医影在线
标题: CT10251:男性56岁,结核球? [打印本页]
作者: lczeng 时间: 2007-10-30 01:52
标题: CT10251:男性56岁,结核球?
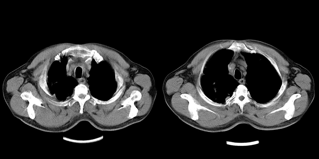
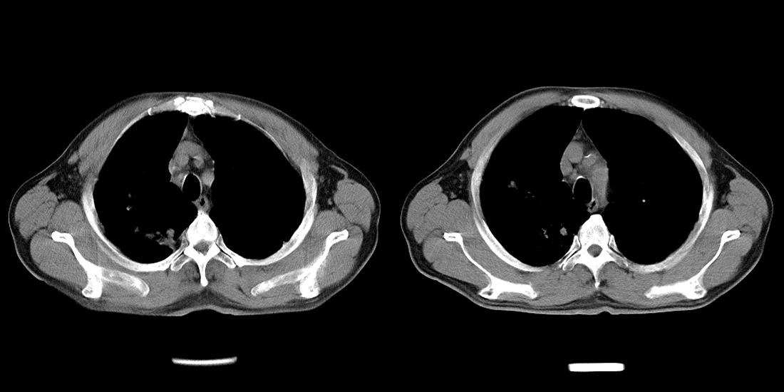
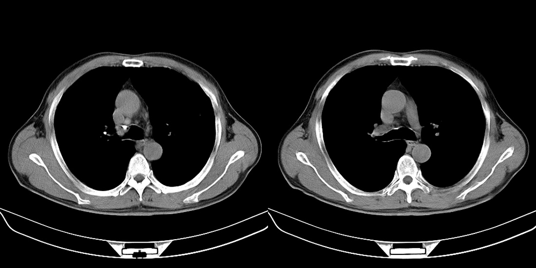
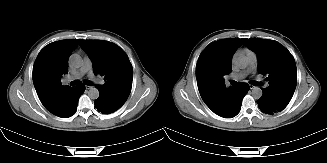
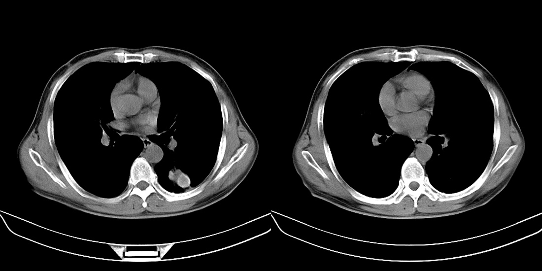
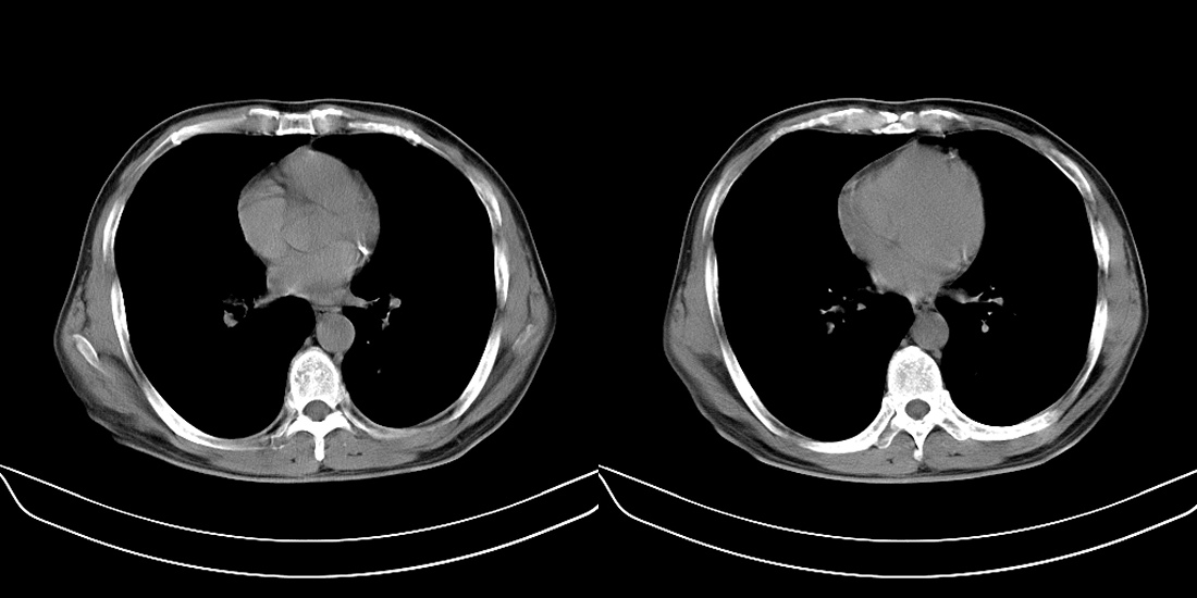
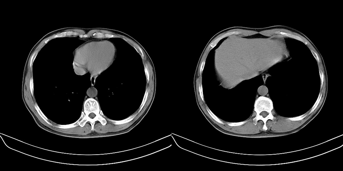
56岁男性,低热、消瘦,曾x线诊断肺结核。
















[本贴已被 jiajie 于 2007-10-29 18:01:15 修改过]
作者: he13245678 时间: 2007-10-30 02:00
两肺结核
作者: zsl6918 时间: 2007-10-30 02:06
同意结核诊断
作者: wuailiang 时间: 2007-10-30 02:53
支持结核诊断
作者: gaoshengjiang 时间: 2007-10-30 02:57
两肺结核,左肺结核球。
作者: zjzjr 时间: 2007-10-30 03:08
支持结核诊断
作者: 余辉 时间: 2007-10-30 03:37
支持结核诊断
作者: 276894491 时间: 2007-10-30 03:41
双肺结核伴左上肺结核球形成
作者: zhou63059 时间: 2007-10-30 03:44
两肺结核,左肺结核球。
作者: qiuleiyu 时间: 2007-10-30 03:52
两肺多形性病变,支持肺结核.
作者: liuhongling234 时间: 2007-10-30 04:09
标题: 回复:ct10251:男性56岁,结核球?
以下是引用gaoshengjiang在2007-10-29 18:57:00的发言:[br]两肺结核,左肺结核球。
作者: 西凡 时间: 2007-10-30 04:15
