医影在线
标题: CT10393:女 50岁.请老师会诊 [打印本页]
作者: 海洋人 时间: 2007-11-11 06:18
标题: CT10393:女 50岁.请老师会诊
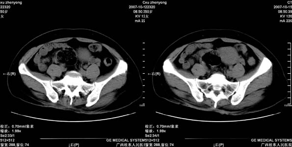
患者,女 50岁.会阴部坠胀感一月余,有痔疮病史,近期有便血;患者今年5月分结肠镜检查未见异常(由于患者不愿意ct增强扫描)没做增强,现准备手术,请各位老师会诊.







[本贴已被 jiajie 于 2007-11-10 22:25:15 修改过]
作者: xclzq_910 时间: 2007-11-11 06:29
直肠壁明显增厚,呈块状表现,肠腔狭窄闭塞,考虑ca
作者: 王光光 时间: 2007-11-11 07:05
支持直肠ca.
作者: 海洋人 时间: 2007-11-11 07:34
各位老师这个病例会很快有病理,希望能帮我一把,谢了
作者: 还珠格格 时间: 2007-11-11 15:49
标题: 回复:ct10393:女 50岁.请老师会诊

作者: 王仕学 时间: 2007-11-11 16:16
标题: 回复:ct10393:女 50岁.请老师会诊

作者: jiangjing 时间: 2007-11-11 16:17
直肠壁增厚明显,周围脂肪间隙模糊,见有小淋巴结显示,前方与阴道后壁分解不清。考虑直肠癌可能性大
作者: 汪涛同志 时间: 2007-11-11 16:22
那只能清洁灌肠后重新检查了,看看是不是粪便。
作者: zjzjr 时间: 2007-11-11 17:20
偏侧直肠壁增厚,支持直肠癌,不除外内痔.
作者: 琥珀人 时间: 2007-11-11 17:51
片子应该是灌肠后的
作者: zyyzzy 时间: 2007-11-11 18:08
不做强化,但平扫保留灌肠一定要做好。现在看直肠壁增厚明显,周围脂肪间隙模糊,前方与阴道后壁分界不清。考虑直肠癌可能性大
作者: fengdongdong 时间: 2007-11-11 19:40
直肠镜检查就可以定了
作者: dyqct 时间: 2007-11-11 19:45
标题: 回复:ct10393:女 50岁.请老师会诊
以下是引用王仕学在2007-11-11 8:16:00的发言:[br]
[br]
为什么不清洁灌肠?
作者: zyx168 时间: 2007-11-11 22:04
考虑直肠癌可能性大
作者: nanjing 时间: 2007-11-12 00:01
直肠癌可能性大
作者: shiqingfa 时间: 2007-11-12 00:25
支持直肠ca.
作者: 卜一 时间: 2007-11-12 00:50
支持:直肠癌!
作者: zsl6918 时间: 2007-11-12 01:35
直肠下端及肛门周围可见软组织改变,如果5月份检查的结肠镜结果可靠,那么本病例痔的可能性还是很大的。肿瘤生长的不会如此之快。
作者: jw-830 时间: 2007-11-12 01:47
考虑直肠癌
作者: 拾荒者 时间: 2007-11-12 02:57
偏侧直肠壁增厚,支持直肠癌,不除外内痔.
作者: 同 时间: 2007-11-12 03:01
直肠左侧壁明显增厚,考虑直肠癌可能性大.
作者: 宝天曼 时间: 2007-11-12 04:51
标题: 回复:ct10393:女 50岁.请老师会诊
以下是引用fengdongdong在2007-11-11 11:40:00的发言:[br]直肠镜检查就可以定了
作者: 海洋人 时间: 2007-11-12 06:52
感谢各位老师的点评,我当时也正如各位老师那样考虑,怎样说呢?希望她是直肠ca对病人不是好事,而不是吗又是对我们诊断水平的一个挑战,有病理了一定及时奉上,谢了
作者: muzi888 时间: 2007-11-12 17:39
直肠壁增厚明显,周围脂肪间隙模糊,前方与阴道后壁分解不清。考虑直肠癌可能性大!
作者: xulianj 时间: 2007-11-13 05:24
考虑直肠癌可能性大
作者: 海洋人 时间: 2007-11-17 04:35
这个患者做了手术,术中直肠及会阴部均求见肿瘤,探查要中未作特殊处理.患者准备复查,我会急时上传图象
作者: 海洋人 时间: 2007-11-17 04:55
请问各位老师,发布结果在哪发表呀
作者: sunjianting 时间: 2007-11-17 05:00
支持直肠ca
作者: 红樱枪 时间: 2007-11-17 19:06
考虑直肠癌
作者: ydx_74 时间: 2007-11-17 23:18
考虑直肠癌
作者: jinguoji 时间: 2007-11-25 05:29
考虑直肠癌。
| 欢迎光临 医影在线 (http://bbs.radida.com/bbs/) |
Powered by Discuz! X3.2 |