医影在线
标题: CT10156:女.43岁,发现中下腹部包都块2年 [打印本页]
作者: 水晶之恋 时间: 2007-10-23 20:00
标题: CT10156:女.43岁,发现中下腹部包都块2年
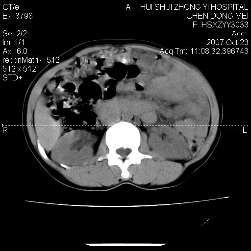
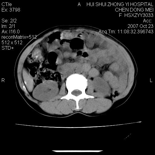
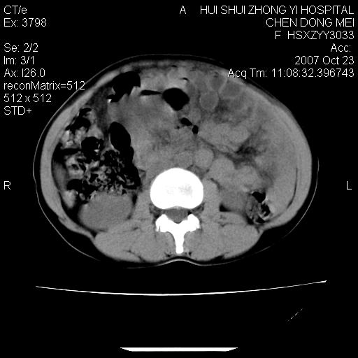
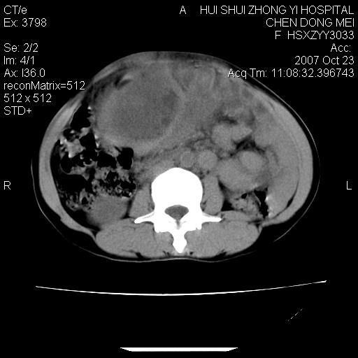
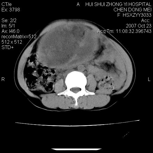
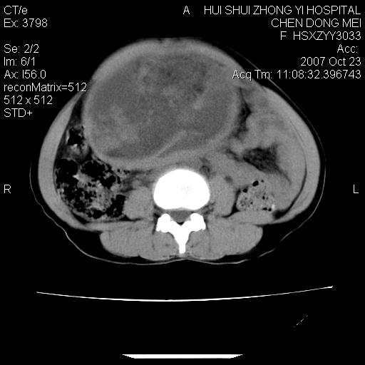
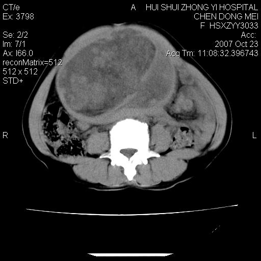
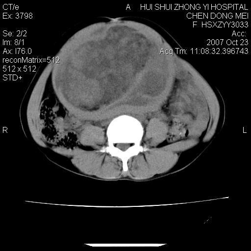
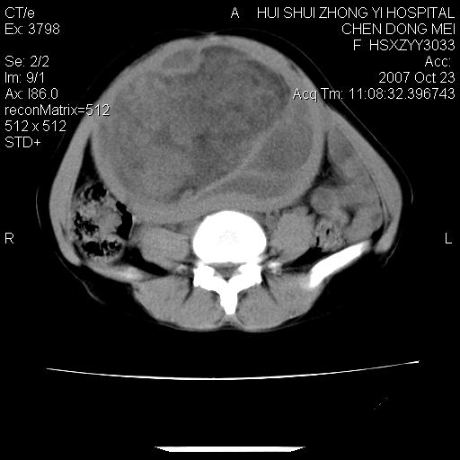
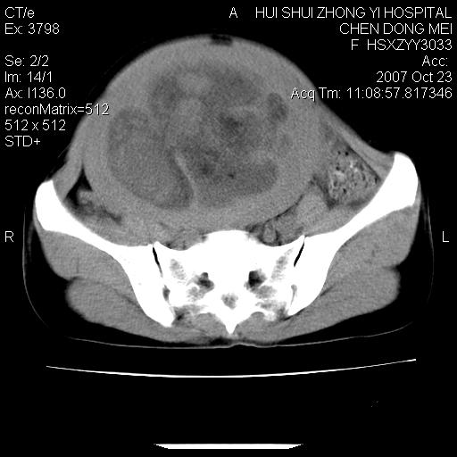
发现中下腹部包都块2年。2年来月经不规律。


























[本贴已被 jiajie 于 2007-10-23 13:45:20 修改过]
作者: zsl6918 时间: 2007-10-23 20:07
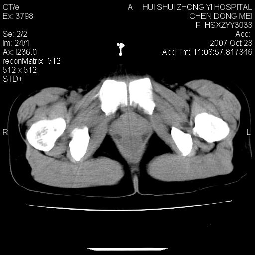
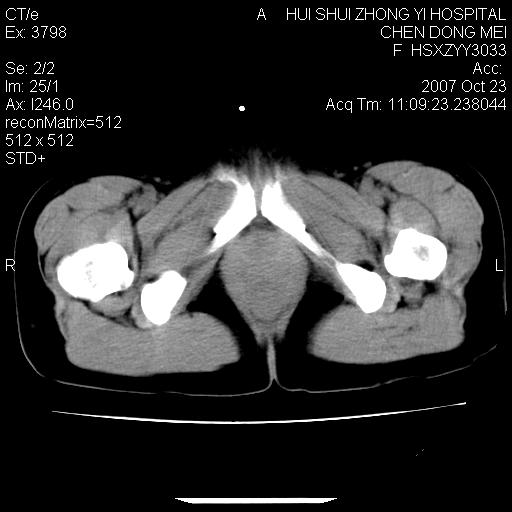
腹腔及盆腔恶性肿瘤可能性大,腹膜后可见肿大的淋巴结影,恶性畸胎瘤?
