医影在线
标题: CT10226:盆腔病变,手术结果出来了 [打印本页]
作者: woaixct 时间: 2007-10-28 04:08
标题: CT10226:盆腔病变,手术结果出来了
(结果公布:http://www.radida.com/bbs/forum.php?mod=viewthread&tid=30814)
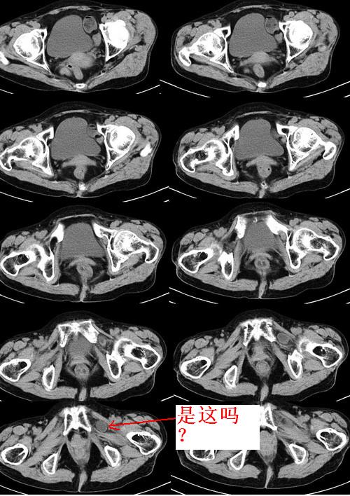
患者女性75岁,腹痛9h余,左腹股沟区可触及一包块,境界不清,压之疼痛明显。
这样病例多在病房内就处理了,一般很少到影像科,帖出来大家共同学习。

[本贴已被 jiajie 于 2007-10-29 22:44:48 修改过]
作者: 王仕学 时间: 2007-10-28 04:17
标题: 回复:盆腔病变,有手术结果

疝?
[本贴已被 王仕学 于 2007-10-27 20:28:48 修改过]
作者: woaixct 时间: 2007-10-28 04:28
是滴
作者: 狙击手 时间: 2007-10-28 04:43
左侧腹股沟股疝。
作者: zyyzzy 时间: 2007-10-28 04:46
左侧腹股沟股疝
作者: 卜一 时间: 2007-10-28 04:47
标题: 回复:盆腔病变,有手术结果

作者: jsgdoctor 时间: 2007-10-28 05:29
左侧腹股沟股疝。
作者: 天南地北 时间: 2007-10-28 05:29
可能为腹股沟直疝
作者: 拾荒者 时间: 2007-10-28 06:28
疝囊经股环,股管向股部卵圆窝突出的疝称为股疝。多见于中年以上妇女。这是因为女性骨盆较宽广,联合肌腱和腔隙韧带较薄弱,以致股管上口宽大松弛的缘故。
作者: lww2005 时间: 2007-10-28 07:01
支持左侧腹股沟股疝
作者: liaizhi 时间: 2007-10-28 07:08
标题: 回复:ct10226:盆腔病变,有手术结果
以下是引用天南地北在2007-10-27 21:29:00的发言:[br]可能为腹股沟直疝
作者: shenhs 时间: 2007-10-28 08:14
支持左侧腹股沟股疝
作者: liuyue 时间: 2007-10-28 15:57
左侧腹股沟股疝。
作者: zsl6918 时间: 2007-10-28 16:21
挺好,学习了,谢谢
作者: zjzjr 时间: 2007-10-28 16:58
左侧腹股沟股疝。
作者: nanjing 时间: 2007-10-28 17:35
左侧腹股沟股疝。
作者: gaoshengjiang 时间: 2007-10-28 18:19
左侧股疝
作者: dyqct 时间: 2007-10-28 19:10
考虑左侧闭孔疝。
作者: liuqiang 时间: 2007-10-28 22:23
左侧腹股沟股疝。
作者: wqs571018 时间: 2007-10-28 23:55
支持左侧腹股沟股疝
作者: qc80012345 时间: 2007-10-29 00:03
腹股沟疝分直疝和斜疝两种;我认为;是直疝。
作者: 汪涛同志 时间: 2007-10-29 00:39
标题: 回复:ct10226:盆腔病变,有手术结果
以下是引用qc80012345在2007-10-28 16:03:00的发言:[br]腹股沟疝分直疝和斜疝两种;我认为;是直疝。
能表述一下你的理由么?什么为直疝?什么为斜疝?你是如何从平扫来判断的?如何区别?理由是什么?
我想学习一下。
作者: xulianj 时间: 2007-10-29 02:19
左侧腹股沟股疝
作者: wansheng 时间: 2007-10-29 02:22
支持左侧腹股沟股疝
作者: 羊皮 时间: 2007-10-29 02:41
标题: 回复:ct10226:盆腔病变,有手术结果
以下是引用wqs571018在2007-10-28 15:55:00的发言:[br]支持左侧腹股沟股疝
作者: 同 时间: 2007-10-29 04:00
考虑左侧腹股沟股疝.
作者: yangwq 时间: 2007-10-29 05:16
腹股沟疝
作者: ydx_74 时间: 2007-10-29 05:37
直疝
作者: yingjiayiyuan 时间: 2007-10-29 06:48
左侧腹股沟股疝。
作者: 我想了解 时间: 2007-10-29 07:04
学习了,谢谢!
作者: nanjing 时间: 2007-10-31 07:57
腹股沟嵌顿性疝是肯定的,但结果还是没公布是什么疝
作者: 借我一双 时间: 2007-10-31 18:26
好病例
作者: wy232326 时间: 2007-10-31 18:32
左腹股沟嵌顿性疝
学习了谢谢楼主
作者: sph 时间: 2007-11-1 02:28
支持左侧腹股沟股疝
作者: jinguoji 时间: 2007-11-27 19:13
左腹股沟嵌顿性疝---学习了,谢谢楼主!
作者: dr.yang 时间: 2011-11-9 23:54
左腹股沟嵌顿性疝
学习了谢谢楼主
欢迎光临 医影在线 (http://bbs.radida.com/bbs/) |
Powered by Discuz! X3.2 |