医影在线
标题: X2880:胫骨结节前方的小骨是什么? [打印本页]
作者: 岩光蛋 时间: 2007-11-2 19:06
标题: X2880:胫骨结节前方的小骨是什么?


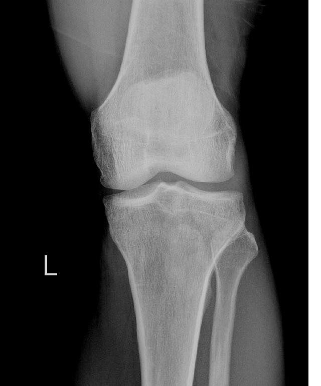
会不会是副髌骨???其内似可见骨小梁,如果是钙化可能不会有骨小梁吧??疑问中……
[本贴已被 jiajie 于 2007-11-2 11:35:17 修改过]
[本贴已被 岩光蛋 于 2007-11-2 23:56:33 修改过]
[本贴已被 岩光蛋 于 2007-11-2 23:58:11 修改过]
作者: 王仕学 时间: 2007-11-2 19:23
髌韧带钙化可能性大.
作者: 天南地北 时间: 2007-11-2 20:39
标题: 回复:x2880:胫骨结节前方的小骨是什么?
以下是引用王仕学在2007-11-2 11:23:00的发言:[br]髌韧带钙化可能性大.
作者: let8977529 时间: 2007-11-2 20:52
标题: 回复:x2880:胫骨结节前方的小骨是什么?
以下是引用王仕学在2007-11-2 11:23:00的发言:[br]髌韧带钙化可能性大.
作者: glf666 时间: 2007-11-2 20:55
标题: 回复:x2880:胫骨结节前方的小骨是什么?
以下是引用王仕学在2007-11-2 11:23:00的发言:[br]髌韧带钙化可能性大.
作者: clj20 时间: 2007-11-3 00:22
胫骨结节骨软骨炎
作者: 小初学者 时间: 2007-11-3 01:56
标题: 回复:x2880:胫骨结节前方的小骨是什么?
以下是引用王仕学在2007-11-2 11:23:00的发言:[br]髌韧带钙化可能性大.
支持
作者: 李 时间: 2007-11-3 02:10
没融合的骨骺.或膑韧带钙化.
作者: yuhongjun 时间: 2007-11-3 02:15
髌韧带钙化可能性大.
作者: hhcckk 时间: 2007-11-3 02:29
应该是副骨
是多个骨化中心在发育过程中没有合并所导致
作者: jiangjing 时间: 2007-11-3 02:30
髌韧带钙化可能性大.
作者: zhengfaming 时间: 2007-11-3 02:38
应该是韧带的钙化,或者副骨
作者: zhanglinzhong 时间: 2007-11-3 03:30
胫骨结节骨软骨炎
作者: LWW2005 时间: 2007-11-3 03:51
应该是韧带的钙化,或者副骨
作者: zdwys 时间: 2007-11-3 03:54
髌韧带钙化可能性大
作者: 常山真人 时间: 2007-11-3 04:22
完全可以排除髌韧带钙化.考虑发育原因或以前有过胫骨结节骨软骨炎病史.
作者: yangwq 时间: 2007-11-3 04:23
骨化性肌炎
作者: pingdongying 时间: 2007-11-3 04:58
考虑发育原因或以前有过胫骨结节骨软骨炎病史.
作者: darrenzhang 时间: 2007-11-3 05:24
髌韧带钙化,考虑以前患过胫骨结节骨软骨炎
作者: 石门之剑 时间: 2007-11-3 06:11
软组织骨化,髌韧带骨化可能性大。
作者: zxczxc 时间: 2007-11-3 07:10
胫骨结节骨软骨炎。
作者: tfq6909 时间: 2007-11-3 07:30
钙化
作者: 麻醉一生 时间: 2007-11-3 17:20
骨疣
作者: swyyy2007 时间: 2007-11-3 22:58
变异吧,同意10楼意见
作者: wy232326 时间: 2007-11-3 23:50
考虑发育原因或以前有过胫骨结节骨软骨炎病史
作者: wy232326 时间: 2007-11-3 23:51
支持16楼
作者: dyqct 时间: 2007-11-4 00:20
标题: 回复:x2880:胫骨结节前方的小骨是什么?
以下是引用常山真人在2007-11-2 20:22:00的发言:[br]完全可以排除髌韧带钙化.考虑发育原因或以前有过胫骨结节骨软骨炎病史.[br]
支持!
作者: zhangkening 时间: 2007-11-4 02:13
支持韧带钙化.
作者: zhangxiangjun 时间: 2007-11-5 00:16
完全可以排除髌韧带钙化.考虑发育原因或以前有过胫骨结节骨软骨炎病史.
支持!
作者: zhangkai 时间: 2007-11-5 03:42
考虑肌腱及韧带的骨化可能性大。
作者: ctl258 时间: 2007-11-5 04:10
标题: 回复:x2880:胫骨结节前方的小骨是什么?
以下是引用王仕学在2007-11-2 11:23:00的发言:[br]髌韧带钙化可能性大.
作者: 余辉 时间: 2007-11-5 04:17
标题: 回复:x2880:胫骨结节前方的小骨是什么?
以下是引用李在2007-11-2 18:10:00的发言:[br]没融合的骨骺.或膑韧带骨化.
作者: yangfudong2007 时间: 2007-11-5 07:17
应该是胫骨结节骨软骨病 可以双侧对比
作者: 陈斌1999 时间: 2007-11-8 19:04
没融合的骨骺
作者: jinguoji 时间: 2007-11-17 07:31
标题: 回复:x2880:胫骨结节前方的小骨是什么?
以下是引用常山真人在2007-11-2 20:22:00的发言:[br]完全可以排除髌韧带钙化.考虑发育原因或以前有过胫骨结节骨软骨炎病史.[br]
支持!
作者: zhx119 时间: 2007-11-18 05:32
二次骨化中心未融合.~
作者: shibing 时间: 2013-6-12 15:08
胫骨结节骨软骨炎
| 欢迎光临 医影在线 (http://bbs.radida.com/bbs/) |
Powered by Discuz! X3.2 |