作者: ybing 时间: 2007-10-23 20:30
卵巢囊腺瘤或癌
作者: qiuleiyu 时间: 2007-10-23 20:51
支持;附件来源肿瘤.1,畸胎瘤?恶变不除外.2,卵巢癌?
作者: jinning 时间: 2007-10-23 20:52
考虑1:囊腺瘤,2:畸胎瘤
作者: zjzjr 时间: 2007-10-23 20:59
卵巢囊腺瘤或癌
作者: liaizhi 时间: 2007-10-23 21:00
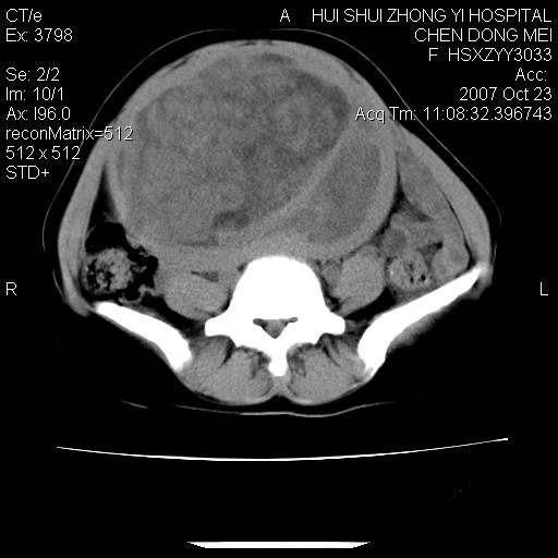
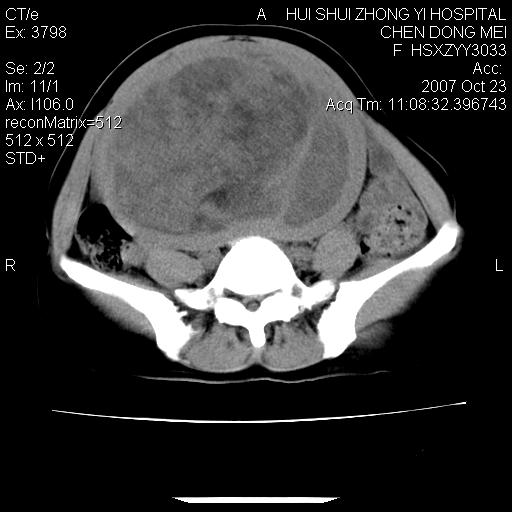
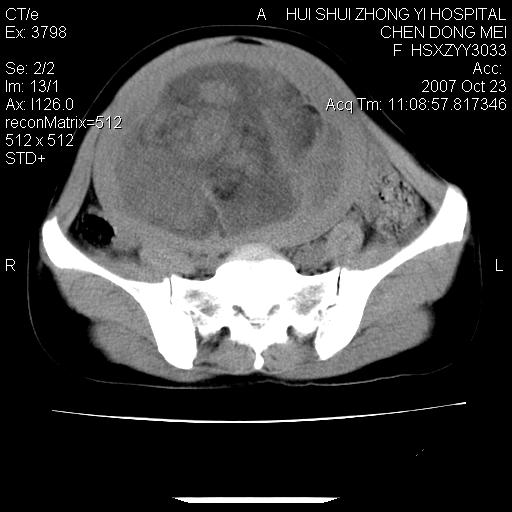
腹腔巨大软组织密度影,边缘光滑,包膜完整,内囊变坏死。腹膜后及盆腔内淋巴结肿大。结合病史考虑卵巢癌可能性大。
作者: 天南地北 时间: 2007-10-23 21:26
考虑来源附件囊腺癌。
作者: qiushi 时间: 2007-10-23 21:37
腹腔巨大软组织密度影,边缘光滑,包膜完整,内囊变坏死。腹膜后及盆腔内淋巴结肿大。结合病史考虑卵巢癌可能性大。
作者: cat60 时间: 2007-10-23 22:05
卵巢囊腺瘤或癌
作者: chmb 时间: 2007-10-23 23:32
病灶内可见脂肪密度影,考虑畸胎瘤可能性大
作者: 同 时间: 2007-10-24 00:03
考虑卵巢囊腺瘤或癌可能性大
作者: gaoshengjiang 时间: 2007-10-24 01:25
