医影在线
标题: CT10343:求助 讨论 脑干梗塞? [打印本页]
作者: lihuuuu 时间: 2007-11-5 19:39
标题: CT10343:求助 讨论 脑干梗塞?
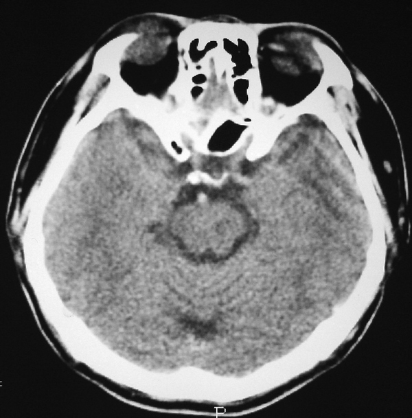
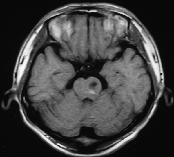
男 49岁 脑干腔隙梗塞5年。

求助 哪位发个小脑脚交叉图片 看书上的图片模糊不清
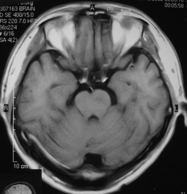
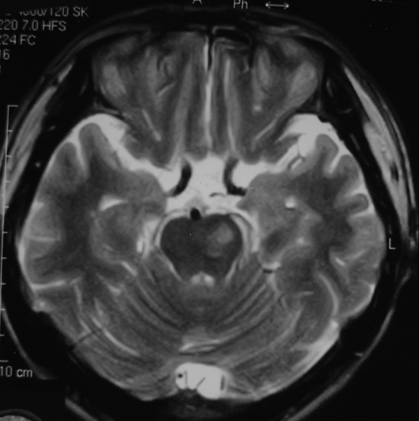
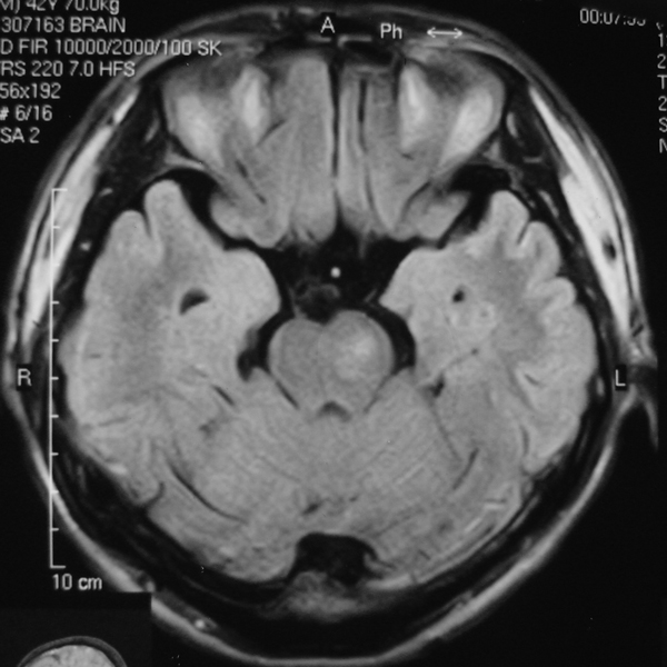
这患者脑干(脑桥)腔隙脑梗塞是肯定的 有20002年资料 明天上传全部资料(当时工作忙 来不及)
讨论 脑干腔梗和小脑脚交叉怎么鉴别
小脑脚交叉出现在脑桥还是中脑
在ct图片上怎样区别脑桥和中脑
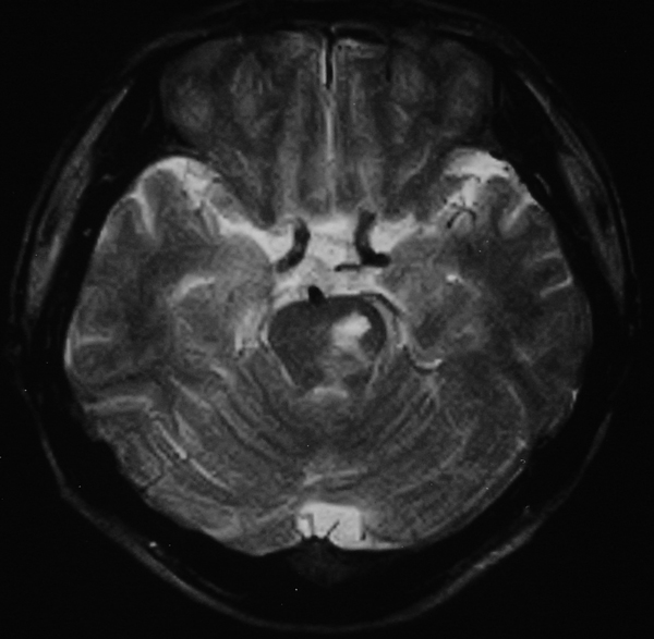
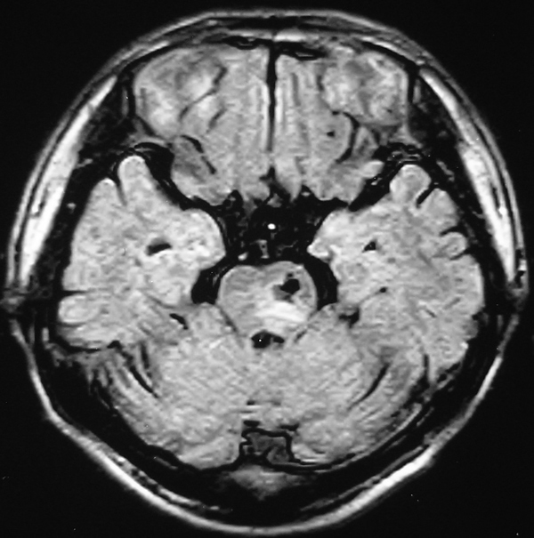
2002年



2003年




谢谢 各位回帖
关于“小脑脚交叉” 在曹丹庆 蔡祖龙 主编“全身ct诊断学”p117 简单提到
[本贴已被 lihuuuu 于 2007-11-6 9:25:25 修改过]
作者: 卜一 时间: 2007-11-5 21:56
图片质量不是很好!脑干偏左侧隐约可见低密度病灶,不知5年前怎样?单存本例支持:脑干梗塞!
