医影在线
标题: CT10239:男,42Y.我自己的胸部CT扫描,今天10点突然咯血一次。 [打印本页]
作者: lpc0ct 时间: 2007-10-29 19:22
标题: CT10239:男,42Y.我自己的胸部CT扫描,今天10点突然咯血一次。
(结果公布:http://www.radida.com/bbs/forum.php?mod=viewthread&tid=32318)
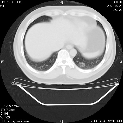
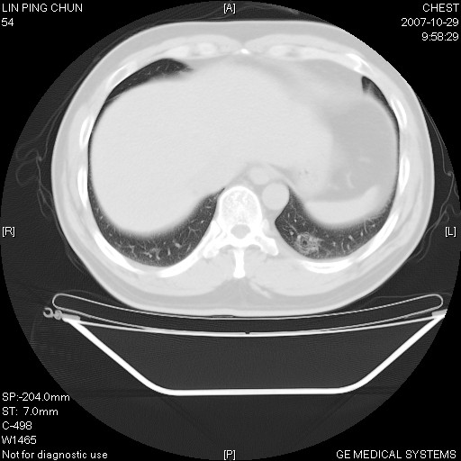
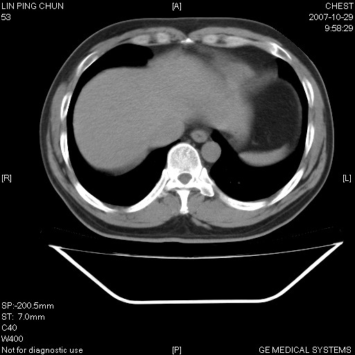
我自己胸部ct扫描,求助大家,我自己还不能给自己诊断。其他层面纵隔窗无异常。













[本贴已被 jiajie 于 2007-10-30 9:28:39 修改过]
[本贴已被 翁志蓬 于 2007-12-8 22:54:54 修改过]
作者: lpc0ct 时间: 2007-10-29 19:25
补充:男,42y.今天10点突然咯血一次。余无异常。
作者: 312nanyang 时间: 2007-10-29 19:40
请我们主任会诊了一下,应当警惕肺癌可能,最好做个高分辨ct检查,上传纵隔窗、肺窗
作者: nanjing 时间: 2007-10-29 19:57
标题: 应该是炎性病灶
应该是炎性病灶,为片状模糊影,无明显团块状,抗炎后复查。
[本贴已被 nanjing 于 2007-10-29 12:08:28 修改过]
作者: huxinbo2003 时间: 2007-10-29 20:40
不排除tb的可能。
作者: wangdch2008 时间: 2007-10-29 20:51
穿刺吧
作者: qiuleiyu 时间: 2007-10-29 20:52
左肺下叶后基底段小片结节状影,内部似见同心圆状分布条絮状影,整个病灶,质不实.局部见增粗血管影.
考虑;球形肺炎可能大.自已的身体如此重要,不进一步局部薄层及hrct?
作者: wyt120 时间: 2007-10-29 20:58
结核可能性大,不排除肺癌.
作者: qiushi 时间: 2007-10-29 21:01
考虑炎症,建议抗炎治疗后复查
作者: 天南地北 时间: 2007-10-29 21:12
考虑炎症,建议抗炎治疗后复查
作者: zjzjr 时间: 2007-10-29 21:42
上传纵隔窗看一看.
作者: SPH 时间: 2007-10-29 21:48
支气管扩张
作者: wansheng 时间: 2007-10-29 21:55
考虑炎症,建议抗炎治疗后复查
作者: lpc0ct 时间: 2007-10-29 23:12
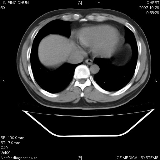
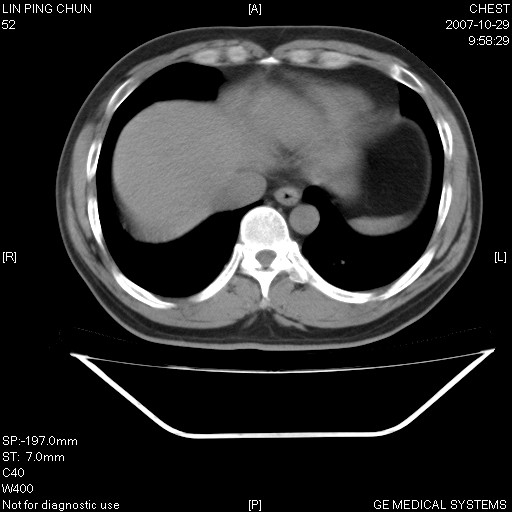
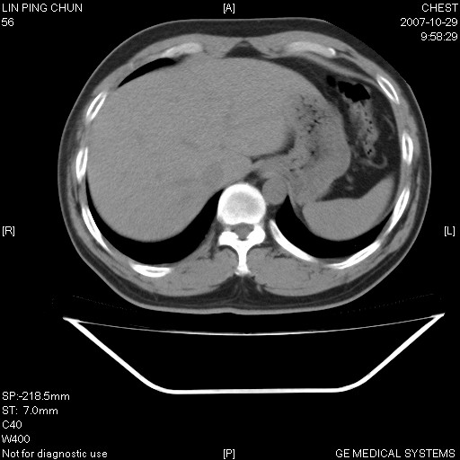
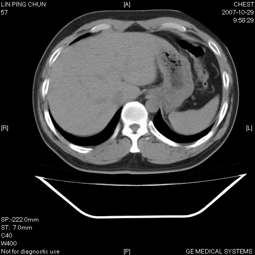
谢谢大家!!!上传纵隔窗,请大家帮我分析。
作者: 同 时间: 2007-10-29 23:46
先抗炎治疗,伴个月后复查.
