医影在线
标题: CT10152:男,21岁,疑难病例,请大家分析! [打印本页]
作者: xhsmx 时间: 2007-10-23 00:42
标题: CT10152:男,21岁,疑难病例,请大家分析!
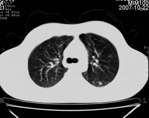
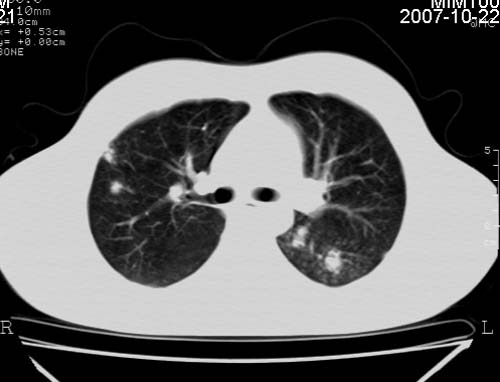
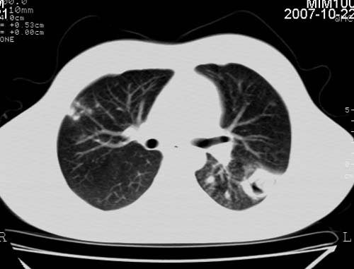
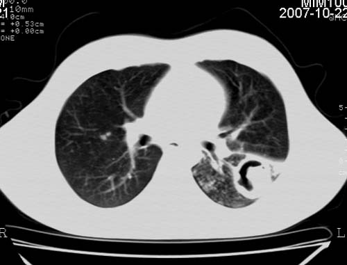
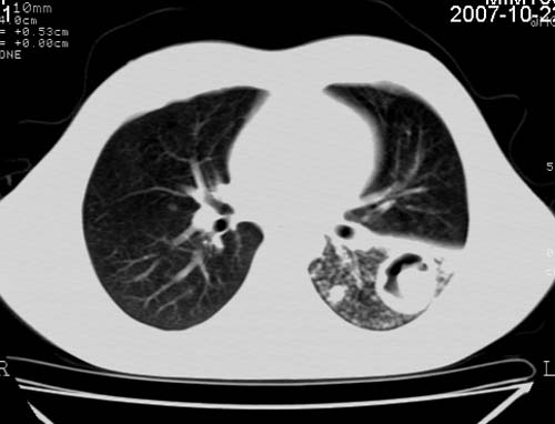
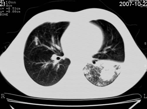
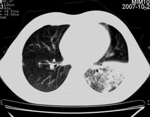
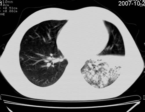
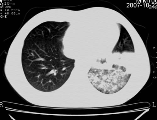
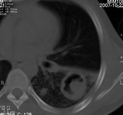
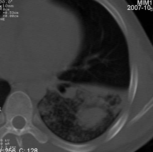
男,21岁,咳嗽、胸闷、乏力伴多汗二十余日、无明显发烧。患者一般情况好,为初三学生。

















[本贴已被 jiajie 于 2007-10-22 18:00:18 修改过]
作者: 紫云陈剑 时间: 2007-10-23 00:45
双肺继发性肺结核伴左侧空洞形成!
作者: qiuleiyu 时间: 2007-10-23 00:51
右肺上叶前段及左肺下叶多形性病变伴厚壁空洞,周边示树芽征.左肺下叶不张改变.
考虑;肺结核,不除外左肺下叶支气管内膜结核.
作者: cy88888888 时间: 2007-10-23 01:08
肺结核并真菌感染
作者: 320512 时间: 2007-10-23 01:12
标题: 回复:疑难病例,请大家分析!
以下是引用qiuleiyu在2007-10-22 16:51:00的发言:[br]右肺上叶前段及左肺下叶多形性病变伴厚壁空洞,周边示树芽征.左肺下叶不张改变.[br]考虑;肺结核,不除外左肺下叶支气管内膜结核.
作者: wqs571018 时间: 2007-10-23 02:21
肺结核合并霉菌感染。
作者: ZHANGZHONGSHOU 时间: 2007-10-23 02:25
标题: 回复:ct10152:男,21岁,疑难病例,请大家分析!
以下是引用wqs571018在2007-10-22 18:21:00的发言:[br]肺结核合并霉菌感染。
作者: glf666 时间: 2007-10-23 02:37
标题: 回复:ct10152:男,21岁,疑难病例,请大家分析!
以下是引用cy88888888在2007-10-22 17:08:00的发言:[br]肺结核并真菌感染
作者: gaoshengjiang 时间: 2007-10-23 02:41
两肺肺结核,左肺空洞形成并霉菌感染?
作者: 我想了解 时间: 2007-10-23 02:43
结核合并霉菌感染.
