医影在线
标题: CT10389:女,38岁,腹部巨大包块 [打印本页]
作者: 水晶之恋 时间: 2007-11-10 23:11
标题: CT10389:女,38岁,腹部巨大包块
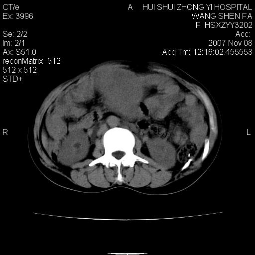
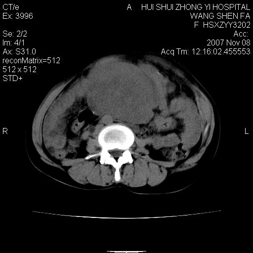
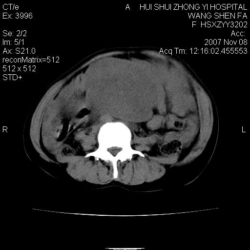
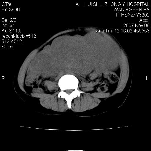
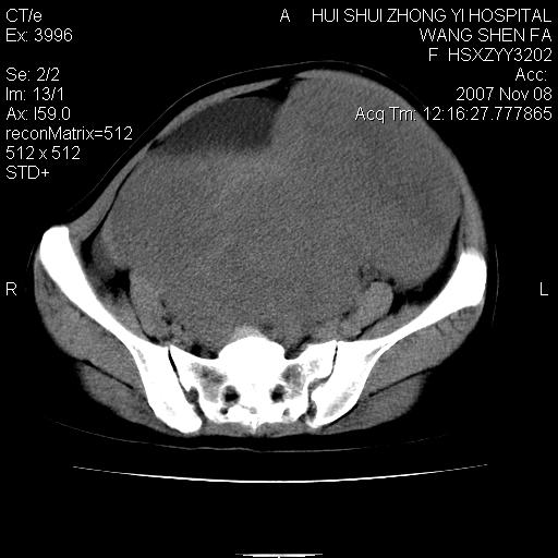
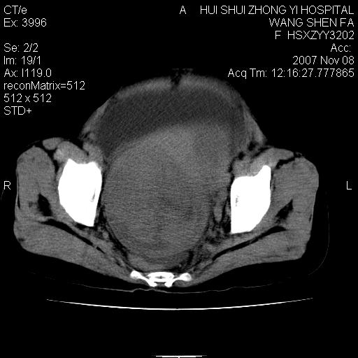
腹部巨大包块半年,质硬,边界不清。




























[本贴已被 jiajie 于 2007-11-10 17:48:07 修改过]
作者: zsl6918 时间: 2007-11-10 23:43
腹腔及盆腔内可见巨大软组织肿物影,内部密度欠均匀,边界尚清晰,周围组织受压移位明显,右侧输尿管受压明显,上端扩张肾盂轻度积水,病灶外形分叶明显,似多个肿物融合而成。考虑来源于间叶组织的恶性肿瘤可能性大
作者: liuyue 时间: 2007-11-10 23:48
下腹部巨大软组织影,密度不均匀,并可见分隔,病灶边缘较清,肠管受压移位。子宫未显示。盆腔、双侧腹股沟未见明显肿大淋巴结。考虑:1.卵巢病变可能性大,囊腺癌>卵巢癌>囊腺瘤.2.多发性阔韧带子宫肌瘤待除外.
期待结果.
作者: qiushi 时间: 2007-11-11 00:02
腹腔及盆腔巨大软组织块,密度不均匀,并可见分隔,病灶边缘尚清,肠管受压移位,子宫未显示,盆腔、双侧腹股沟未见明显肿大淋巴结。考虑:子宫或卵巢病变可能性大,子宫肌瘤?卵巢癌?
