医影在线
标题: CT10148:男,56岁,咳血。 [打印本页]
作者: 居洪涛 时间: 2007-10-22 23:18
标题: CT10148:男,56岁,咳血。











































[本贴已被 jiajie 于 2007-10-22 17:54:11 修改过]
作者: zhg2005 时间: 2007-10-22 23:45
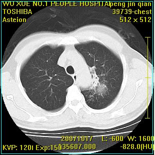
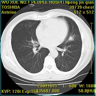
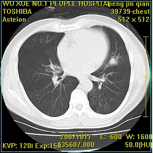
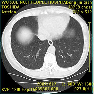
左肺上叶尖段占位性病变,考虑肺癌.癌性空洞,并双肺转移灶及纵隔淋巴结转移
作者: 卜一 时间: 2007-10-23 00:36
左肺上叶尖后段较大团块影,边缘光滑,内见不规则裂隙样空洞,周围明显见细小结节及渗出,与肺门方向结构紊乱,另:左上叶尖段外侧 舌叶内侧 右上叶尖段及下叶背段均见片状致密影。考虑:继发性肺结核伴空洞形成!
作者: 沙漠骆驼 时间: 2007-10-23 00:40
1 左肺上叶首先考虑占位. 2 临床资料尚少, 3 应综合临床各项检查结果分析判断其性质.
作者: 紫云陈剑 时间: 2007-10-23 00:44
继发性肺结核伴空洞形成!>肺癌
作者: xhsmx 时间: 2007-10-23 00:46
左上肺厚壁空洞影、两肺多发小片样不规则高密度灶。基本上能排除转移瘤。考虑肺结核伴空洞形成。
作者: 同 时间: 2007-10-23 01:19
标题: 回复:患者,男,56岁,咳血。
以下是引用沙漠骆驼在2007-10-22 16:40:00的发言:[br]1 左肺上叶首先考虑占位. 2 临床资料尚少, 3 应综合临床各项检查结果分析判断其性质.
作者: 天南地北 时间: 2007-10-23 02:13
标题: 回复:ct10148:男,56岁,咳血。
以下是引用卜一在2007-10-22 16:36:00的发言:[br]左肺上叶尖后段较大团块影,边缘光滑,内见不规则裂隙样空洞,周围明显见细小结节及渗出,与肺门方向结构紊乱,另:左上叶尖段外侧 舌叶内侧 右上叶尖段及下叶背段均见片状致密影。考虑:继发性肺结核伴空洞形成!
作者: gaoshengjiang 时间: 2007-10-23 03:00
左上肺后壁空洞,内壁不规则,可见壁结节;左上叶尖段外侧 舌叶内侧 右上叶尖段及下叶背段均见片状致密影。考虑:左肺肺癌并两肺继发性肺结核?
作者: 光线 时间: 2007-10-23 03:13
结核可能性要大,做个支纤镜。
作者: yuliuyou 时间: 2007-10-23 03:53
继发性肺结核伴空洞形成
作者: 宝天曼 时间: 2007-10-23 04:06
左肺上叶尖段占位性病变,
考虑肺癌.癌性空洞,并双肺转移灶及纵隔淋巴结转移
作者: shiqingfa 时间: 2007-10-23 04:22
考虑:继发性肺结核伴空洞形成!
作者: huahj123 时间: 2007-10-23 04:26
标题: 回复:ct10148:男,56岁,咳血。
以下是引用卜一在2007-10-22 16:36:00的发言:[br]左肺上叶尖后段较大团块影,边缘光滑,内见不规则裂隙样空洞,周围明显见细小结节及渗出,与肺门方向结构紊乱,另:左上叶尖段外侧 舌叶内侧 右上叶尖段及下叶背段均见片状致密影。考虑:继发性肺结核伴空洞形成!
作者: 随缘的人 时间: 2007-10-23 04:40
左肺上叶尖后段较大团块影,边缘光滑,内见不规则裂隙样空洞,周围明显见细小结节及渗出,与肺门方向结构紊乱,另:左上叶尖段外侧 舌叶内侧 右上叶尖段及下叶背段均见片状致密影。考虑:继发性肺结核伴空洞形成!建议进一步检查,除外肺癌
作者: 拾荒者 时间: 2007-10-23 04:54
标题: 回复:ct10148:男,56岁,咳血。
以下是引用随缘的人在2007-10-22 20:40:00的发言:[br]左肺上叶尖后段较大团块影,边缘光滑,内见不规则裂隙样空洞,周围明显见细小结节及渗出,与肺门方向结构紊乱,另:左上叶尖段外侧 舌叶内侧 右上叶尖段及下叶背段均见片状致密影。考虑:继发性肺结核伴空洞形成!建议进一步检查,除外肺癌[br]
支持!
作者: sany889 时间: 2007-10-23 05:11
结核伴空洞形成。
作者: shuangjidao111 时间: 2007-10-23 05:17
右肺下叶背段/左上肺/左下肺结核伴空洞形成
作者: wangdch2008 时间: 2007-10-23 05:29
结核 空洞伴两肺播散
作者: liaizhi 时间: 2007-10-23 05:42
标题: 回复:ct10148:男,56岁,咳血。
以下是引用卜一在2007-10-22 16:36:00的发言:[br]左肺上叶尖后段较大团块影,边缘光滑,内见不规则裂隙样空洞,周围明显见细小结节及渗出,与肺门方向结构紊乱,另:左上叶尖段外侧 舌叶内侧 右上叶尖段及下叶背段均见片状致密影。上腔静脉后淋巴结肿大,内有钙化。考虑:继发性肺结核伴空洞形成!
作者: docjia 时间: 2007-10-23 05:43
浸润型肺结核伴左上肺空洞形成,两肺播散灶
作者: bzzenghuai1971 时间: 2007-10-23 06:37
1 左肺上叶首先考虑占位. 2 临床资料尚少, 3 应综合临床各项检查结果分析判断其性质
作者: 朱亮 时间: 2007-10-23 06:48
继发性肺结核伴空洞形成!>肺癌
作者: ring002 时间: 2007-10-23 07:15
支持结核可能,治疗后复查/活检,以除外结核肺癌同时存在
作者: zjzjr 时间: 2007-10-23 16:17
左肺上叶尖段占位性病变,考虑肺癌.癌性空洞,并双肺转移灶及纵隔淋巴结转移
作者: ailuanfei 时间: 2007-10-23 17:03
左肺上叶尖段占位性病变,
考虑肺癌.癌性空洞,并双肺转移灶及纵隔淋巴结转移
作者: doc张 时间: 2007-10-23 17:08
结核可能性大.
作者: jinguoji 时间: 2007-12-3 19:19
标题: 回复:ct10148:男,56岁,咳血。
以下是引用ring002在2007-10-22 23:15:00的发言:[br]支持结核可能,治疗后复查/活检,以除外结核肺癌同时存在[br]
| 欢迎光临 医影在线 (http://bbs.radida.com/bbs/) |
Powered by Discuz! X3.2 |