作者: 光线 时间: 2007-10-23 02:52
双肺继发性肺结核伴左侧空洞形成!
作者: yangwq 时间: 2007-10-23 02:56
霉菌感染
作者: 卜一 时间: 2007-10-23 03:27
双肺继发性肺结核伴左侧空洞形成!不除外合并霉菌感染!(双肺多发病灶,左侧病灶形成空洞,并空洞内见壁结节。建议改变体位,观察空洞内结节情况,以便排除霉菌感染!)
作者: liuqiang 时间: 2007-10-23 03:34
右肺上叶前段及左肺下叶多形性病变伴厚壁空洞,周边示树芽征.左肺下叶不张改变.
考虑;肺结核。
作者: 王大夫 时间: 2007-10-23 03:37
双肺继发性肺结核伴左侧空洞形成!
作者: 宝天曼 时间: 2007-10-23 04:09
肺结核并真菌感染
作者: shiqingfa 时间: 2007-10-23 04:18
肺结核合并霉菌感染。支持
作者: 随缘的人 时间: 2007-10-23 04:23
以下是引用wqs571018在2007-10-22 18:21:00的发言:
肺结核合并霉菌感染。
作者: liaizhi 时间: 2007-10-23 05:02
考虑结核可能性大(1多形性病灶2空洞呈裂隙征改变3临床表现)
作者: LLXXLL 时间: 2007-10-23 05:07
结核,空洞形成合并霉菌感染
作者: wangdch2008 时间: 2007-10-23 05:16
肺结核合并霉菌感染
作者: sany889 时间: 2007-10-23 05:19
考虑为肺结核。
作者: jsgdoctor 时间: 2007-10-23 05:48
两肺肺结核,左肺空洞形成并霉菌感染
作者: 同 时间: 2007-10-23 05:55
考虑肺结核伴霉菌感染可能性大.
作者: 余辉 时间: 2007-10-23 06:11
结核了,霉了
作者: 晓杰 时间: 2007-10-23 06:16
支持:结核合并霉菌感染.
作者: huahj123 时间: 2007-10-23 06:16
标题: 回复:ct10152:男,21岁,疑难病例,请大家分析!
以下是引用我想了解在2007-10-22 18:43:00的发言:[br]结核合并霉菌感染.
作者: dr.whx 时间: 2007-10-23 06:16
支持肺结核并真菌感染
作者: 朱亮 时间: 2007-10-23 06:31
两肺肺结核,左肺空洞形成并霉菌感染
作者: zyyzzy 时间: 2007-10-23 07:17
两肺肺结核,左肺空洞形成并霉菌感染,建议痰菌检查!!
作者: 徐飞 时间: 2007-10-23 07:22
肺包虫病,肺曲霉病
作者: zjzjr 时间: 2007-10-23 16:37
支持:结核合并霉菌感染.
作者: ailuanfei 时间: 2007-10-23 16:58
标题: 回复:ct10152:男,21岁,疑难病例,请大家分析!
以下是引用卜一在2007-10-22 19:27:00的发言:[br]双肺继发性肺结核伴左侧空洞形成!不除外合并霉菌感染!(双肺多发病灶,左侧病灶形成空洞,并空洞内见壁结节。建议改变体位,观察空洞内结节情况,以便排除霉菌感染!)
作者: jone-baby 时间: 2007-10-23 17:01
双肺继发性肺结核伴左侧空洞形成!
作者: doc张 时间: 2007-10-23 17:05
结核伴空洞形成,不足以诊断合并霉菌感染.
作者: zsl6918 时间: 2007-10-23 20:26
结核并支气管播散
作者: 拾荒者 时间: 2007-10-24 05:21
标题: 回复:ct10152:男,21岁,疑难病例,请大家分析!
以下是引用卜一在2007-10-22 19:27:00的发言:[br]双肺继发性肺结核伴左侧空洞形成!不除外合并霉菌感染!(双肺多发病灶,左侧病灶形成空洞,并空洞内见壁结节。建议改变体位,观察空洞内结节情况,以便排除霉菌感染!)
作者: xhsmx 时间: 2007-10-25 16:47
左下肺实变能给出合理解释吗?
作者: wy232326 时间: 2007-10-25 23:15
双肺继发性肺结核伴左侧空洞形成!不除外合并霉菌感染!(双肺多发病灶,左侧病灶形成空洞,并空洞内见壁结节。建议改变体位,观察空洞内结节情况,以便排除霉菌感染!)
支持
作者: jinguoji 时间: 2007-12-3 18:49
肺结核合并霉菌感染。
作者: sunxb1010 时间: 2007-12-4 01:00
肺结核并曲霉菌感染
作者: fytian 时间: 2007-12-4 01:09
肺结核合并霉菌感染.
| 欢迎光临 医影在线 (http://bbs.radida.com/bbs/) |
Powered by Discuz! X3.2 |