医影在线
标题: CT10160:M56Y,体检发现,病人无不适,病人随访中 [打印本页]
作者: 52yingxiang 时间: 2007-10-23 21:56
标题: CT10160:M56Y,体检发现,病人无不适,病人随访中











































[本贴已被 jiajie 于 2007-10-23 14:05:38 修改过]
作者: 天南地北 时间: 2007-10-23 22:31
前上后纵隔神经原性肿瘤,建议增强扫描
作者: qiuleiyu 时间: 2007-10-23 22:46
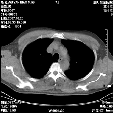
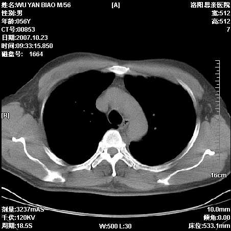
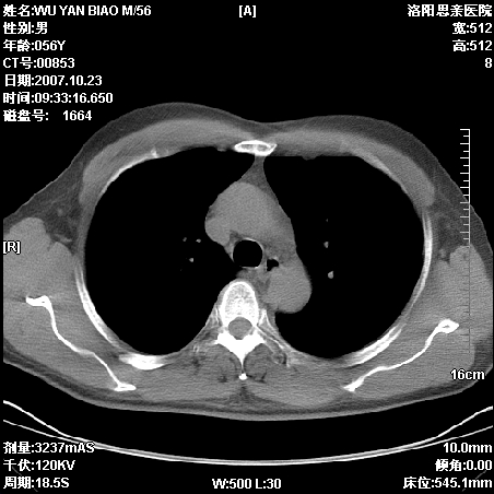
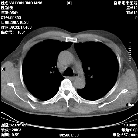
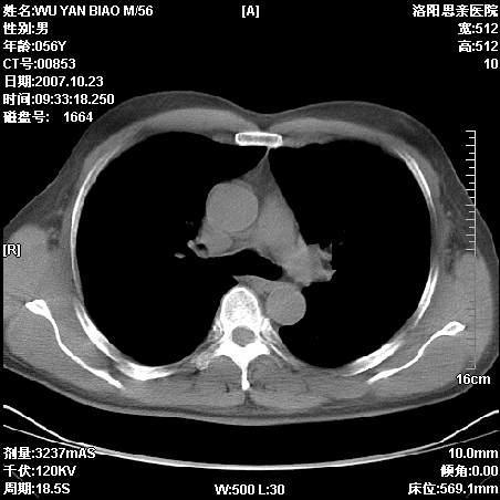
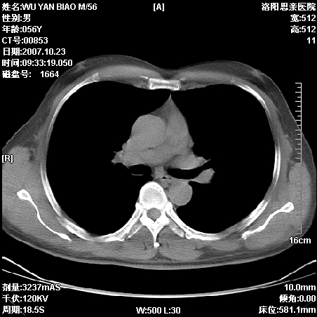
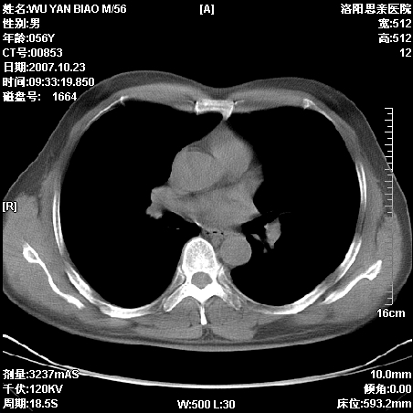
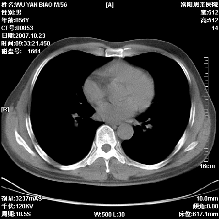
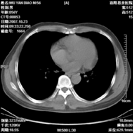
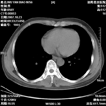
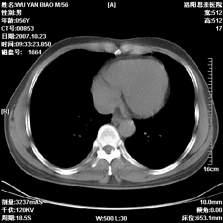
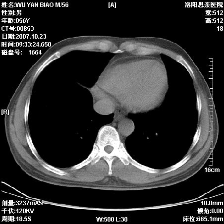
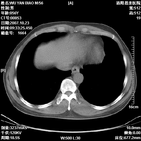
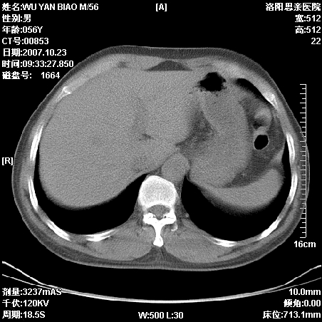
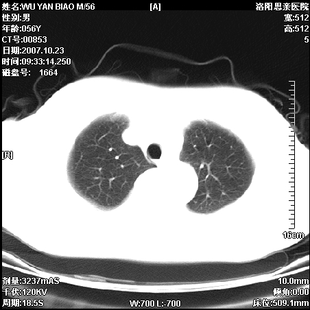
后上纵隔占位,与肺交界清,宽基底附着脊柱,密度均匀,局部骨质无明确改变.
