医影在线
标题: CT10380:女性,78Y,扁桃体病变,请会诊.有病理. [打印本页]
作者: qiuleiyu 时间: 2007-11-9 17:50
标题: CT10380:女性,78Y,扁桃体病变,请会诊.有病理.
(结果公布:http://www.radida.com/bbs/forum.php?mod=viewthread&tid=31248)
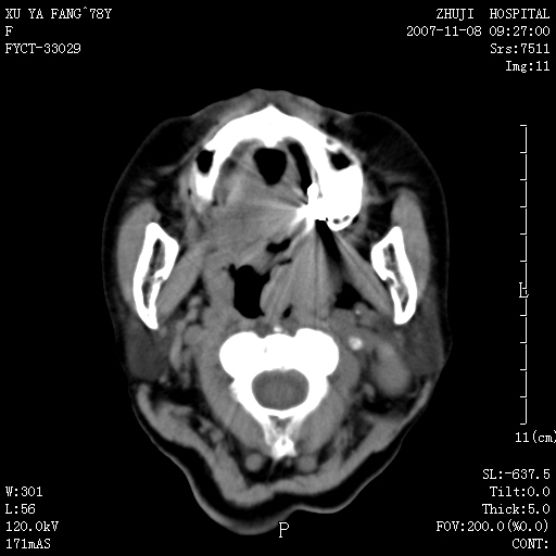
女性,78y,发现左侧扁桃体区肿大,表面糜烂.及颈部肿块一周.





















[本贴已被 jiajie 于 2007-11-10 21:28:21 修改过]
作者: hhcckk 时间: 2007-11-9 18:53
左侧扁桃体恶性肿瘤伴淋巴结的转移
主要的鉴别是扁桃体的炎性增生与脓肿,假如没有淋巴结的肿大鉴别还是有困难的,增强脓肿是环形强化,临床症状也可鉴别
作者: xulianj 时间: 2007-11-9 19:20
左侧扁桃体恶性肿瘤伴淋巴结的转移;考虑为扁桃体癌可能。此部位的恶性肿瘤以扁桃体癌和淋巴瘤多见,相对来说淋巴瘤范围较广泛些。有时两者区别较难,需要活检。
作者: 王仕学 时间: 2007-11-9 19:25
左侧扁桃体占位,考虑恶性淋巴瘤并颈部淋巴结转移.
作者: zyyzzy 时间: 2007-11-9 21:02
左侧扁桃体区软组织占位,强化后边界清晰,密度均匀,周围脂肪间隙清晰。周围淋巴结肿大。首先考虑扁桃体炎性增生,不排除扁桃体区的恶性肿瘤!!不知临床上有无发烧??/wbc是否增高??
作者: 天南地北 时间: 2007-11-9 21:11
标题: 回复:扁桃体病变,请会诊.有病理.
以下是引用xulianj在2007-11-9 11:20:00的发言:[br]左侧扁桃体恶性肿瘤伴淋巴结的转移;考虑为扁桃体癌可能。此部位的恶性肿瘤以扁桃体癌和淋巴瘤多见,相对来说淋巴瘤范围较广泛些。有时两者区别较难,需要活检。[br]
作者: 卜一 时间: 2007-11-9 22:18
左侧扁桃体恶性肿瘤伴淋巴结的转移。支持!
作者: 晓杰 时间: 2007-11-9 22:19
以下是引用xulianj在2007-11-9 11:20:00的发言:
左侧扁桃体恶性肿瘤伴淋巴结的转移;考虑为扁桃体癌可能。此部位的恶性肿瘤以扁桃体癌和淋巴瘤多见,相对来说淋巴瘤范围较广泛些。有时两者区别较难,需要活检。
作者: zjzjr 时间: 2007-11-9 23:09
支持左侧扁桃体癌伴颈部淋巴结转移可能性大.
作者: 默契 时间: 2007-11-9 23:10
左侧扁桃体恶性肿瘤伴淋巴结的转移
作者: jiangjing 时间: 2007-11-10 00:52
支持左侧扁桃体癌伴颈部淋巴结转移可能性大
作者: 光线 时间: 2007-11-10 03:47
支持左侧扁桃体恶性肿瘤伴淋巴结的转移
作者: 拾荒者 时间: 2007-11-10 03:58
左侧口咽侧壁巨大软组织肿块突入口腔,增强密度均匀,中度增强,左颈部多发肿大淋巴结,考虑左侧扁桃体恶性肿瘤(淋巴瘤还是癌不好鉴别)并淋巴结转移。 期待病理!
作者: 宝天曼 时间: 2007-11-10 04:02
左侧扁桃体占位,考虑恶性淋巴瘤并颈部淋巴结转移
作者: ydx_74 时间: 2007-11-10 04:06
支持左侧扁桃体恶性肿瘤伴淋巴结的转移
作者: 同 时间: 2007-11-10 04:32
考虑左侧扁桃体癌伴颈部淋巴结转移可能性大.
作者: dyqct 时间: 2007-11-10 04:52
标题: 回复:ct10380:女性,78y,扁桃体病变,请会诊.有病理.
以下是引用hhcckk在2007-11-9 10:53:00的发言:[br]左侧扁桃体恶性肿瘤伴淋巴结的转移[br]主要的鉴别是扁桃体的炎性增生与脓肿,假如没有淋巴结的肿大鉴别还是有困难的,增强脓肿是环形强化,临床症状也可鉴别
支持!!
作者: 求知若渴 时间: 2007-11-10 04:54
支持左侧扁桃体癌伴颈部淋巴结转移可能性
作者: 随缘的人 时间: 2007-11-10 05:56
左侧扁桃体恶性肿瘤伴淋巴结的转移。支持!
作者: 汪涛同志 时间: 2007-11-10 07:36
标题: 回复:ct10380:女性,78y,扁桃体病变,请会诊.有病理.
以下是引用晓杰在2007-11-9 14:19:00的发言:[br]以下是引用xulianj在2007-11-9 11:20:00的发言:[br]左侧扁桃体恶性肿瘤伴淋巴结的转移;考虑为扁桃体癌可能。此部位的恶性肿瘤以扁桃体癌和淋巴瘤多见,相对来说淋巴瘤范围较广泛些。有时两者区别较难,需要活检。[br]
支持!
作者: 粒肥 时间: 2007-11-11 07:18
左侧扁桃体恶性病变
作者: zyyzzy 时间: 2007-11-11 18:03
学习了!!
作者: zyx168 时间: 2007-11-11 22:55
淋巴瘤学习了
作者: jinguoji 时间: 2007-11-25 04:25
结果淋巴瘤-----学习了
作者: 西凡 时间: 2007-11-25 05:27
左侧扁桃体恶性肿瘤伴淋巴结的转移
主要的鉴别是扁桃体的炎性增生与脓肿,假如没有淋巴结的肿大鉴别还是有困难的,增强脓肿是环形强化,临床症状也可鉴别
| 欢迎光临 医影在线 (http://bbs.radida.com/bbs/) |
Powered by Discuz! X3.2 |