作者: dyqct 时间: 2007-11-11 01:36
标题: 回复:患者,女,38岁
以下是引用liuyue在2007-11-10 15:48:00的发言:[br]下腹部巨大软组织影,密度不均匀,并可见分隔,病灶边缘较清,肠管受压移位。子宫未显示。盆腔、双侧腹股沟未见明显肿大淋巴结。考虑:1.卵巢病变可能性大,囊腺癌>卵巢癌>囊腺瘤.2.多发性阔韧带子宫肌瘤待除外.[br]期待结果.
建议增强扫描进一步检查。
作者: nanjing 时间: 2007-11-11 01:43
腹腔及盆腔内可见巨大软组织肿物影,内部密度欠均匀,边界尚清晰,周围组织受压移位明显,膀胱前上移位,右侧输尿管受压明显,上端扩张肾盂轻度积水。考虑:1卵巢病变可能性大,囊腺癌>卵巢癌>囊腺瘤.2 子宫病变,子宫肌瘤?
作者: zjzjr 时间: 2007-11-11 02:33
多发子宫肌瘤可能性大,建议增强扫描.右侧肾盂\\输尿管积水.
作者: weijing 时间: 2007-11-11 02:36
以下是引用liuyue在2007-11-10 15:48:00的发言:
下腹部巨大软组织影,密度不均匀,并可见分隔,病灶边缘较清,肠管受压移位。子宫未显示。盆腔、双侧腹股沟未见明显肿大淋巴结。考虑:1.卵巢病变可能性大,囊腺癌>卵巢癌>囊腺瘤.2.多发性阔韧带子宫肌瘤待除外.
期待结果.
建议增强扫描进一步检查。
作者: shiqingfa 时间: 2007-11-11 03:14
考虑:子宫或卵巢病变可能性大,子宫肌瘤?卵巢癌?
作者: gdxiaozhe 时间: 2007-11-11 03:22
多发子宫肌瘤可能性大,建议增强扫描.右侧肾盂\\输尿管积水.
作者: 余辉 时间: 2007-11-11 03:37
多考虑多发子宫肌瘤
作者: gaoshengjiang 时间: 2007-11-11 03:40
下腹部巨大软组织影,密度不均匀,并可见分隔,病灶边缘较清,肠管受压移位。子宫未显示。盆腔、双侧腹股沟未见明显肿大淋巴结。考虑:1.卵巢病变可能性大,囊腺瘤>囊腺癌>卵巢癌.2.多发性阔韧带子宫肌瘤待除外.
作者: 同 时间: 2007-11-11 03:55
标题: 回复:ct10389:女,38岁,腹部巨大包块
以下是引用liuyue在2007-11-10 15:48:00的发言:[br]下腹部巨大软组织影,密度不均匀,并可见分隔,病灶边缘较清,肠管受压移位。子宫未显示。盆腔、双侧腹股沟未见明显肿大淋巴结。考虑:1.卵巢病变可能性大,囊腺癌>卵巢癌>囊腺瘤.2.多发性阔韧带子宫肌瘤待除外.[br]期待结果.
作者: 随缘的人 时间: 2007-11-11 04:11
考虑:子宫或卵巢病变可能性大,子宫肌瘤?卵巢癌
作者: 拾荒者 时间: 2007-11-11 04:32
盆腔及下腹部多发肿块,密度不均,与子宫关系密切,周围肠管受压改变,盆腔内未见肿大淋巴结,考虑多发性巨大子宫肌瘤可能。直接手术吧!
作者: qiuleiyu 时间: 2007-11-11 04:41
下腹部巨大软组织影,密度不均匀,并可见分隔,病灶边缘较清,肠管受压移位。病灶下部与子宫及附件关系密切。盆腔、双侧腹股沟未见明显肿大淋巴结。考虑:1.卵巢实质性肿瘤可能性大,卵巢癌>颗粒细胞>卵泡膜细胞瘤>纤维瘤.2.多发子宫肌瘤待除外.
期待结果.
作者: liuqiang 时间: 2007-11-11 05:24
下腹部巨大软组织影,密度不均匀,并可见分隔,病灶边缘较清,肠管受压移位。病灶下部与子宫及附件关系密切。盆腔、双侧腹股沟未见明显肿大淋巴结。考虑:1.卵巢实质性肿瘤可能性大,卵巢癌>颗粒细胞>卵泡膜细胞瘤>纤维瘤.2.多发子宫肌瘤待除外.3)间叶组织来源(脂肪肉瘤、平滑肌肉瘤)。
期待结果.