考虑;神经源性肿瘤,---起源交感n链?,不除外肠源性囊肿.
作者: 卜一 时间: 2007-10-23 23:08
与纵隔关系密切,密度均匀。只能考虑:后纵隔神经原性肿瘤!
作者: zjzjr 时间: 2007-10-23 23:34
后纵隔神经原性肿瘤可能性大,孤立性胸膜间皮瘤待排.
作者: chmb 时间: 2007-10-23 23:50
支持5楼意见
作者: hhcckk 时间: 2007-10-24 00:09
支持战友们的神经原性肿瘤
1、病灶在后纵隔脊柱旁沟内,此处是神经原性肿瘤的好发部位
2、病灶边缘光滑整齐,更说明病灶来于纵隔,由于有胸膜的包裹所以才导致这么光滑的边缘
3、病灶内的密度均匀
作者: 同 时间: 2007-10-24 00:10
考虑后纵膈神经源性肿瘤可能性大.
作者: qiushi 时间: 2007-10-24 00:19
考虑后纵隔神经原性肿瘤!
作者: shiqingfa 时间: 2007-10-24 00:38
神经原性肿瘤可能性大
作者: dr.whx 时间: 2007-10-24 00:47
后纵隔神经原性肿瘤!
作者: bzqijie001 时间: 2007-10-24 00:49
后上纵隔占位,与肺交界清,宽基底附着脊柱,密度均匀,局部骨质无明确改变.
考虑;神经源性肿瘤,---起源交感n链?,不除外肠源性囊肿.
作者: gaoshengjiang 时间: 2007-10-24 00:53
后上纵隔神经源性肿瘤!
作者: 老爱克斯 时间: 2007-10-24 02:51
标题: 回复:ct10160:m56y,体检发现,病人无不适,病人随访中
以下是引用卜一在2007-10-23 15:08:00的发言:[br]与纵隔关系密切,密度均匀。只能考虑:后纵隔神经原性肿瘤!
作者: ring002 时间: 2007-10-24 02:57
支持神经源性肿瘤
作者: 52yingxiang 时间: 2007-10-24 03:58
请战友们分析一下,有没有局限性胸腔积液的可能?
作者: 余辉 时间: 2007-10-24 04:38
标题: 回复:ct10160:m56y,体检发现,病人无不适,病人随访中
以下是引用zjzjr在2007-10-23 15:34:00的发言:[br]后纵隔神经原性肿瘤可能性大,孤立性胸膜间皮瘤待排.
作者: shenhs 时间: 2007-10-24 04:43
神经原性肿瘤可能性大
作者: 李海军 时间: 2007-10-24 05:15
标题: 回复:ct10160:m56y,体检发现,病人无不适,病人随访中
以下是引用qiuleiyu在2007-10-23 14:46:00的发言:[br]后上纵隔占位,与肺交界清,宽基底附着脊柱,密度均匀,局部骨质无明确改变.[br]考虑;神经源性肿瘤,---起源交感n链?,不除外肠源性囊肿.
作者: xulianj 时间: 2007-10-24 05:17
支持神经原性肿瘤
作者: 拾荒者 时间: 2007-10-24 06:32
支持神经源性肿瘤。
作者: wy232326 时间: 2007-10-24 17:41
支持神经源性肿瘤
作者: nanjing 时间: 2007-10-24 17:45
考虑后纵膈神经源性肿瘤可能性大
作者: zsl6918 时间: 2007-10-24 20:27
支持后纵隔神经源性肿瘤!鉴别胸腔纤维瘤。
作者: 红樱枪 时间: 2007-10-24 23:53
支持战友们的神经原性肿瘤
1、病灶在后纵隔脊柱旁沟内,此处是神经原性肿瘤的好发部位
2、病灶边缘光滑整齐,更说明病灶来于纵隔,由于有胸膜的包裹所以才导致这么光滑的边缘
3、病灶内的密度均匀
作者: 宝天曼 时间: 2007-10-25 03:59
支持战友们的神经原性肿瘤
1、病灶在后纵隔脊柱旁沟内,此处是神经原性肿瘤的好发部位
2、病灶边缘光滑整齐,更说明病灶来于纵隔,由于有胸膜的包裹所以才导致这么光滑的边缘
3、病灶内的密度均匀
作者: jinguoji 时间: 2007-12-3 18:18
考虑后纵膈神经源性肿瘤可能性大.
作者: tao772 时间: 2007-12-3 21:37
神经元性肿瘤或孤立性间皮瘤。
| 欢迎光临 医影在线 (http://bbs.radida.com/bbs/) |
Powered by Discuz! X3.2 |