两肺多形性病变,且在结核好发部位。支持肺结核.
作者: wangzhengyuan 时间: 2007-10-30 04:19
同意结核
作者: huahj123 时间: 2007-10-30 04:20
标题: 回复:ct10251:男性56岁,结核球?
以下是引用gaoshengjiang在2007-10-29 18:57:00的发言:[br]两肺结核,左肺结核球。
作者: wei98ying 时间: 2007-10-30 04:28
两肺结核 ,左肺结核球.
作者: 眼睛 时间: 2007-10-30 04:34
两肺多形性病变,且在结核好发部位。支持肺结核.
作者: 同 时间: 2007-10-30 04:37
支持楼主意见,两肺结核.
作者: 54guan13 时间: 2007-10-30 04:56
支持肺结核。
作者: luochengyi 时间: 2007-10-30 05:10
两肺结核,左肺结核球。
作者: qiushi 时间: 2007-10-30 05:16
支持结核诊断
作者: 王光光 时间: 2007-10-30 05:23
两肺多形性病变,支持肺结核.
作者: xulianj 时间: 2007-10-30 05:38
支持
作者: 拾荒者 时间: 2007-10-30 05:44
两肺结核,左肺结核球。
作者: syfszcw 时间: 2007-10-30 05:47
结核应该是没有问题的!
作者: jsgdoctor 时间: 2007-10-30 05:57
标题: 回复:ct10251:男性56岁,结核球?
以下是引用余辉在2007-10-29 19:37:00的发言:[br]支持结核诊断
作者: liuyue 时间: 2007-10-30 06:02
支持结核诊断.
作者: 国王 时间: 2007-10-30 06:19
结核
作者: yuhongjun 时间: 2007-10-30 14:47
支持结核诊断
作者: psh 时间: 2007-10-30 15:43
支持。
作者: zyyzzy 时间: 2007-10-30 22:50
支持结核诊断
作者: jinguoji 时间: 2007-11-26 23:16
两肺结核,左肺结核球。
| 欢迎光临 医影在线 (http://bbs.radida.com/bbs/) |
Powered by Discuz! X3.2 |