作者: 沙漠骆驼 时间: 2007-11-5 22:00
1 单纯此图像定脑干梗塞依据不足. 2 可薄扫或核磁检查.
作者: 老爱克斯 时间: 2007-11-5 22:09
诊断依据不足,建议磁共振检查,
作者: 憨哥 时间: 2007-11-5 22:23
做磁共振吧!
作者: 天南地北 时间: 2007-11-5 23:07
标题: 回复:ct10343:求助 脑干梗塞?
以下是引用卜一在2007-11-5 13:56:00的发言:[br]图片质量不是很好!脑干偏左侧隐约可见低密度病灶,不知5年前怎样?单存本例支持:脑干梗塞!
作者: zyyzzy 时间: 2007-11-5 23:12
脑干中脑区的梗塞还是能诊断的,建议薄扫一下。或者mri检查
作者: lihuuuu 时间: 2007-11-6 01:23
求助 哪位发个小脑脚交叉图片 看书上的图片模糊不清
这患者脑干(脑桥)腔隙脑梗塞是肯定的 有20002年资料 明天上传全部资料(当时工作忙 来不及)
讨论 脑干腔梗和小脑脚交叉怎么鉴别
小脑脚交叉出现在脑桥还是中脑
在ct图片上怎样区别脑桥和中脑
作者: 余辉 时间: 2007-11-6 02:31
楼主是想具体分清是发生于脑桥还是中脑吧,脑桥的主要特征是结构就是小脑脚及四脑室,可以看到小脑脚及四脑室时就肯定是脑桥,中脑的主要特征就是环池,有完整的环池就是中脑,并且由于中脑短,一般只有一层可见,最多出现两层,本例层面应该是属于中脑层面,其上方应该是四叠体池及丘脑下部了.
另不知小脑脚交叉倒底指何
作者: qc80012345 时间: 2007-11-6 02:53
楼主是想具体分清是发生于脑桥还是中脑吧,脑桥的主要特征是结构就是小脑脚及四脑室,可以看到小脑脚及四脑室时就肯定是脑桥,中脑的主要特征就是环池,有完整的环池就是中脑,并且由于中脑短,一般只有一层可见,最多出现两层。
不知小脑脚交叉到底另何指?中脑的病灶,应该和中脑导水管加以区别。
作者: jiajie 时间: 2007-11-6 03:05
标题: 1
脑位于颅腔内,可分为脑干、小脑、间脑、端脑。
脑干属于脑的一部分。
(一) 脑干分部
脑干包括延髓、脑桥、中脑三部。
(二) 脑干位置
位于颅后窝,自枕骨大孔至蝶鞍之间。
(三)脑干外形
下端较细,与脊髓表面沟裂相续,中上部较宽大。
1.腹面观
(1)延髓:主要结构有锥体和锥体交叉。
(2)脑桥:借延髓脑桥沟与延髓分界。主要结构有基底沟等。
(3)中脑:主要结构有两个大脑脚和脚间窝等。
2. 背面观
(1)延髓:主要结构有薄束结节、楔束结节。
(2)脑桥:脑桥和延髓之间是菱形窝。菱形窝两侧有与小脑相连的小脑脚。
(3)中脑:有四叠体,即两个上丘和两个下丘。上丘与视觉反射有关,下丘与听觉反射有关。

[本贴已被 jiajie 于 2007-11-5 20:02:17 修改过]
作者: 拾荒者 时间: 2007-11-6 04:30
谢谢余辉战友及jiajie老师的解释,楼主想问的应该是锥体交叉吧?
作者: 宝天曼 时间: 2007-11-6 04:34
脑干中脑区的梗塞还是能诊断的,建议薄扫一下。或者mri检查
作者: 听蝉观竹 时间: 2007-11-6 04:59
标题: 回复:ct10343:求助 讨论 脑干梗塞?
