陈旧性结核,下面邻近左肺门旁可见软组织肿块影,与上肺v关系密切,左肺门及气管隆突下可见增大的淋巴结影,考虑1.左上肺ca(周围型)伴肺门纵隔内淋巴转移 2.左上肺陈旧性tb
作者: wy232326    时间: 2007-10-22 23:51
支持考虑左肺癌
作者: zhg2005    时间: 2007-10-22 23:54
左肺中心性肺癌并纵隔及肺门淋巴结转移
作者: 同    时间: 2007-10-23 01:15
考虑左肺癌伴纵隔淋巴结肿大.
作者: yangwq    时间: 2007-10-23 02:58

作者: liuqiang    时间: 2007-10-23 03:47
左上肺占位伴肺门淋巴结肿大,考虑肺癌。
另左上陈旧性病灶.
作者: yuliuyou    时间: 2007-10-23 04:04
左肺上叶中心性肺癌,伴肺门及纵隔淋巴结肿大
双肺上叶结核
作者: 宝天曼    时间: 2007-10-23 04:20
左上肺见软组织密度肿块影,边缘呈分叶状,可见毛刺,肺门纵隔淋巴结增大,考虑左侧周围型肺癌。左上肺陈旧性结核纤并维化。
作者: 拾荒者    时间: 2007-10-24 04:31
支持左肺中心性肺癌并纵隔及肺门淋巴结转移,左肺陈旧性结核。
作者: phsdyx    时间: 2007-10-24 05:40
左肺上叶肺癌伴淋巴结转移。
作者: jinguoji    时间: 2007-12-3 19:23
考虑左肺癌伴纵隔淋巴结肿大,左肺陈旧性结核。
作者: 网事随风    时间: 2007-12-3 20:29
考虑斑痕癌
作者: lirenxiong    时间: 2007-12-3 20:43
左上肺占位伴肺门淋巴结肿大,考虑周围型肺癌可能大.
另左上陈旧性病灶.




欢迎光临 医影在线 (http://bbs.radida.com/bbs/) Powered by Discuz! X3.2