医影在线

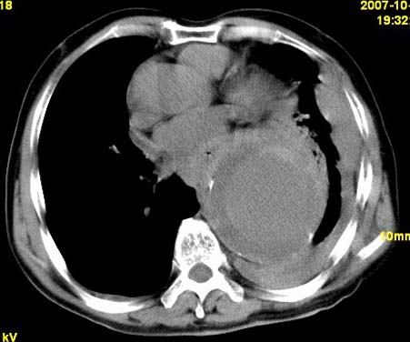
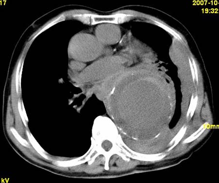
标题: CT10190:男,70,胸部疼痛数年,加重一天。典型病例。 [打印本页]

作者: 狙击手    时间: 2007-10-26 04:05
标题: CT10190:男,70,胸部疼痛数年,加重一天。典型病例。












[本贴已被 翁志蓬 于 2007-10-25 22:45:35 修改过]

作者: 余辉    时间: 2007-10-26 04:12
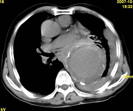
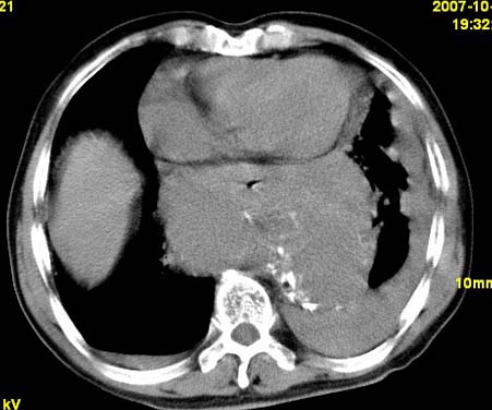
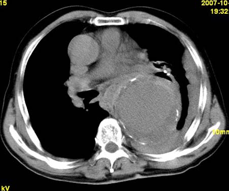
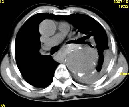
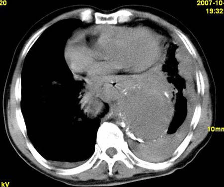
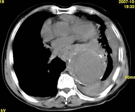
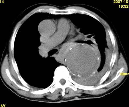
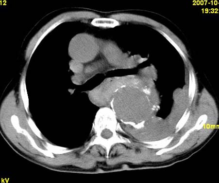
考虑胸主动脉瘤破裂,胸腔积液
作者: xiaoniu    时间: 2007-10-26 04:14
主动脉夹层
作者: qiuleiyu    时间: 2007-10-26 04:15
典型降主动脉瘤伴血栓形成.瘤体下部局部边缘不清,结合病史,不除外局部撕裂外渗可能.另左侧胸水,肺部压迫不张改变.建议增强进一步检查.
作者: 卜一    时间: 2007-10-26 04:25
典型降主动脉瘤伴血栓形成。支持:降主动脉瘤!
作者: wangzhengyuan    时间: 2007-10-26 04:47
降主动脉瘤,破拉!
作者: 随缘的人    时间: 2007-10-26 04:52
考虑胸主动脉瘤并血栓形成,胸腔积液
作者: ydx_74    时间: 2007-10-26 05:27
典型降主动脉瘤伴血栓形成
作者: luochengyi    时间: 2007-10-26 05:43
典型降主动脉瘤伴血栓形成
作者: jsgdoctor    时间: 2007-10-26 05:46
降主动脉瘤,破裂
作者: bzzenghuai1971    时间: 2007-10-26 05:49
胸主动脉瘤破裂,胸腔积液,胸膜肥厚
作者: 蓝星    时间: 2007-10-26 05:59
考虑胸主动脉瘤破裂,胸腔积液
作者: dyqct    时间: 2007-10-26 06:05
标题: 回复:男,70,胸部疼痛数年,加重一天。典型病例。
以下是引用余辉在2007-10-25 20:12:00的发言:[br]考虑胸主动脉瘤破裂,胸腔积液

支持!!症状、表现均典型。
作者: liuyue    时间: 2007-10-26 06:19
1.降主动脉瘤伴血栓形成.2.左侧胸腔积液,考虑为主动脉瘤破裂所致。
作者: yangwq    时间: 2007-10-26 06:21
假腔有洞了?
作者: 天地睹狭    时间: 2007-10-26 06:38
标题: 回复:男,70,胸部疼痛数年,加重一天。典型病例。
以下是引用qiuleiyu在2007-10-25 20:15:00的发言:[br]典型降主动脉瘤伴血栓形成.瘤体下部局部边缘不清,结合病史,不除外局部撕裂外渗可能.另左侧胸水,肺部压迫不张改变.建议增强进一步检查.

作者: 天南地北    时间: 2007-10-26 06:46
标题: 回复:男,70,胸部疼痛数年,加重一天。典型病例。
以下是引用随缘的人在2007-10-25 20:52:00的发言:[br]考虑胸主动脉瘤并血栓形成,胸腔积液  [br]  [br]

作者: xulianj    时间: 2007-10-26 06:53
支持:降主动脉瘤!破裂?胸腔积液。
作者: huahj123    时间: 2007-10-26 06:57
考虑胸主动脉瘤破裂,胸腔积液
作者: yscao    时间: 2007-10-26 07:25
非手术不能治了
作者: zsl6918    时间: 2007-10-26 16:09
胸主动脉瘤附壁血栓形成并破裂出血
作者: 黑白猫    时间: 2007-10-26 18:04
主动脉瘤破裂
作者: wy232326    时间: 2007-10-26 18:31
1.降主动脉瘤伴血栓形成.2.左侧胸腔积液,考虑为主动脉瘤破裂所致。
支持
作者: 朱亮    时间: 2007-10-26 21:43
典型降主动脉瘤伴血栓形成。支持:降主动脉瘤!
作者: 52yingxiang    时间: 2007-10-26 22:22
1.降主动脉瘤伴血栓形成.2.左侧胸腔积液,考虑为主动脉瘤破裂所致
作者: zjzjr    时间: 2007-10-26 23:19
降主动脉瘤,破裂
作者: 拾荒者    时间: 2007-10-27 05:44
降主动脉明显增粗,边缘模糊,周围低密度影,双侧胸膜腔少量积液,结合临床考虑胸主动脉瘤破裂并双侧胸腔积液。
作者: jinguoji    时间: 2007-11-27 22:49
胸主动脉瘤破裂,胸腔积液
作者: dr.yang    时间: 2011-11-10 07:39
降主动脉明显增粗,边缘模糊,周围低密度影,双侧胸膜腔少量积液,结合临床考虑胸主动脉瘤破裂并双侧胸腔积液。




欢迎光临 医影在线 (http://bbs.radida.com/bbs/) Powered by Discuz! X3.2