医影在线

标题: CT10368:男57岁,椎间盘膨出 [打印本页]

作者: wmsyy    时间: 2007-11-8 04:40
标题: CT10368:男57岁,椎间盘膨出
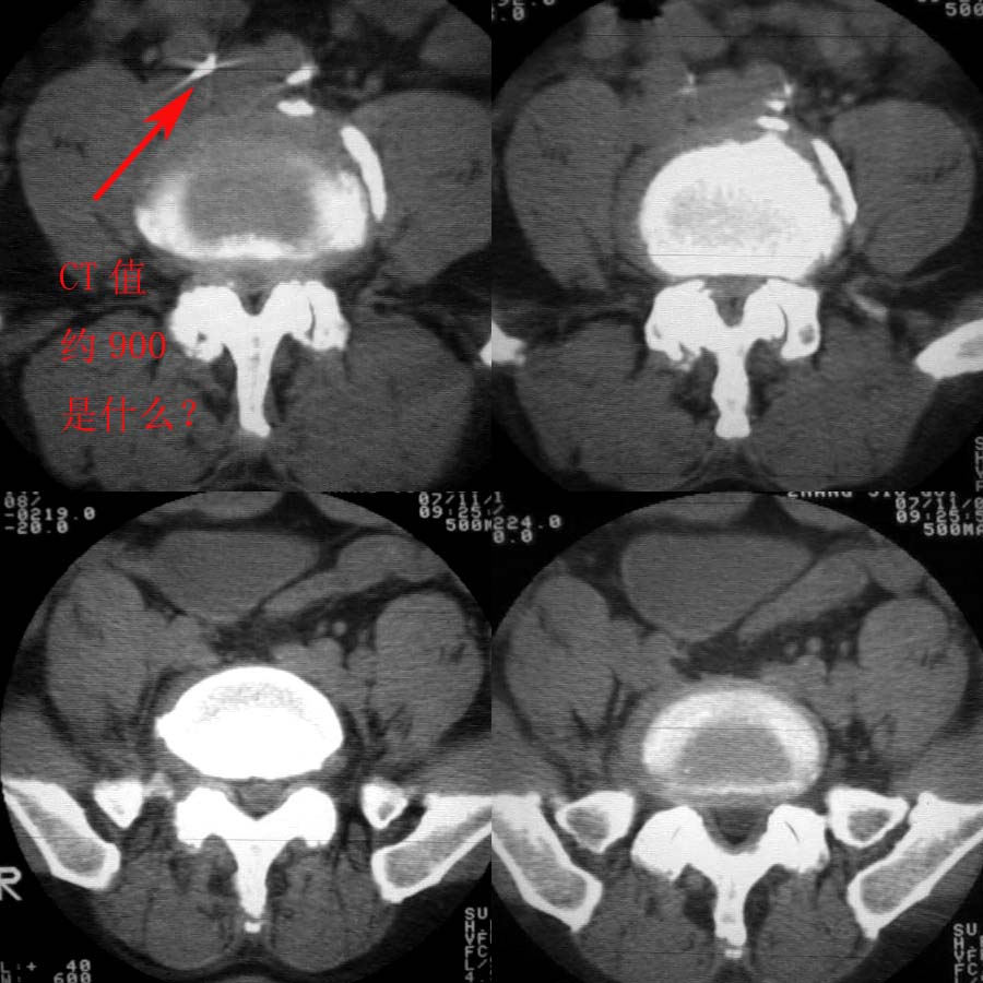
男57岁,腰痛,双腿麻木,请各位老师帮忙看看箭头所指是什么?ct值约900-1000hu是钙化影吗?








[本贴已被 jiajie 于 2007-11-7 20:57:08 修改过]

作者: liuqiang    时间: 2007-11-8 04:54
钙化,不是多处钙化吗?都是一样的啊。
作者: 余辉    时间: 2007-11-8 05:30
是钙化
作者: 摘星空竹子    时间: 2007-11-8 06:16
血管壁的钙化.
作者: zyyzzy    时间: 2007-11-8 06:17
血管壁的钙化.
作者: liaizhi    时间: 2007-11-8 07:05
血管壁钙化。
作者: wangzhengyuan    时间: 2007-11-8 07:46
血管壁钙化
作者: nanjing    时间: 2007-11-8 08:20
血管壁的钙化
作者: 卜一    时间: 2007-11-8 15:42
血管壁的钙化。支持!
作者: 王仕学    时间: 2007-11-8 16:10
血管壁的钙化。支持!
作者: 默契    时间: 2007-11-8 16:10
血管壁的钙化
作者: zjzjr    时间: 2007-11-8 17:08
双侧髂总动脉钙化.
作者: wansheng    时间: 2007-11-8 17:22
血管壁钙化。
作者: zsl6918    时间: 2007-11-8 17:44
如此高的ct值除了钙化还有什么?当然本病例不是金属异物了。
作者: doc张    时间: 2007-11-8 18:32
均为钙化,可形容为金属感.
作者: zhangkai    时间: 2007-11-8 21:22
是血管壁的钙化。
作者: dyqct    时间: 2007-11-8 22:54
是右侧髂总动脉壁粥样硬化斑钙化,左侧亦有。
退行性骨关节病。
作者: 刘明    时间: 2007-11-8 23:17
血管壁的钙化.
作者: muzi888    时间: 2007-11-8 23:32
血管壁的钙化。
作者: zxczxc    时间: 2007-11-8 23:59
是否是金属影?
作者: xulianj    时间: 2007-11-9 01:26
钙化,支持!
作者: wangdch2008    时间: 2007-11-9 01:40
血管壁的钙化。支持!
作者: 同    时间: 2007-11-9 03:45
支持血管壁钙化.
作者: 拾荒者    时间: 2007-11-9 04:12
血管壁的钙化。
作者: yingjiayiyuan    时间: 2007-11-9 04:40
支持血管壁钙化.
作者: zyx168    时间: 2007-11-12 00:07
血管壁的钙化
作者: jinguoji    时间: 2007-11-25 07:00
血管壁钙化。
作者: caoyuanlang    时间: 2007-11-25 07:03
血管壁的钙化,支持。




欢迎光临 医影在线 (http://bbs.radida.com/bbs/) Powered by Discuz! X3.2