病变巨大,呈囊实性改变,包膜较厚且完整,内见分膈,周围脏器明显受压移位,病变与左侧附件关系密切,考虑来源左侧附件的囊腺瘤,不除外癌变可能;畸胎瘤可能性较小。
作者: 余辉 时间: 2007-10-24 04:50
2年了,边缘还光整,未见明显周围侵犯,未见腹水等,病灶\"单发\"考虑\"超级\"子宫肌瘤,楼上各位所述不排除
作者: xulianj 时间: 2007-10-24 05:27
考虑来源附件癌。
作者: 拾荒者 时间: 2007-10-24 06:09
病变巨大,呈囊实性改变,包膜较厚且完整,内见分膈,周围脏器明显受压移位,病变与左侧附件关系密切,考虑来源左侧附件的囊腺瘤,盆腔内见肿大淋巴结,不除外癌变可能。
作者: wy232326 时间: 2007-10-24 17:33
考虑卵巢囊腺瘤或癌可能性大
作者: 宝天曼 时间: 2007-10-25 04:31
支持;附件来源肿瘤.1,畸胎瘤?恶变不除外.2,卵巢癌?
作者: zyyzzy 时间: 2007-10-25 07:54
病变巨大,呈囊实性改变,包膜较厚且完整,内见分膈,周围脏器明显受压移位,病变与左侧附件关系密切,考虑来源左侧附件的囊腺瘤,不除外癌变可能
作者: huahj123 时间: 2007-10-25 08:11
支持附件肿瘤,恶性可能性大.
作者: jinguoji 时间: 2007-12-3 18:23
考虑卵巢囊腺瘤或癌可能性大.
作者: 甲子114 时间: 2007-12-3 23:44
腹膜后可见肿大的淋巴结,卵巢囊腺癌可能性大
作者: sunxb1010 时间: 2007-12-4 00:51
畸胎瘤
| 欢迎光临 医影在线 (http://bbs.radida.com/bbs/) |
Powered by Discuz! X3.2 |