作者: dyqct 时间: 2007-10-29 23:46
左下肺后基底段磨玻璃样影,很多病都可以。不能吊以轻心。应该做局部增强hrct进一步检查,并严格抗炎治疗后复查或经皮活检。
作者: jiangjing 时间: 2007-10-30 00:11
左下肺后基底段小斑片泪膜玻璃样影,其内可见空泡影,边缘可见小毛刺影。建议抗炎治疗复查,肿瘤待排
作者: clj20 时间: 2007-10-30 00:24
老兄要挺住啊。我曾经和你有一样的遭遇,放心!最大可能是小结核干酪灶伴空洞而已。
作者: 卜一 时间: 2007-10-30 00:35
球形肺炎可能大,支持!
作者: zsl6918 时间: 2007-10-30 02:03
老兄,我建议您把病灶做个薄层处理,靶重建,然后上传过来,您仔细看看现在的病灶特点,小病灶,边界清,内见空泡征,高度警惕细支气管肺泡癌,最好的结局就是aah(不典型性腺瘤样增生).我会密切关注您的.另外,现在您可正规抗炎治疗半月后,与3个月后复查观察病灶变化,如没有太大变化,我建议您立即手术,放心!即使是肺癌也是早期,不会影响您的生命的,祝您好运.
作者: 拾荒者 时间: 2007-10-30 04:25
标题: 回复:ct10239:男,42y.我自己的胸部ct扫描,今天10点突然咯血
以下是引用zsl6918在2007-10-29 18:03:00的发言:[br]老兄,我建议您把病灶做个薄层处理,靶重建,然后上传过来,您仔细看看现在的病灶特点,小病灶,边界清,内见空泡征,高度警惕细支气管肺泡癌,最好的结局就是aah(不典型性腺瘤样增生).我会密切关注您的.另外,现在您可正规抗炎治疗半月后,与3个月后复查观察病灶变化,如没有太大变化,我建议您立即手术,放心!即使是肺癌也是早期,不会影响您的生命的,祝您好运.
支持!祝楼主好运!
作者: xulianj 时间: 2007-10-30 05:03
抗炎治疗后复查。不要紧张,肿瘤的可能性不大,尤其是周围表现不典型。
作者: 眼睛 时间: 2007-10-30 08:37
标题: 支持
老兄,我建议您把病灶做个薄层处理,靶重建,然后上传过来,您仔细看看现在的病灶特点,小病灶,边界清,内见空泡征,高度警惕细支气管肺泡癌,最好的结局就是aah(不典型性腺瘤样增生).我会密切关注您的.另外,现在您可正规抗炎治疗半月后,与3个月后复查观察病灶变化,如没有太大变化,我建议您立即手术,放心!即使是肺癌也是早期,不会影响您的生命的,祝您好运.
[本贴已被 眼睛 于 2007-10-30 0:40:51 修改过]
作者: yuhongjun 时间: 2007-10-30 14:21
祝您好运.
看你的片子,感觉心里有一种酸楚,我们都是搞医疗的,不知道怎么安慰你,我明确不了诊断,但是我觉得无论什么我们都应该以科学的角度来面对,及早确诊及早治疗。相信你能早日康复。
作者: lpc0ct 时间: 2007-10-30 17:43
在社会主意形式一片大好的基础上,在党的17大胜利闭幕之期,衷心感谢各位同仁的宝贵意见,我现在已正规抗炎治疗,决定约10天后复查,并薄层扫描。不管结果如何,都会在本网站发表,希望各位同仁关注,我也不管最后结果如何,都将在以后的工作中,高举邓小平理论,江泽民三个代表,胡锦涛构建和谐社会的重要思想更加努力工作,将自己的青春热血撒在我热爱的影像工作岗位上......
作者: jinguoji 时间: 2007-11-27 17:26
标题: 回复:ct10239:男,42y.我自己的胸部ct扫描,今天10点突然咯血
以下是引用yuhongjun在2007-10-30 6:21:00的发言:[br]祝您好运.[br]看你的片子,感觉心里有一种酸楚,我们都是搞医疗的,不知道怎么安慰你,我明确不了诊断,但是我觉得无论什么我们都应该以科学的角度来面对,及早确诊及早治疗。相信你能早日康复。
作者: shuhuang2007 时间: 2007-11-27 17:58
炎症可能性大,严格抗炎治疗后复查。
作者: jeanny 时间: 2007-12-15 02:33
结核可能,不排除肺癌.
| 欢迎光临 医影在线 (http://bbs.radida.com/bbs/) |
Powered by Discuz! X3.2 |