




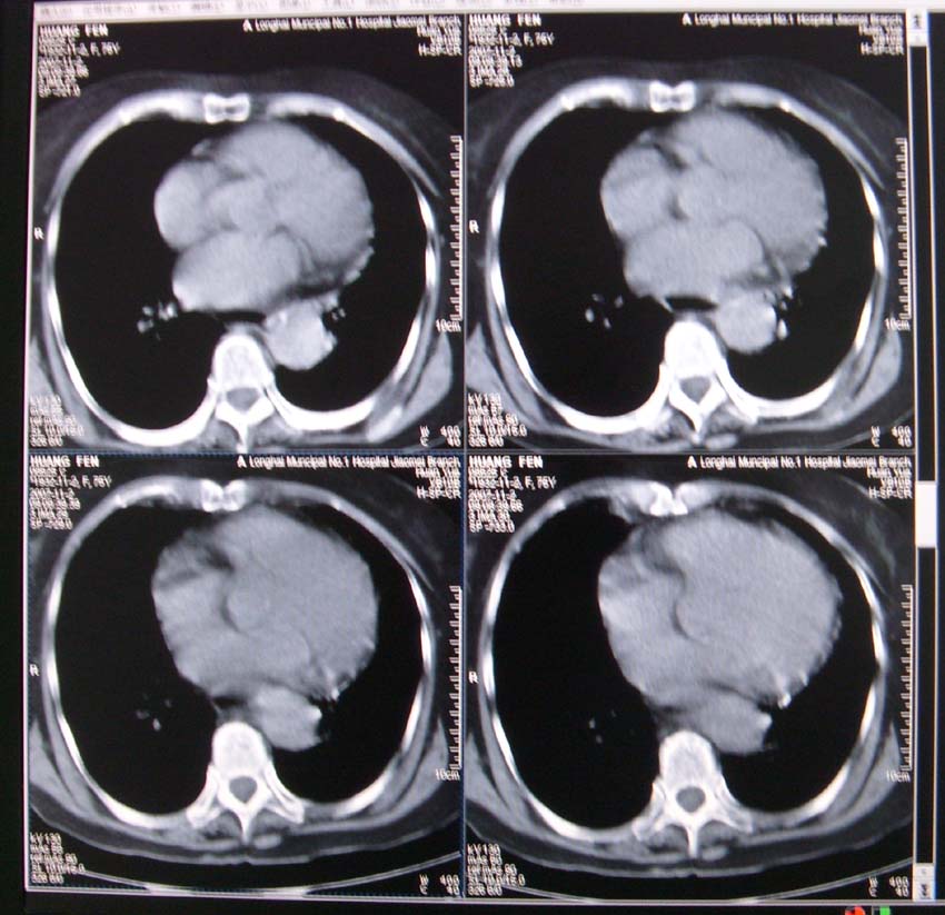
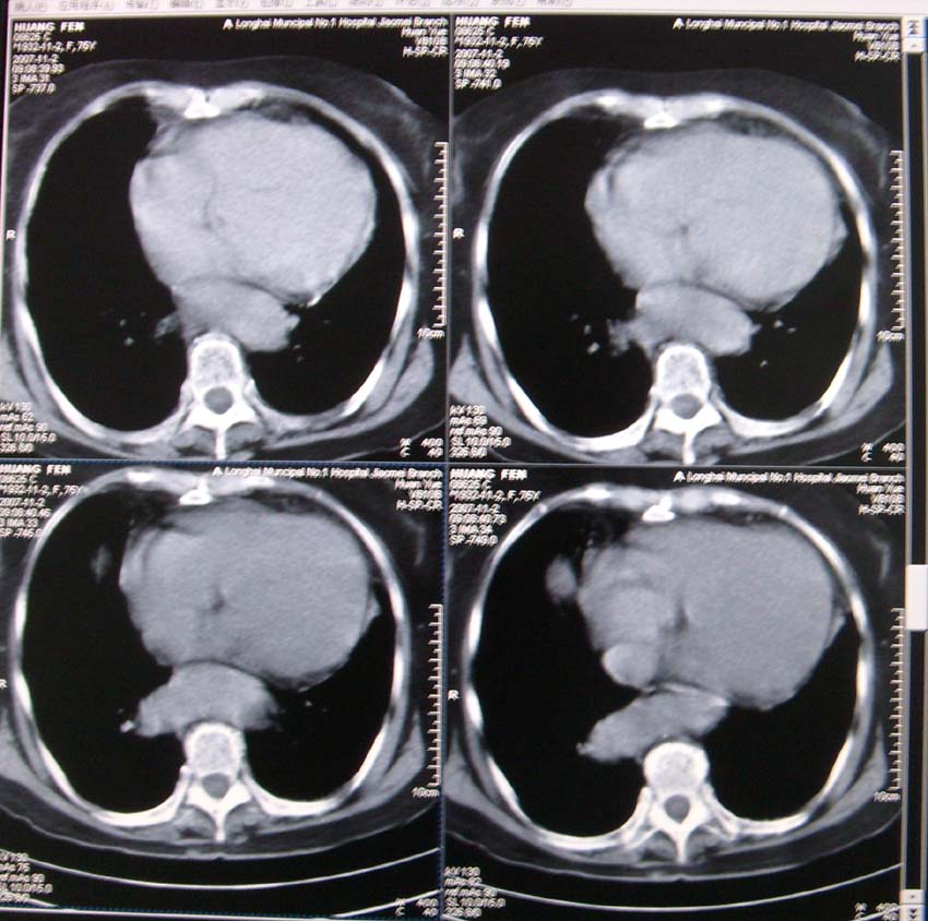
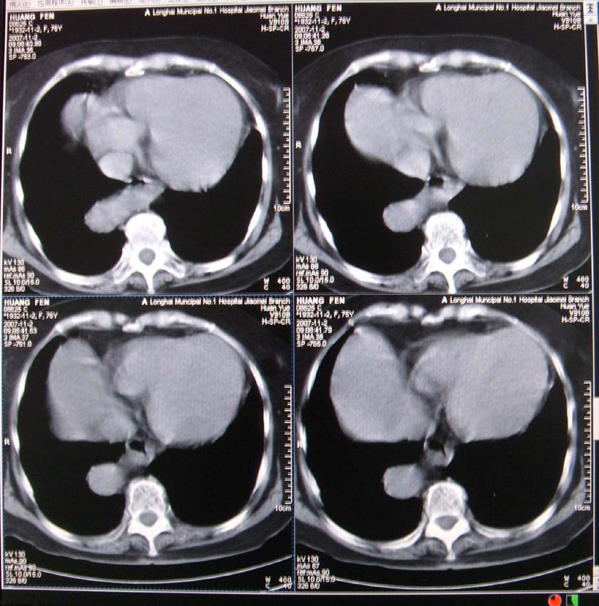
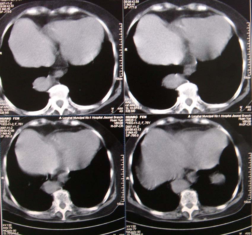
以下是引用xiaoniu在2007-11-4 12:05:00的发言:[br]这是胸主动脉迂曲延长造成的下段向右移行的影像表现,应该是:胸主动脉移行段。[br]
以下是引用xiaoniu在2007-11-4 12:05:00的发言:[br]这是胸主动脉迂曲延长造成的下段向右移行的影像表现,应该是:胸主动脉移行段。[br]
以下是引用nanjing在2007-11-4 12:21:00的发言:[br]降主动脉迂曲移位。
| 欢迎光临 医影在线 (http://bbs.radida.com/bbs/) | Powered by Discuz! X3.2 |