作者: ydx_74 时间: 2007-11-11 05:27
卵巢癌并子宫侵犯、腹腔转移可能大
作者: wangdch2008 时间: 2007-11-11 05:29
考虑多发子宫肌瘤可能性大
作者: 450344989 时间: 2007-11-11 06:17
腹腔及盆腔软组织占位
作者: guduchunmeng 时间: 2007-11-11 06:18
强化一下吧!口服阳性造影剂充盈肠腔后检查更好。否则大家在这里猜的没意义。
作者: wxy7406 时间: 2007-11-11 06:20
膀胱向前明显的推压移位,子宫增大明显,肠管推压移位,未见明显的侵润;患者女性,育龄期,考虑多发子宫肌瘤可能性大
作者: yingjiayiyuan 时间: 2007-11-11 07:19
期待结果
作者: 汪涛同志 时间: 2007-11-11 16:26
标题: 回复:ct10389:女,38岁,腹部巨大包块
以下是引用liuyue在2007-11-10 15:48:00的发言:[br]下腹部巨大软组织影,密度不均匀,并可见分隔,病灶边缘较清,肠管受压移位。子宫未显示。盆腔、双侧腹股沟未见明显肿大淋巴结。考虑:1.卵巢病变可能性大,囊腺癌>卵巢癌>囊腺瘤.2.多发性阔韧带子宫肌瘤待除外.[br]期待结果.
支持!
作者: zyyzzy 时间: 2007-11-11 18:18
看病变像是起源于双侧的附件,还是考虑卵巢囊腺瘤,不排除囊腺癌
作者: zyx168 时间: 2007-11-11 22:20
标题: 回复:ct10389:女,38岁,腹部巨大包块
以下是引用liuyue在2007-11-10 15:48:00的发言:[br]下腹部巨大软组织影,密度不均匀,并可见分隔,病灶边缘较清,肠管受压移位。子宫未显示。盆腔、双侧腹股沟未见明显肿大淋巴结。考虑:1.卵巢病变可能性大,囊腺癌>卵巢癌>囊腺瘤.2.多发性阔韧带子宫肌瘤待除外.[br]期待结果.
作者: 王仕学 时间: 2007-11-11 22:49
标题: 回复:ct10389:女,38岁,腹部巨大包块
以下是引用liuyue在2007-11-10 15:48:00的发言:[br]下腹部巨大软组织影,密度不均匀,并可见分隔,病灶边缘较清,肠管受压移位。子宫未显示。盆腔、双侧腹股沟未见明显肿大淋巴结。考虑:1.卵巢病变可能性大,囊腺癌>卵巢癌>囊腺瘤.2.多发性阔韧带子宫肌瘤待除外.[br]期待结果.
作者: 宝天曼 时间: 2007-11-12 05:07
腹腔及盆腔内可见巨大软组织肿物影,内部密度欠均匀,边界尚清晰,周围组织受压移位明显,膀胱前上移位,右侧输尿管受压明显,上端扩张肾盂轻度积水。考虑:1卵巢病变可能性大,囊腺癌>卵巢癌>囊腺瘤.2 子宫病变,子宫肌瘤?
作者: jinguoji 时间: 2007-11-25 05:07
标题: 回复:ct10389:女,38岁,腹部巨大包块
以下是引用liuyue在2007-11-10 15:48:00的发言:[br]下腹部巨大软组织影,密度不均匀,并可见分隔,病灶边缘较清,肠管受压移位。子宫未显示。盆腔、双侧腹股沟未见明显肿大淋巴结。考虑:1.卵巢病变可能性大,囊腺癌>卵巢癌>囊腺瘤.2.多发性阔韧带子宫肌瘤待除外.[br]期待结果.
zhichi!
| 欢迎光临 医影在线 (http://bbs.radida.com/bbs/) |
Powered by Discuz! X3.2 |