医影在线

标题: CT10387:男,31岁,胸腰段CT [打印本页]

作者: wpf    时间: 2007-11-10 20:58
标题: CT10387:男,31岁,胸腰段CT
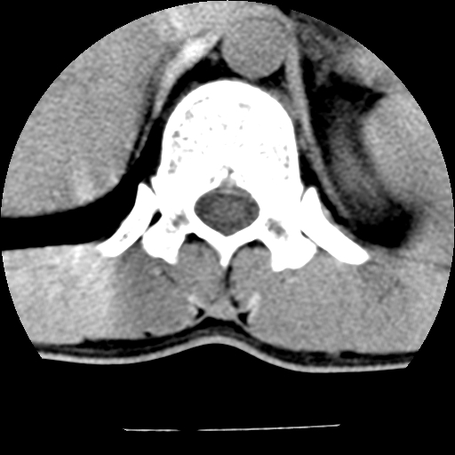
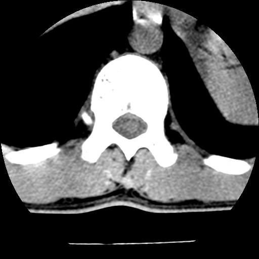
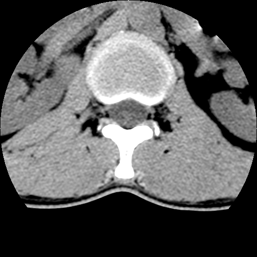
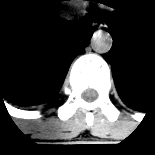
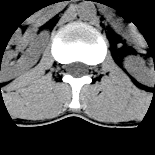
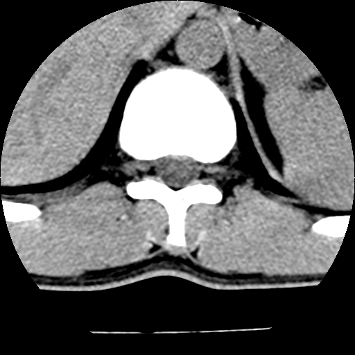
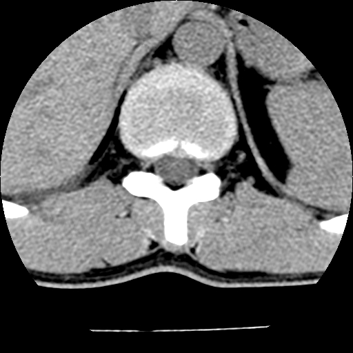
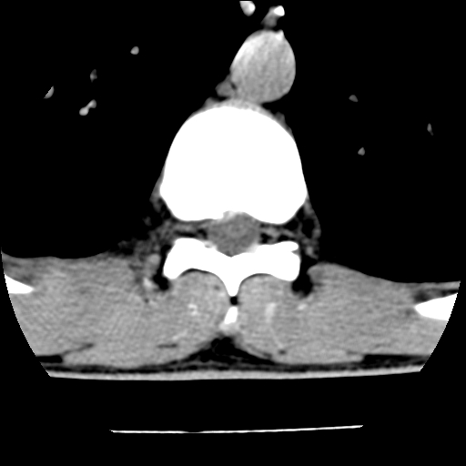
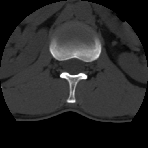
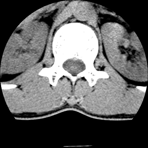
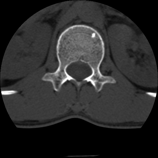
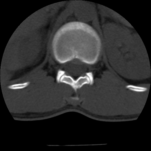
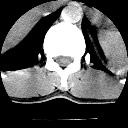
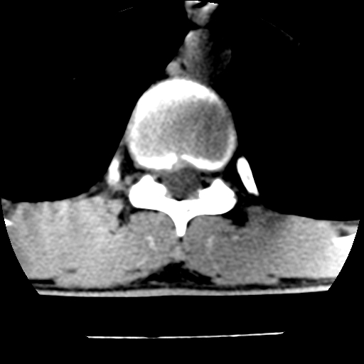
男,31岁,从6米高处坠落伤两天,腰背部疼痛,临床要求ct扫描胸10-腰1。请大家帮忙看看骨质有问题吗?


































[本贴已被 jiajie 于 2007-11-10 13:01:51 修改过]

作者: happyverycd    时间: 2007-11-10 22:11
未明显异常,建议隔期复查。
作者: 默契    时间: 2007-11-10 22:42
未见明显异常
作者: zsl6918    时间: 2007-11-10 23:52
怀疑但不敢确定,建议薄层后三维重建观察。
作者: qiushi    时间: 2007-11-11 00:08
标题: 回复:ct10387:男,31岁,胸腰段ct
未见明显异常,建议复查
作者: dyqct    时间: 2007-11-11 01:32
未见明显异常。
作者: zjzjr    时间: 2007-11-11 02:30
未见明显异常。
作者: gdxiaozhe    时间: 2007-11-11 03:04
未见明显异常。
作者: shiqingfa    时间: 2007-11-11 03:22
未见明显异常。
作者: 不惑同行    时间: 2007-11-11 03:46
正常.
作者: 同    时间: 2007-11-11 03:51
未见明显异常.
作者: 摘星空竹子    时间: 2007-11-11 04:04
未见异常
作者: 拾荒者    时间: 2007-11-11 04:05
t12、l1锥体前缘轻度楔形变,平扫示椎体前缘骨小梁欠规整,第9幅图示椎体前缘骨质不连续,结合外伤史考虑椎体轻度压缩骨折。
作者: 随缘的人    时间: 2007-11-11 04:28
未见明显异常。
作者: qiuleiyu    时间: 2007-11-11 04:36
楼主扫描层厚可能较大,每个椎体只有三个层面.
从所示层面分析,无明确骨折征象,象类似病人我个人会建议mri除外骨挫伤.
作者: ydx_74    时间: 2007-11-11 05:34
all right
作者: 450344989    时间: 2007-11-11 06:09
未见明显异常
作者: kbzyycm    时间: 2007-11-11 07:10
未见明显异常
作者: yingjiayiyuan    时间: 2007-11-11 07:31
未见明显异常。
作者: dzctdcq    时间: 2007-11-11 18:18
从上查骨窗第九片椎体前缘皮质显示断裂.压缩骨折?
作者: zyx168    时间: 2007-11-11 22:26
未见明显异常。
作者: 宝天曼    时间: 2007-11-12 05:05
幸运
未见明显异常。
作者: jinguoji    时间: 2007-11-25 04:53
未见明显异常。




欢迎光临 医影在线 (http://bbs.radida.com/bbs/) Powered by Discuz! X3.2