李主任提出的是如何讨论
1、 脑干腔梗和小脑脚交叉怎么鉴别?
2、小脑脚交叉出现在脑桥还是中脑?
3、在ct图片上怎样区别脑桥和中脑?
三个问题。
1、脑干腔梗和小脑脚交叉怎么鉴别?
脑干梗塞在ct上是斑点状低密度,一般只能在桥脑或中脑才能显示,延髓是很难发现(伪影多)。mr上脑干梗塞应该是长t1长t2的斑点状表现。弥散能够发现早期梗塞灶,表现高信号。
而小脑脚有三部分:①小脑下脚(绳状体)由脊髓小脑束组成, ②小脑中脚(脑桥臂)由脑桥小脑束组成, ③小脚上脚(结合臂)由出小脑纤维组成。小脑脚是正常神经纤维束构成,所以ct上密度是正常的(因为ct尚不能分辨脑干的细小神经纤维束);mr上是与正常白质一样的信号,而不是长t1长t2信号。
2、小脑脚交叉出现在脑桥还是中脑?
小脑脚交叉在中脑平面有一交叉:小脑皮质的传入神经纤维形成小脑上脚这,在中脑平面至对侧红核、丘脑核;
小脑脚交叉在桥脑平面有一交叉:小脑中脚粗大,主要来自对侧的桥小脑纤维组成。
所以小脑脚交叉在脑桥和中脑都有交叉。
3、在ct图片上怎样区别脑桥和中脑?
有三个主要标志:
①四脑室,脑桥平面有四脑室,中脑没有;
②环池:中脑平面有完整的环池,即前有脚间池、后有四叠体池。这是标准的om线扫描图像,如果不按om线扫描就有所变化;而桥脑没有完整环池,它前方是桥前池。
③三脑室,只要扫描基线偏移不大,看到三脑室出来同层面应该是中脑
作者: yingjiayiyuan 时间: 2007-11-6 06:08
谢谢教导
作者: dyqct 时间: 2007-11-6 16:51
本例脑干是不是梗塞?需要量进一步证实;
1、可用薄层扫描,如还有证实是梗塞;
2、薄层+增强效果会更好;
3、mri。
作者: 默契 时间: 2007-11-6 17:37
mri的优势
作者: zyx168 时间: 2007-11-6 20:09
支持楼主意见,考虑脑干梗塞.
作者: 石门之剑 时间: 2007-11-6 22:31
脑干梗塞没有问题,定“萎缩”应该做核磁。
作者: 汪涛同志 时间: 2007-11-8 10:19
标题: 回复:ct10343:求助 讨论 脑干梗塞?
以下是引用听蝉观竹在2007-11-5 20:59:00的发言:[br]李主任提出的是如何讨论[br]1、 脑干腔梗和小脑脚交叉怎么鉴别?[br]2、小脑脚交叉出现在脑桥还是中脑? [br]3、在ct图片上怎样区别脑桥和中脑?[br]三个问题。[br][br]1、脑干腔梗和小脑脚交叉怎么鉴别?[br]脑干梗塞在ct上是斑点状低密度,一般只能在桥脑或中脑才能显示,延髓是很难发现(伪影多)。mr上脑干梗塞应该是长t1长t2的斑点状表现。弥散能够发现早期梗塞灶,表现高信号。[br]而小脑脚有三部分:①小脑下脚(绳状体)由脊髓小脑束组成, ②小脑中脚(脑桥臂)由脑桥小脑束组成, ③小脚上脚(结合臂)由出小脑纤维组成。小脑脚是正常神经纤维束构成,所以ct上密度是正常的(因为ct尚不能分辨脑干的细小神经纤维束);mr上是与正常白质一样的信号,而不是长t1长t2信号。[br][br]2、小脑脚交叉出现在脑桥还是中脑?[br]小脑脚交叉在中脑平面有一交叉:小脑皮质的传入神经纤维形成小脑上脚这,在中脑平面至对侧红核、丘脑核;[br]小脑脚交叉在桥脑平面有一交叉:小脑中脚粗大,主要来自对侧的桥小脑纤维组成。[br]所以小脑脚交叉在脑桥和中脑都有交叉。[br][br]3、在ct图片上怎样区别脑桥和中脑?[br]有三个主要标志:[br]①四脑室,脑桥平面有四脑室,中脑没有;[br]②环池:中脑平面有完整的环池,即前有脚间池、后有四叠体池。这是标准的om线扫描图像,如果不按om线扫描就有所变化;而桥脑没有完整环池,它前方是桥前池。[br]③三脑室,只要扫描基线偏移不大,看到三脑室出来同层面应该是中脑
谢谢雷主任精彩讲解,真是茅塞顿开!翻书都翻不着,呵呵。
作者: zyyzzy 时间: 2007-11-9 05:01
谢了
作者: jinguoji 时间: 2007-11-26 05:35
学习了,谢谢!!
作者: dr.yang 时间: 2011-4-5 23:14
标题: Re:CT10343:求助 讨论 脑干梗塞?
学习了
欢迎光临 医影在线 (http://bbs.radida.com/bbs/) |
Powered by Discuz! X3.2 |