医影在线

标题: CT10331:F18Y,请教,正常吗 [打印本页]

作者: 王明发    时间: 2007-11-4 19:56
标题: CT10331:F18Y,请教,正常吗
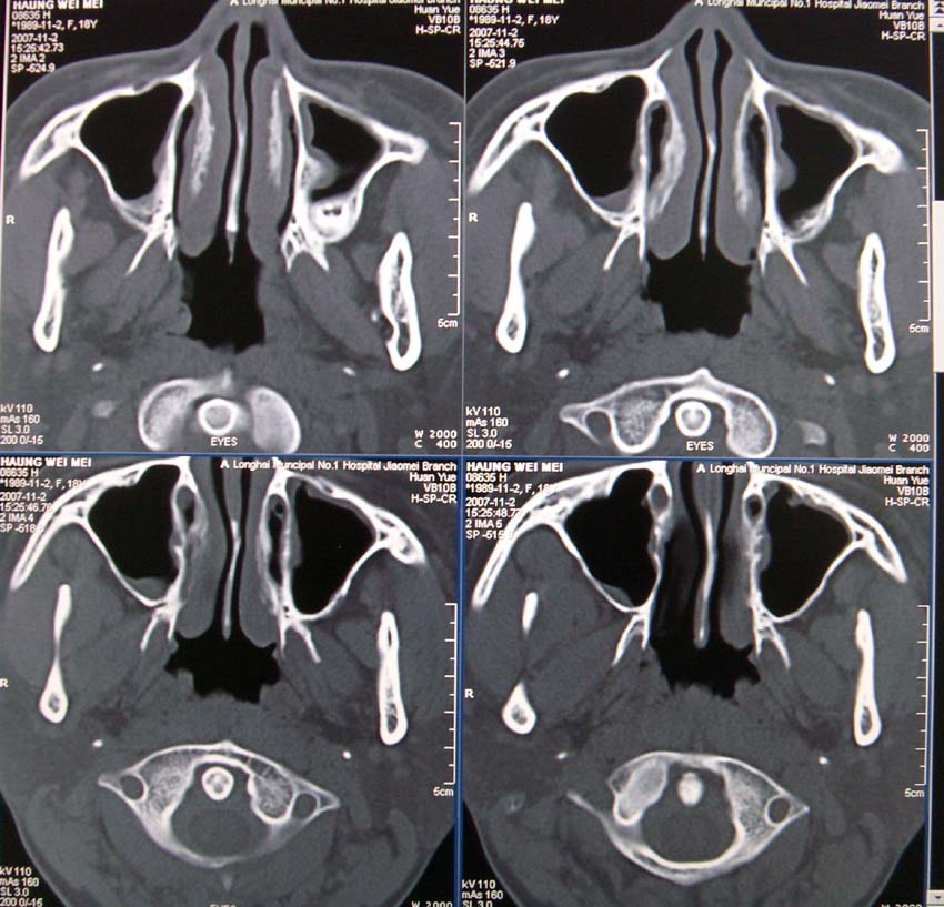
请问左侧上颌窦内见牙根影,是正常吗。




[本贴已被 jiajie 于 2007-11-4 13:32:15 修改过]

作者: gaoshengjiang    时间: 2007-11-4 20:00
两侧上颌窦粘膜增厚,为慢性炎症;余为正常表现。
作者: nanjing    时间: 2007-11-4 20:23
两侧上颌窦粘膜增厚,为慢性炎症;牙根影正常
作者: qiuleiyu    时间: 2007-11-4 21:36
支持;上楼分析.
作者: 卜一    时间: 2007-11-5 00:08
两侧上颌窦粘膜增厚,为慢性炎症;牙根影正常!支持!
作者: liuyue    时间: 2007-11-5 01:24
两侧上颌窦粘膜增厚,为慢性炎症;牙根影正常!支持!
作者: 杨兆辉    时间: 2007-11-5 01:47
支持双层上颌窦慢性炎症,牙根正常
作者: xinhai18    时间: 2007-11-5 02:19
标题: 回复:ct10331:f18y,请教,正常吗
以下是引用杨兆辉在2007-11-4 17:47:00的发言:[br]支持双层上颌窦慢性炎症,牙根正常[br]

作者: 老马    时间: 2007-11-5 03:09
是正常的,请问这个人多少岁啊
作者: 吴勇建    时间: 2007-11-5 03:15
双上颌窦炎症,余未见异常.冠状位重建,有助了解牙根的解剖位置.
作者: 余辉    时间: 2007-11-5 03:15
标题: 回复:ct10331:f18y,请教,正常吗
以下是引用gaoshengjiang在2007-11-4 12:00:00的发言:[br]两侧上颌窦粘膜增厚,为慢性炎症;余为正常表现。

作者: shiqingfa    时间: 2007-11-5 03:49
两侧上颌窦粘膜增厚,为慢性炎症;余为正常表现。
支持
作者: 随缘的人    时间: 2007-11-5 04:00
两侧上颌窦粘膜增厚,为慢性炎症;牙根影正常!支持!
作者: 同    时间: 2007-11-5 04:26
双侧上颌窦慢性炎症.
作者: zhangkai    时间: 2007-11-5 04:53
双侧上頜窦慢性炎症,做冠扫可能好看些。
作者: 拾荒者    时间: 2007-11-5 05:06
两侧上颌窦粘膜增厚,为慢性炎症;牙根影正常!
支持!
作者: shenhs    时间: 2007-11-5 05:08
两侧上颌窦粘膜增厚,为慢性炎症;余为正常表现。
支持
作者: baocx6868    时间: 2007-11-5 05:16
双侧上额窦炎。压根正常
作者: wangdch2008    时间: 2007-11-5 06:06
双侧上颌窦炎,余无异常
作者: gdxiaozhe    时间: 2007-11-5 06:39
双上颌窦炎症,余未见异常.
作者: zjzjr    时间: 2007-11-5 17:09
双上颌窦炎,慢性鼻炎.
作者: zyx168    时间: 2007-11-6 01:12
两侧上颌窦粘膜增厚,为慢性炎症;牙根影正常.鼻甲粘膜肥厚.
作者: qc80012345    时间: 2007-11-6 03:25
两侧上颌窦粘膜增厚,为慢性炎症;牙根影正常;遗憾。
作者: 宝天曼    时间: 2007-11-6 04:59
两侧上颌窦粘膜增厚,为慢性炎症;牙根影正常
作者: jinguoji    时间: 2007-11-26 06:17
支持----两侧上颌窦粘膜增厚,为慢性炎症;余为正常表现。




欢迎光临 医影在线 (http://bbs.radida.com/bbs/) Powered by Discuz! X3.2